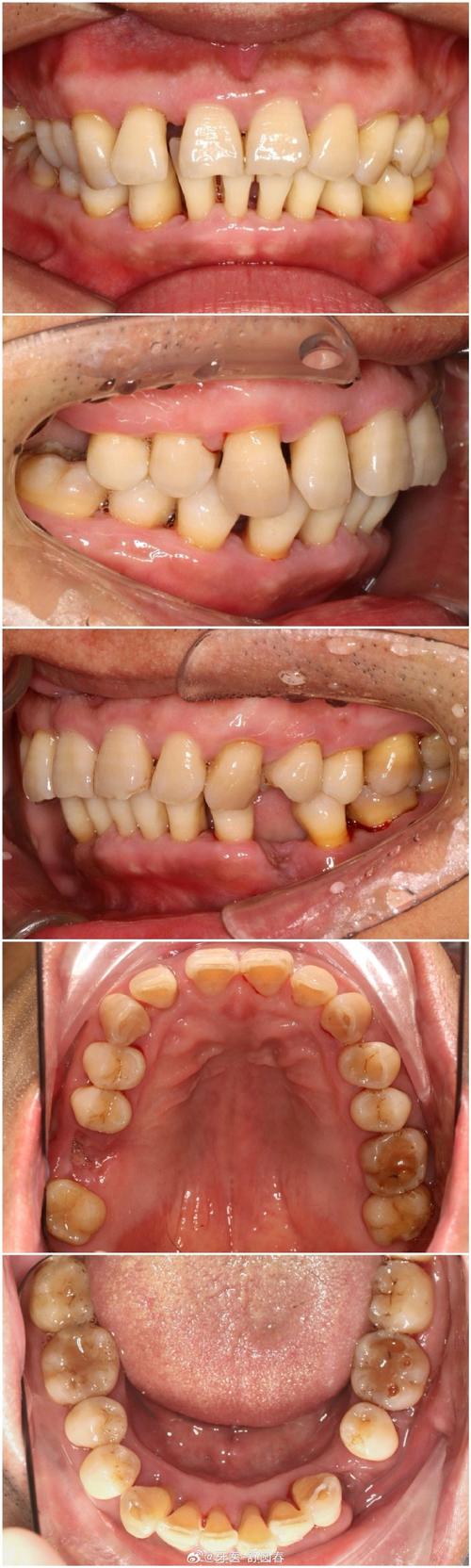
牙齿正畸期间发现牙周病,这是一个需要高度重视并立即采取行动的情况,正畸过程中牙齿移动本身就会对牙周组织施加压力,如果同时存在牙周病,会大大增加治疗风险,可能导致牙槽骨吸收加速、牙齿松动甚至脱落,最终影响矫正效果和牙齿健康。
以下是应对这种情况的关键步骤和建议:

🚨 1. 立即暂停或调整正畸治疗
- 首要原则: 牙周病的治疗必须优先于正畸牙齿移动。 在牙周炎症未得到控制、牙周状况不稳定的情况下,继续施加正畸力是极其危险的。
- 与正畸医生沟通: 立即联系你的正畸医生,告知牙周问题,正畸医生会评估当前牙齿移动的情况和牙周病的严重程度,决定是暂停所有正畸力(如更换为保持弓丝或暂时拆除部分托槽),还是暂停主弓丝的加力,但维持基本位置。
- 暂停的意义: 暂停正畸力是为了:
- 减轻牙周组织的额外负担。
- 为牙周治疗创造稳定的环境。
- 避免在炎症状态下移动牙齿导致不可逆的牙槽骨吸收。
🦷 2. 立即寻求专业牙周治疗
- 看牙周专科医生: 强烈建议尽快预约牙周病专科医生(Periodontist)进行评估和系统治疗。 牙周病专科医生对牙周病的诊断、治疗和预后判断更为专业和深入。
- 全面评估: 牙周医生会进行:
- 牙周检查: 测量牙龈沟深度(探诊深度)、评估牙龈出血、牙龈退缩、牙周袋深度、牙齿松动度等。
- 影像学检查: 拍摄根尖片、曲面断层片,必要时拍摄CBCT,评估牙槽骨吸收的程度和范围。
- 诊断分期分级: 明确牙周病的类型(牙龈炎/牙周炎)、严重程度、活动性等。
- 制定个性化治疗方案: 根据评估结果,牙周医生会制定系统的治疗方案,可能包括:
- 基础治疗(洁治和龈下刮治): 彻底清除牙齿表面和牙周袋内的牙菌斑和牙结石,这是控制牙周炎症最基础也是最重要的步骤,正畸期间可能需要更精细的操作。
- 根面平整: 清除牙根表面被感染的牙骨质,利于牙周组织重新附着。
- 药物治疗: 在必要时(如中重度牙周炎),可能会在牙周袋内局部使用抗生素药膏(如米诺环素凝胶),或口服抗生素(需医生评估)。
- 牙周手术: 对于中重度牙周炎,基础治疗后炎症仍未完全控制,或存在深牙周袋、骨缺损、牙龈形态不佳等问题时,可能需要牙周手术,如翻瓣术、骨移植术、引导性组织再生术、牙龈成形术等,正畸期间进行手术需要非常谨慎,需与正畸医生密切沟通。
- 维护治疗计划: 制定长期的牙周维护方案,包括定期的专业洁治(通常每3-6个月一次)和患者自身的口腔卫生指导。
🤝 3. 正畸医生与牙周医生的密切协作
- 信息共享: 正畸医生和牙周医生需要充分沟通患者的病情、治疗计划、进度和预后。
- 联合制定治疗计划: 双方需要共同制定一个清晰的治疗顺序和时间表:
- 优先治疗牙周病: 控制炎症,消除病因,稳定牙周状况。
- 牙周稳定期: 待牙周炎症消退、牙周袋深度减少、出血停止、牙槽骨状况稳定(通常需要数月甚至更长时间)后,再评估是否可以重启或继续正畸治疗。
- 重启正畸: 重启正畸时,可能需要调整治疗计划,移动牙齿的速度和力量可能需要更轻柔、更谨慎,并大大增加复诊频率,密切监控牙周状况。
- 定期共同评估: 在重启正畸后,正畸医生和牙周医生可能需要更频繁地共同或交替复查患者,确保牙周健康不受影响,矫正进展顺利。
🧼 4. 强化口腔卫生维护(患者责任)
- 这是治疗成功的关键! 正畸期间清洁本就困难,加上牙周病,对口腔卫生的要求达到最高级别。
- 掌握正确方法:
- 巴氏刷牙法: 每天至少刷牙两次,每次不少于两分钟,重点清洁托槽周围、牙龈边缘和牙齿邻面。
- 牙线/牙间刷: 必须每天使用! 使用牙线穿引器将牙线穿过弓丝下方,仔细清洁每个牙缝和托槽龈方区域,牙间刷(Interdental Brush)能有效清洁较大的牙缝和托槽周围。
- 冲牙器: 作为辅助清洁工具,能有效冲走牙缝和牙龈沟内的食物残渣和菌斑。
- 正畸专用牙刷: 如V形刷头或小头牙刷,方便清洁托槽周围。
- 漱口水: 在医生指导下,可使用含抗菌成分(如氯己定)的漱口水作为辅助,但不能替代刷牙和牙线,且不宜长期使用。
- 定期复查: 严格按照牙周医生和正畸医生的要求,定期进行专业洁治和复查。
📌 5. 其他重要考虑因素
- 全身因素: 糖尿病、吸烟、免疫系统疾病等是牙周病的重要危险因素,也会影响治疗效果,务必告知医生你的全身健康状况,并积极控制相关疾病(如控制血糖),强烈建议戒烟。
- 患者依从性: 治疗的成功高度依赖于患者能否严格执行口腔卫生和维护计划,患者需要充分认识到其重要性,并投入足够的时间和精力。
- 预后沟通: 牙周医生和正畸医生会根据牙周病的严重程度、治疗反应、全身状况等因素,与患者详细沟通预后,严重的牙周病可能会影响最终矫正目标的达成,甚至导致部分牙齿无法保留,坦诚沟通有助于管理期望。
📝 总结关键步骤
- 立即暂停/调整正畸力 - 告知正畸医生。
- 尽快看牙周专科医生 - 全面评估,明确诊断。
- 接受系统牙周治疗 - 基础治疗(洁刮治)是核心,可能需要药物或手术。
- 正畸与牙周医生紧密协作 - 制定联合治疗计划,明确顺序和时间表。
- 暂停正畸,专注牙周治疗 - 直至牙周炎症控制、状况稳定。
- 重启正畸时加倍谨慎 - 轻柔加力,增加复诊频率,密切监控。
- 极致强化口腔卫生 - 患者是第一责任人,严格执行清洁程序。
- 定期专业维护 - 按时进行牙周维护和正畸复诊。
- 管理全身风险因素 - 如控制血糖、戒烟。
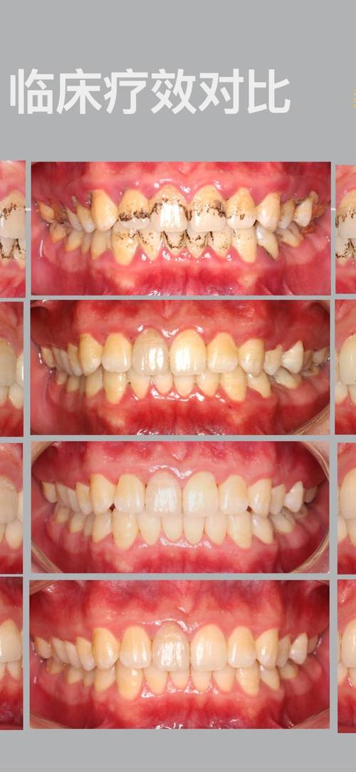
牙齿正畸期间发现牙周病,虽然增加了治疗的复杂性和风险,但只要遵循“先牙周、后正畸”的原则,进行规范、系统的治疗,并保持极佳的口腔卫生,大部分患者仍能获得满意的矫正效果并维护牙周健康。 切勿忽视或拖延,及时寻求专业帮助是成功的关键!💪🏻

