“半口种植牙最少种几个”这个问题没有一个绝对统一的答案,因为它高度依赖于患者的具体情况、选择的修复技术、颌骨条件以及医生的专业判断。
我们可以从技术原理和临床实践的角度,给出一个通常情况下的范围和最少的理论值:

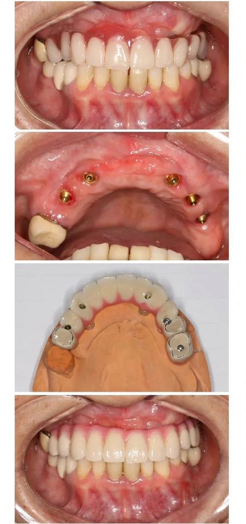
📌 核心概念:种植体数量 ≠ 牙齿数量
种植牙的核心是用少数几颗(通常4-6颗)坚固的种植体作为“桥墩”,来支撑起整排(半口)的牙冠或牙桥,这依赖于现代的种植技术和材料力学原理。
📌 最少种植体数量的技术方案:All-on-4® 或 All-on-6®
这是目前实现半口种植牙所需种植体数量最少的成熟技术方案:
-
All-on-4® 技术:
- 最少数量:4颗种植体。
- 原理: 在缺半牙的颌骨(上颌或下颌)中,植入4颗种植体,其中后两颗种植体(通常在磨牙区域)以一定角度(通常是倾斜45度)植入,以避开重要的解剖结构(如下牙槽神经管、上颌窦),同时利用斜向植入带来的更大的骨接触面积和悬臂梁效应,来分散咬合力,支撑起整排的牙桥。
- 适用条件:
- 颌骨骨量相对充足(尤其是后牙区域,即使有轻微骨吸收,倾斜植入也能利用现有骨量)。
- 患者咬合力不是特别巨大(没有严重的夜磨牙症)。
- 对美观和功能要求较高。
- 优点: 种植体数量最少,手术创伤相对较小(通常只需要一次手术),治疗周期可能缩短,费用相对较低(种植体和手术费用)。
- 缺点: 对医生技术要求极高,对骨量条件有一定要求,后牙区倾斜种植体的长期成功率需要关注,牙桥的悬臂部分(末端无种植体支撑的区域)需要精心设计以避免过大咬合力。
-
All-on-6® 技术:
(图片来源网络,侵删)- 数量:6颗种植体。
- 原理: 在All-on-4的基础上,在两侧后牙区各增加一颗垂直或近垂直的种植体,这样后牙区就有了两颗垂直或近垂直的种植体作为主要支撑点,两颗倾斜种植体作为辅助支撑和增加稳定性。
- 适用条件:
- 骨量条件比All-on-4更好,或者医生为了获得更佳的长期稳定性和更分散的咬合力而选择。
- 患者咬合力较大(如下颌、有夜磨牙习惯)。
- 对修复体的长期稳定性要求更高。
- 优点: 支撑更稳固,咬合力分散更均匀,长期成功率可能更高,对悬臂梁的限制更小。
- 缺点: 种植体数量增加,手术时间和复杂度略有增加,费用也相应提高。
📌 影响最少种植体数量的关键因素
-
颌骨条件(骨量、骨密度):
- 骨量充足: 是实现All-on-4或All-on-6的基础,如果骨量严重不足(尤其是后牙区),可能需要植骨(骨增量手术),或者增加种植体数量,甚至考虑其他方案(如传统多颗种植+牙冠)。
- 骨密度: 骨质越致密(D3/D4类骨),种植体初期稳定性越好,越适合All-on-4/6方案,骨质疏松(D1/D2类骨)可能需要更长的愈合期或更保守的设计。
-
颌骨位置(上颌 vs. 下颌):
- 下颌: 咀嚼力通常大于上颌,骨质通常更致密,理论上All-on-4在下颌的应用也很成功,但一些医生可能更倾向于All-on-6以提供更强的支撑,下颌神经管的位置也影响倾斜种植体的设计。
- 上颌: 存在上颌窦,骨量相对更容易吸收,All-on-4/6在上颌的应用非常普遍,但需要精确评估上颌窦底高度和骨量,必要时进行上颌窦提升术(会影响种植时机和方案)。
-
患者的咬合力习惯:
- 正常咬合力: All-on-4/6通常足够。
- 较大咬合力(如夜磨牙、紧咬牙): 会显著增加种植体和牙桥的负担,这种情况下,医生强烈建议选择All-on-6甚至更多种植体(如8颗),或者使用更坚固的材料(如氧化锆全瓷桥),以降低种植体周围炎、种植体松动、牙桥断裂等风险。为了省钱而强行用All-on-4处理重度磨牙患者,风险很高。
-
修复体的设计(材料、跨度):
- 材料: 全瓷桥(尤其是强度高的氧化锆)比传统烤瓷桥更坚固,能承受更大的咬合力,对种植体数量的要求可能略有降低。
- 跨度: 半口牙桥本身跨度很大,悬臂梁的设计是关键,悬臂越长,末端受力越大,对种植体数量和位置的要求越高,增加种植体数量可以有效缩短悬臂长度或增加支撑点。
-
医生的技术和经验:
经验丰富的医生能更精准地评估骨量、设计种植体位置(尤其是倾斜角度)、规划修复方案,从而在保证安全的前提下,尽可能优化种植体数量,技术不佳的医生可能为了“保险”而增加种植体数量。
📌 最少种几个?
- 理论上的最少数量:4颗(All-on-4® 技术)。 这是目前公认的、在理想条件下可行的最少数量。
- 临床实践中最常见的“最少”范围:4-6颗。
- 4颗: 适用于骨量较好、咬合力正常、选择All-on-4方案的患者。
- 6颗: 是目前非常主流和推荐的半口种植方案,尤其适用于下颌、咬合力较大、骨量尚可或希望获得更高长期稳定性的患者,它提供了比4颗更强的支撑和更分散的咬合力,长期成功率更有保障。
- 可能需要更多的情况:
- 骨量严重不足需要植骨时。
- 患者有严重的夜磨牙等不良习惯时。
- 医生基于风险评估或患者特殊需求(如超高美学要求)而选择更保守的设计时。
- 不采用All-on-4/6技术,而采用传统多颗独立种植+牙冠/桥的方式(这种方式通常需要8颗或更多,但每颗牙独立,修复灵活性高)。
📌 重要建议
- 个体化评估是关键: “最少几个”必须基于您个人的口腔检查(CBCT影像、模型、咬合分析等)和全身健康状况。没有任何医生能在不检查您的情况下给出确切答案。
- 选择经验丰富的医生/机构: 半口种植,尤其是All-on-4/6,对医生技术要求极高,选择有大量成功案例、设备先进(如CBCT、数字化导板)的正规口腔机构至关重要。
- 充分沟通: 和您的医生详细讨论您的期望、预算、生活习惯(特别是磨牙情况),以及不同方案(4颗 vs 6颗)的优缺点、风险和长期维护要求。
- 不要单纯追求“最少”: 种植牙是长期投资,长期的成功率和稳定性比短期节省的费用更重要,在保证安全和功能的前提下,医生会给出最适合您的建议。有时多花一点钱种6颗,比强行种4颗导致后期失败、需要重新种植要划算得多。
半口种植牙最少理论上可以种4颗(All-on-4),但临床上最常用且推荐的是6颗(All-on-6),最终数量需要专业医生根据您的具体检查结果来确定,请务必进行详细的术前评估和方案咨询。 💪🏻
