正畸复杂病例入选比赛是正畸医生专业能力与学术价值的集中体现,不仅要求医生具备扎实的理论基础和娴熟的技术操作,更考验其在疑难问题分析、个性化方案设计及多学科协作中的综合素养,这类病例通常涉及错颌畸形的复杂性、患者因素的多样性及治疗过程的挑战性,通过比赛平台,既能展示医生解决临床难题的能力,也能推动正畸领域的技术创新与经验交流。
正畸复杂病例的核心在于“复杂”,其界定可从多个维度展开,从错颌类型来看,可能包括严重骨性畸形(如III类错颌伴上颌发育不足、双颌前突伴开颌)、牙列缺损伴严重拥挤(如多个牙缺失+间隙不足+牙齿扭转)、以及涉及颞下颌关节紊乱的功能性错颌,从患者因素分析,可能存在全身性疾病(如糖尿病、骨质疏松影响骨改建)、生长发育期患者(需结合生长潜力制定方案)、或特殊需求群体(如职业要求高美观度、心理敏感患者),治疗难点则常体现在多学科协作需求(如正畸-正颌联合治疗、正畸-牙周联合干预)、技术实施难度(如微型种植体支抗的应用、舌侧矫正的精细控制)及长期稳定性风险(如复发控制、保持方案设计)。

入选比赛对正畸医生而言,既是挑战也是机遇,从专业层面,梳理复杂病例的治疗过程能系统强化医生的逻辑思维与问题解决能力,例如面对“骨性III类伴下颌偏斜”病例,需通过头影测量精准分析骨骼与牙齿代偿关系,结合患者生长发育阶段选择生长改良、掩饰治疗或正颌手术,这一过程能显著提升医生的诊断深度与方案设计能力,从学术层面,比赛为医生提供了展示创新技术的平台,如数字化正畸(3D打印导板、隐形矫正方案设计)、动态导航技术等,通过案例分享可推动行业技术迭代,优秀案例的认可能提升医生及团队的影响力,促进学术交流与合作,最终惠及更多复杂病例患者。
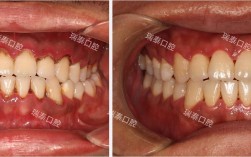
要成功将复杂病例入选比赛,需从病例筛选、资料整理到展示设计全流程优化,病例筛选是首要环节,需兼顾“代表性”与“亮点”:代表性指病例能反映临床常见复杂问题(如成人骨性错颌的非手术矫正),亮点则体现在治疗难点突破(如应用微种植体支抗解决严重深覆颌)或创新技术(如AI辅助方案设计),资料整理需全面且规范,包括临床检查(口内照、模型、牙周状况)、影像学资料(全景片、头颅侧位片、CBCT)、治疗过程记录(关键阶段的变化追踪)及长期随访数据(至少1年以上稳定性观察),确保病例的可重复性与科学性,展示设计则需突出“逻辑性”与“感染力”:采用“问题-分析-方案-结果-反思”框架,用对比图直观呈现治疗前中后变化,通过数据可视化(如牙齿移动距离、咬合改善指数)量化疗效,结合患者治疗中的真实故事(如从自卑到自信的心理转变)增强案例感染力。
复杂病例比赛的核心评审标准可归纳为四大维度:诊断准确性(是否全面分析病因,如区分骨性与牙性错颌)、治疗计划合理性(是否个性化设计,兼顾功能与美观)、技术创新性(是否解决传统治疗难点,如数字化技术的应用)及疗效稳定性(长期随访数据是否支持疗效维持),一例“青少年重度牙周病伴牙列拥挤”病例,若通过牙周基础治疗+正畸干预(压低伸长牙、关闭间隙)实现牙周健康与咬合功能重建,且3年后随访无复发,即能体现诊断、治疗与稳定的综合优势。
在准备过程中,需避免常见误区:一是“为复杂而复杂”,过度追求病例的罕见性而忽视临床实用性,比赛更看重病例解决实际问题的价值;二是“重技术轻理念”,仅展示操作步骤而忽略治疗逻辑的阐述,评审更关注医生对复杂问题的思考过程;三是“忽视患者参与”,需体现患者诉求与治疗目标的结合,如美观改善对生活质量的影响。

正畸复杂病例入选比赛的过程,是医生专业成长的“磨刀石”,也是推动行业进步的“催化剂”,通过系统梳理病例、精准提炼亮点、科学展示成果,不仅能提升医生的综合素养,更能为复杂病例的治疗提供可借鉴的范本,最终促进正畸学科的发展与患者福祉的提升。
FAQs
Q1:正畸复杂病例比赛最看重的评审标准是什么?
A:评审通常从四个维度综合考量:一是诊断的全面性,是否通过临床检查、影像学分析等手段准确识别病因(如骨性、牙性、功能性因素);二是治疗计划的合理性,是否结合患者年龄、需求及全身状况制定个性化方案,兼顾功能、美观与长期稳定;三是技术创新性,是否在传统技术基础上有所突破(如数字化工具的应用、多学科协作模式);四是疗效的可验证性,是否有清晰的对比数据(如头影测量变化、牙周指数改善)及长期随访结果支持疗效稳定性,案例展示的逻辑性与感染力(如难点分析、解决思路的清晰度)也会影响评分。
Q2:如何平衡病例复杂性与治疗可行性,避免为了参赛而过度设计?
A:核心原则是以“患者需求”为中心,避免为追求“复杂”而增加不必要风险,明确治疗的主要目标(如解决咬合功能障碍、改善美观),优先处理核心问题,而非叠加过多非必要操作,治疗方案需有循证依据,参考临床指南与既往研究,确保技术可行性(如微种植体支抗需评估患者骨量),多学科评估(如正颌、牙周、修复医生协作),避免单一学科视角的局限性,治疗中动态调整方案,根据患者反应优化细节(如牙齿移动速度、支抗选择),而非固守初始“复杂设计”,确保治疗安全与效果统一。

