种植牙的“钉子帽”通常指的是牙冠或基台(具体取决于脱落的是哪部分),这种情况虽然常见,但需要及时处理,以下是详细说明和建议:
首先确认脱落的部分
-
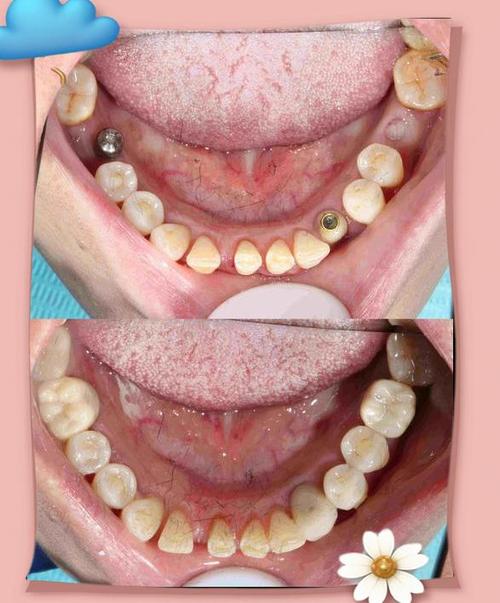
牙冠脱落
(图片来源网络,侵删)- 表现:牙齿表面可见的白色/瓷质部分掉落,露出下方的金属或氧化锆基台(“钉子”部分)。
- 原因:粘接剂老化、咬合力过大、牙冠制作问题或继发龋坏。
-
基台脱落
- 表现:连接种植体和牙冠的金属/氧化锆柱体松动或掉出,种植体(埋在牙槽骨内的“钉子”)暴露。
- 原因:螺丝松动、种植体-基台连接不匹配、咬创伤等。
为什么必须立即处理?
- 感染风险:暴露的种植体或基台易滋生细菌,可能导致种植体周围炎(类似牙周病),严重时需拔除种植体。
- 功能丧失:无法正常咀嚼,影响邻牙健康。
- 进一步损坏:脱落部分可能被误吞或卡住,导致口腔损伤。
紧急处理步骤
-
保存脱落部分
- 将脱落的牙冠/基台用纸巾包好,放入干净容器,切勿自行尝试粘回。
- 若基台完全脱落,勿自行插入种植体,避免污染或损坏内部结构。
-
口腔临时保护
- 用无菌纱布或棉花覆盖暴露区域,避免刺激或误吞。
- 避免用患侧咀嚼,暂停食用过硬、黏性食物(如坚果、口香糖)。
-
尽快就医
(图片来源网络,侵删)- 24小时内联系种植牙医生,说明情况并预约复诊。
- 若夜间或周末脱落,可联系诊所急诊或口腔科值班医生。
医生会如何处理?
-
检查与诊断
- 拍X光片确认种植体位置、骨结合情况及脱落原因。
- 检查种植体周围是否有炎症、松动或损坏。
-
根据情况制定方案
- 牙冠脱落:
- 若基台完好:重新粘接牙冠(更换粘接剂)。
- 若基台损坏:更换基台+牙冠。
- 基台脱落:
- 拧紧螺丝或更换新基台,再制作新牙冠。
- 若种植体损坏:可能需手术取出种植体,重新种植。
- 感染或骨吸收:需先进行抗炎治疗,评估是否保留种植体。
- 牙冠脱落:
-
临时修复
在永久修复前,医生可能制作临时牙冠保护种植体。
(图片来源网络,侵删)
常见脱落原因及预防
| 原因 | 预防措施 |
|---|---|
| 粘接剂老化 | 定期复查(建议每6-12个月) |
| 咬合力过大 | 避免用种植牙啃硬物,及时调磨早接触点 |
| 继发龋坏 | 坚持使用牙线、冲牙器,每年洁牙 |
| 材料或制作缺陷 | 选择正规诊所及优质种植体系统 |
| 不良习惯(夜磨牙) | 配戴夜磨牙垫 |
费用参考(因地区和诊所差异较大)
- 单纯牙冠重粘:500-2000元(仅粘接费)。
- 更换基台+牙冠:3000-15000元(含材料费)。
- 种植体修复失败:需重新种植,费用约1-3万元(含手术费)。
重要提醒
- 切勿自行处理:用胶水或强力胶粘合可能损坏精密结构,且无法消毒,增加感染风险。
- 保留所有碎片:医生需通过脱落物分析原因。
- 术后护理:修复后遵医嘱使用漱口水,避免1周内用力漱口或吸烟。
