“一个最多能种几棵牙”这个问题没有一个固定的数字答案,因为它完全取决于个人的口腔具体情况,我可以从几个关键方面来解释影响种植牙数量的因素,以及可能的极限情况:
🦷 影响种植牙数量的关键因素
-
缺牙的位置和数量:
(图片来源网络,侵删)- 单颗牙缺失: 自然只需要种植1颗种植体。
- 多颗牙缺失(连续或不连续): 需要为每颗缺失的牙齿种植1颗种植体,或者考虑种植桥(用较少的种植体支撑多颗假牙)。
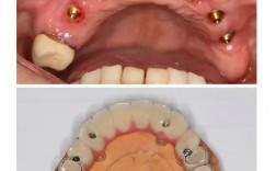
- 全口缺牙(无牙颌): 这是种植牙数量变化最大的情况,传统方式可能需要8-12颗甚至更多的种植体来支撑全口假牙,但现代技术(如All-on-4/All-on-6)可以用4颗或6颗种植体支撑整排上下颌的假牙,大大减少了种植数量。
-
颌骨的条件(骨量):
- 骨量充足: 这是种植牙的基础,如果缺牙区域的牙槽骨高度、宽度、密度都足够,就可以为每颗缺失的牙齿都种植一颗种植体。
- 骨量不足: 这是最常见的限制因素,如果牙槽骨因长期缺牙、牙周病、外伤等原因萎缩或吸收,可能不足以直接种植种植体,这时需要先进行植骨手术(如上颌窦提升、骨块移植等)来增加骨量,植骨后需要等待骨愈合(通常3-6个月)才能种植,骨量不足会直接限制能种植的数量和位置。
-
重要的解剖结构:
- 上颌有上颌窦(鼻窦),下颌有下颌神经管(内有下牙槽神经血管束),种植体必须避开这些结构,否则有损伤神经或穿透上颌窦的风险,医生在种植前必须通过CT影像精确测量这些结构的位置,这会限制种植体的放置位置和数量。
- 颌骨前部的牙槽骨通常比后部更宽厚,更适合种植。
-
种植体的类型和设计:
- 不同品牌、直径、长度的种植体适用于不同的临床情况,医生会根据骨量和缺牙情况选择合适的种植体。
- 现代种植体设计越来越先进,表面处理技术(如SLA, SLActive)可以提高骨结合速度和成功率,允许在骨量相对不足的情况下尝试种植,但仍需谨慎。
-
患者的全身健康状况:
(图片来源网络,侵删)严重的系统性疾病(如未控制的糖尿病、严重的心血管疾病、凝血功能障碍、活动性口腔颌面部感染、头颈部放疗史、严重骨质疏松等)可能增加种植手术风险或影响种植体长期成功率,医生可能会建议减少种植数量或暂缓种植。
-
经济因素:
种植牙费用较高,患者需要考虑经济承受能力,有时为了控制成本,可能会选择种植桥方案,用较少的种植体修复多颗缺牙。
📍 理论上的“最多”数量(极限情况)
- 单颌(上颌或下颌): 在骨量极其充足、没有重要解剖结构阻挡、患者健康状况良好、且不考虑经济成本的情况下,理论上可以在一个颌骨上种植尽可能多的种植体,在非常宽厚的颌骨上,可以尝试种植十几颗甚至二十几颗种植体,每颗都对应一个独立的牙位,但这在现实中极其罕见且不必要。
- 全口(上下颌): 理论上,如果上下颌骨都极其宽厚健康,没有解剖结构阻挡,患者身体状况和经济条件都允许,可以在上下颌分别种植尽可能多的种植体(例如每颌10-14颗甚至更多),总共20-28颗或更多,但这同样不切实际且无必要。
📌 更现实和常见的“最多”数量
- 单颌: 通常在6-10颗左右是比较常见的范围,尤其是在需要修复多颗缺牙或全口缺牙时,采用All-on-4/6技术时,单颌只需要4-6颗。
- 全口: 采用传统方式可能需要12-16颗或更多,采用All-on-4/6技术,全口(上下颌)只需要8-12颗(每颌4-6颗)。
⚠️ 重要提醒
- 质量优于数量: 种植牙的核心目标是功能恢复和长期稳定,盲目追求数量而忽视骨支持、位置、咬合关系等因素,反而会增加种植失败的风险(如种植体周围炎、松动、折断等)。在保证安全和效果的前提下,用最合理的数量达到最佳修复效果才是关键。
- 专业评估是必须的: 绝对不要自行判断能种多少颗牙! 必须由经验丰富的口腔种植医生进行详细的临床检查(口腔检查、咬合分析)和影像学检查(主要是CBCT三维影像),评估您的骨量、骨质量、解剖结构、咬合关系、全身健康状况等,才能给出个性化、科学、安全的种植方案和准确的种植数量建议。
- 种植体之间需要足够间距: 种植体之间必须保持一定的安全距离(通常至少3mm),以便有足够的骨组织和牙龈组织包裹,保证长期稳定,太近的种植体会增加并发症风险。
“一个最多能种几棵牙”没有标准答案,它取决于您的个体口腔条件(缺牙情况、骨量、解剖结构)、健康状况、医生的技术和方案选择以及经济预算。最准确、最安全的方法是找专业的口腔种植医生进行全面评估和咨询。 医生会根据您的具体情况,设计出最适合您、既能恢复功能又能保证长期成功的种植方案,并告知您具体的种植数量,不要被“最多”这个概念迷惑,安全和有效才是种植牙的最终目标。💪🏻

