全口种植牙(即上下颌牙列缺失的种植修复)需要植入的种植体数量没有一个固定的答案,它取决于多种因素,但最常见的方案是植入4颗或6颗种植体(即所谓的“All-on-4”或“All-on-6”技术)。
以下是决定种植体数量的关键因素和常见方案:

📍 核心决定因素
-
剩余骨量与质量:
- 骨量充足: 如果牙槽骨的高度、宽度和密度都很好,理论上可以植入更多种植体(如8颗或更多),提供更分散的支撑。
- 骨量不足(常见): 牙齿缺失后牙槽骨会吸收萎缩,导致骨量不足,这时就需要采用更节省种植体数量的技术(如All-on-4/6),或者先进行骨增量手术(如植骨、上颌窦提升等)来增加骨量,然后再植入更多种植体。
-
选择的修复方案:
- 固定式种植牙桥(首选): 这是最接近天然牙的方案,种植体直接支撑一个固定的、不可摘戴的牙桥。
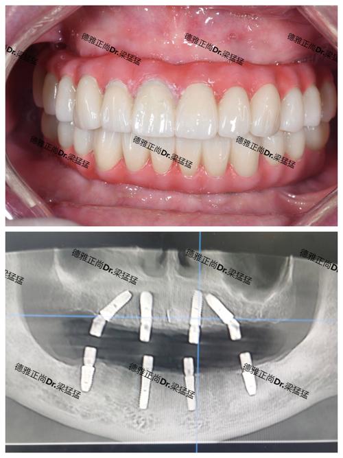
- All-on-4® 立即负重技术: 这是目前最主流、最常用的全口种植方案。仅需植入4颗种植体(上颌或下颌各4颗),后两颗种植体通常以一定角度植入,以避开重要的解剖结构(如下牙槽神经管、上颌窦),同时利用倾斜角度增加骨接触面积和抗旋转能力,从而用最少的种植体支撑起整个牙桥,实现当天或短期内戴牙(立即负重)。
- All-on-6 技术: 在骨量相对较好或希望获得更分散的咬合力分布时使用。植入6颗种植体(上颌或下颌各6颗),提供比All-on-4更多的支撑点,理论上长期稳定性可能更好,但费用更高,手术时间也可能稍长。
- 传统多颗种植体: 在骨量极其理想的情况下,医生可能会选择植入8颗或更多种植体(例如每颌8颗),为牙桥提供更多支撑点,但这需要非常理想的骨条件,且费用高昂,并非主流。
- 种植体支持的覆盖义齿(活动式): 种植体主要用来固位和稳定活动假牙。
- Locator/球帽附着体: 通常需要植入2-4颗种植体(每颌)作为锚点,配合球帽或Locator附着体,大大提高活动假牙的稳定性和舒适度。
- 杆卡附着体: 通常需要植入4颗或更多种植体(每颌),在种植体上连接一个金属杆,活动假牙通过卡抱在杆上获得固位,提供比球帽更好的稳定性,但需要更多种植体。
- 固定式种植牙桥(首选): 这是最接近天然牙的方案,种植体直接支撑一个固定的、不可摘戴的牙桥。
-
患者的咬合力大小与习惯: 咬合力大、有夜磨牙习惯的患者,可能需要更多的种植体或更坚固的修复设计来分担力量。
-
预算: 种植体数量直接影响总费用,All-on-4是最经济实惠的全口固定修复方案,植入更多种植体或进行骨增量手术都会显著增加费用。
(图片来源网络,侵删) -
医生的技术与经验: 医生会根据其专长和对患者具体情况的综合判断,选择最合适的方案。
📍 常见种植体数量总结(针对固定式修复)
| 修复方案 | 每颌种植体数量 | 适用情况 | 特点 |
|---|---|---|---|
| All-on-4® | 4颗 | 骨量不足(尤其后牙区);追求性价比;希望尽快恢复功能 | 最主流方案;利用倾斜角度增加稳定性;可能当天戴牙;费用相对较低 |
| All-on-6 | 6颗 | 骨量尚可;希望获得更分散的咬合力;预算充足 | 比All-on-4多2颗种植体;提供更多支撑点;长期稳定性可能更好 |
| 传统多颗种植 | 8颗或更多 | 骨量极其理想;追求最大分散咬合力;预算非常充足 | 非主流方案;需要极佳骨条件;费用高昂 |
📍 重要提示
- 个体化方案: 没有“一刀切”的标准答案。 最适合你的种植体数量,必须由经验丰富的种植医生在详细检查(包括口腔检查、CBCT影像评估、全身健康状况评估等)后,根据你的具体骨条件、期望、预算和口腔习惯来制定。
- All-on-4/6是主流: 对于大多数全口牙列缺失的患者,尤其是存在骨吸收的情况,All-on-4或All-on-6 是目前最推荐、最成功的固定修复方案,在保证功能、美观和长期稳定性的同时,最大程度地减少了种植体的数量和手术创伤。
- 咨询专业医生: 如果你正在考虑全口种植牙,务必预约专业的口腔种植医生进行面诊和评估,他们会为你提供最专业、最适合你的个性化治疗方案和种植体数量建议。
对于全口固定种植牙,最常见的方案是每颌植入4颗(All-on-4)或6颗(All-on-6)种植体,最终数量取决于你的骨头情况、预算和医生的专业判断。 🦷

