设备要求
- 相机:
- 类型: 单反相机或无反相机是首选,提供更好的图像质量和手动控制功能。
- 镜头:
- 环形闪光灯专用微距镜头: 最常用,焦距通常为 60mm, 100mm, 105mm, 90mm 等,微距功能确保近距离对焦清晰。
- 双点闪光灯系统: 提供更自然、立体的照明效果,减少阴影,但操作相对复杂。
- 闪光灯:
- 环形闪光灯: 最常用,提供均匀、无阴影的照明,特别适合口内狭小空间,功率要足够。
- 双点闪光灯: 通过柔光罩或导光棒提供柔和照明,立体感好,但需要助手配合或特殊支架。
- 其他附件:
- 口拉钩: 拉开口角和颊部,暴露视野,常用有双头拉钩(如 #1, #2, #3, #4)、三翼拉钩等。
- 反光板: 用于舌侧或后牙区拍摄,将光线反射到暗区。
- 棉卷/棉球: 吸取唾液,保持视野干燥,防止反光。
- 咬合纸: 用于记录咬合接触点(有时在拍摄前或拍摄中使用)。
- 患者体位指示器: 帮助患者保持头部位置一致。
- 消毒用品: 所有接触患者口腔的器械(拉钩、反光板、棉卷等)必须严格消毒或使用一次性无菌器械。
患者准备
- 口腔清洁: 拍摄前请患者彻底刷牙、漱口,去除食物残渣和软垢,如有大量牙石,最好在洁治后拍摄。
- 去除干扰:
- 取下可摘局部义齿、保持器、矫治器(如隐形牙套)。
- 如有影响视野的修复体(如暂时冠、贴面边缘),需记录或告知医生。
- 移除唇环、舌钉等口内饰品。
- 沟通与放松: 向患者解释拍摄过程,减少紧张感,指导患者用鼻子呼吸,避免张口过大导致肌肉紧张或口水过多。
- 体位:
- 患者头部靠在头枕上,调整至舒适位置。
- 使用患者体位指示器(如Frankfort平面指示器)确保每次拍摄时头部位置一致(尤其是面部像)。
- 拍摄口内像时,患者坐姿端正,头部与相机镜头保持相对水平。
标准拍摄位点(核心是全面展示牙列、咬合、口腔软硬组织)
正畸口内像通常需要拍摄以下9个标准位点(有时根据需要增加特殊位点):
(一) 正面像(Frontal Views)
-
正面全牙列像(Frontal Full Arch View):
(图片来源网络,侵删)- 目的: 显示上下颌牙列整体情况,中线关系,牙齿排列、大小、形态、颜色,牙龈状况,唇系带位置。
- 技术要点:
- 患者放松,自然微笑(非大笑),牙齿轻接触,上下唇自然分开约1-2mm。
- 相机镜头正对患者面部,与牙列平面垂直(Frankfort平面水平)。
- 使用拉钩充分拉开口角,暴露第一磨牙。
- 对焦于中切牙或整个牙弓。
- 确保上下颌牙齿均清晰可见(可能需要患者轻微调整下颌位置)。
- 拍摄左右两张:一张自然放松位,一张最大微笑位(显示牙龈)。
-
右侧45度像(Right 45° View):
- 目的: 显示右侧上下颌牙列,特别是前牙覆盖、覆颌关系,后牙咬合关系,颊侧牙龈。
- 技术要点:
- 患者头部转向左侧约45度(或相机向患者右侧移动45度)。
- 拉钩拉开右侧口角。
- 镜头与牙列平面约成45度角(确保能同时看到上下颌牙齿)。
- 对焦于前牙区或咬合面。
- 拍摄自然放松位和最大微笑位(可选)。
-
左侧45度像(Left 45° View):
- 目的: 同右侧45度像,但显示左侧。
- 技术要点: 同右侧45度像,但方向相反(患者头部转向右侧约45度,相机向患者左侧移动45度),同样拍摄自然放松位和最大微笑位(可选)。
(二) 咬合面像(Occlusal Views)
-
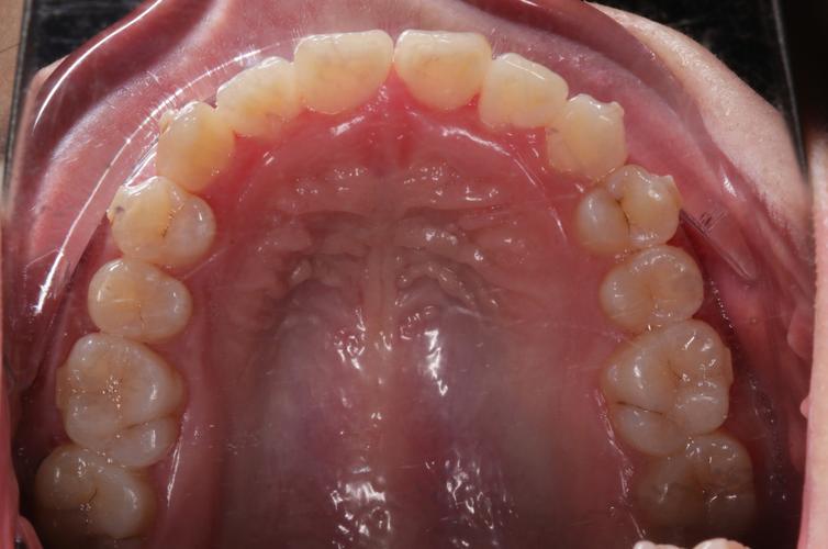
上颌咬合面像(Maxillary Occlusal View):
- 目的: 显示上颌牙弓形态、牙齿排列、咬合面磨损、龋坏、修复体、牙槽骨高度(间接反映)。
- 技术要点:
- 患者头部后仰,使上颌咬合面大致与地面平行。
- 使用拉钩拉开上唇和颊部。
- 镜头垂直于上颌咬合面。
- 对焦于咬合面中央。
- 尽可能显示第一磨牙。
-
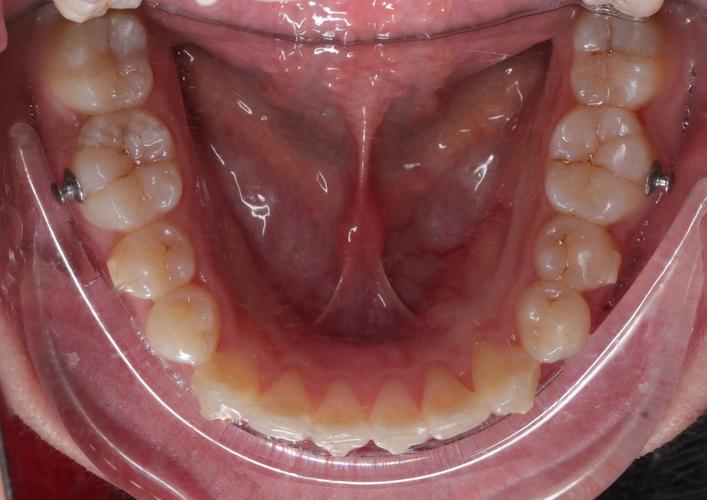
下颌咬合面像(Mandibular Occlusal View):
(图片来源网络,侵删)- 目的: 同上颌咬合面像,显示下颌情况。
- 技术要点:
- 患者头部微仰,使下颌咬合面大致与地面平行。
- 拉钩拉开下唇和颊部(可能需要助手帮忙)。
- 镜头垂直于下颌咬合面。
- 对焦于咬合面中央。
- 尽可能显示第一磨牙,拍摄此位时,患者舌头可能干扰,需指导患者舌尖抵上腭或用反光板辅助。
(三) 侧面像(Lateral Views - 颊舌侧)
-
右侧上颌颊侧像(Right Maxillary Buccal View):
- 目的: 显示右侧上颌颊侧牙齿、牙龈、牙槽骨形态、颊系带。
- 技术要点:
- 患者头部转向左侧,充分暴露右侧上颌后牙区。
- 拉钩拉开右侧口角和颊部。
- 镜头从患者右侧颊侧(约与牙长轴平行或稍偏后)拍摄,对焦于目标牙齿(如第一磨牙)。
- 可能需要助手用反光板或棉卷辅助照明和吸唾。
-
右侧下颌颊侧像(Right Mandibular Buccal View):
- 目的: 显示右侧下颌颊侧牙齿、牙龈、牙槽骨形态。
- 技术要点: 同右侧上颌颊侧像,但针对下颌,拍摄下颌后牙区时,舌头易干扰,需更注意控制。
-
左侧上颌颊侧像(Left Maxillary Buccal View):
- 目的: 显示左侧上颌颊侧情况。
- 技术要点: 同右侧上颌颊侧像,方向相反。
-
左侧下颌颊侧像(Left Mandibular Buccal View):
(图片来源网络,侵删)- 目的: 显示左侧下颌颊侧情况。
- 技术要点: 同右侧下颌颊侧像,方向相反。
(四) 舌侧像(Lingual Views - 可选但重要)
-
上颌舌侧像(Maxillary Lingual View):
- 目的: 显示上颌牙齿舌侧形态、牙龈、舌系带位置、舌侧牙槽骨形态(尤其对舌侧矫治或种植支抗重要)。
- 技术要点:
- 患者头部后仰,张大口。
- 使用拉钩拉开上唇和颊部,暴露舌侧视野。
- 助手用反光板(或棉卷)将舌侧光线反射到牙齿上。
- 镜头从患者口前方(或稍偏一侧)对准舌侧牙齿拍摄。
- 指导患者舌尖抵住上腭前部,减少干扰。
-
下颌舌侧像(Mandibular Lingual View):
- 目的: 显示下颌牙齿舌侧形态、牙龈、舌系带位置、舌侧牙槽骨形态。
- 技术要点: 同上颌舌侧像,但针对下颌,难度更大,需助手密切配合反光板和吸唾,患者舌头易遮挡,需耐心配合。
(五) 特殊位点(根据需要)
- 颞下颌关节位(TMJ Views): 有时需要拍摄开闭口位,评估关节情况(非严格口内像,但常在口诊拍摄)。
- 面部像(Facial Views): 虽然非口内,但正畸术前必须拍摄标准面部像(正面、左右侧45度、侧面)作为整体评估和美学分析的基准。
- 模型像(Study Models): 口内像无法完全替代石膏模型,但高质量的口内像能提供大量信息,模型通常在取模后拍摄照片存档。
拍摄技术要点与注意事项
- 清晰度是核心:
- 精确对焦: 使用单点对焦,对焦在最重要的结构上(如切缘、咬合面中央、牙尖),确保牙齿清晰锐利。
- 充足光线: 环形闪光灯或双点闪光灯提供均匀照明,避免阴影,棉卷吸唾减少反光。
- 稳定相机: 使用三脚架或稳定握持,避免手抖。
- 合适光圈: 通常使用较小光圈(如f/8-f/16)获得足够景深,确保从切缘到牙尖都清晰。
- 合适快门速度: 确保高速快门(如1/125s或更高)冻结患者可能的微小移动。
- 低ISO: 尽量使用低ISO(如100-200)减少噪点。
- 全面性: 确保所有9个标准位点(或根据需要增加的位点)都清晰拍摄到位,不遗漏任何区域(尤其是后牙区)。
- 一致性:
- 患者体位: 每次拍摄(尤其是不同时期复诊)保持头部位置一致(使用Frankfort平面指示器)。
- 拍摄角度: 严格按照标准位点要求的角度拍摄。
- 曝光参数: 在同一患者不同时期拍摄时,尽量使用相同的相机设置(光圈、快门、ISO、白平衡、闪光灯强度)。
- 无干扰:
- 唾液控制: 及时用棉卷吸去唾液,保持视野干燥。
- 软组织控制: 拉钩充分拉开唇颊部,反光板辅助舌侧照明。
- 舌头控制: 指导患者用鼻子呼吸,舌尖抵上腭(尤其在咬合面和舌侧像)。
- 避免反射: 避免金属器械反光干扰。
- 患者配合: 耐心指导患者,解释步骤,取得配合,拍摄过程可能需要重复多次才能获得理想照片。
- 无菌操作: 所有接触患者口腔的器械必须严格消毒或一次性使用,防止交叉感染。
- 记录与归档:
- 为每位患者建立唯一的编号。
- 每张照片清晰标注位点(如:Frontal Full Arch Natural, Right 45° Smile, Max Occl 等)。
- 使用标准化的命名规则和文件夹结构。
- 确保照片与患者档案关联。
- 重复拍摄: 不要满足于第一张照片,每个位点通常需要拍摄2-3张,选择最清晰、最符合标准的一张存档,宁可多拍,不可少拍。
正畸术前口内拍照的标准追求的是清晰、全面、一致、可重复,严格遵守设备要求、患者准备、9个核心位点(及可选位点)的拍摄技术要点,并时刻注意清晰度、全面性和一致性,是获得高质量诊断照片的基础,这些照片是正畸医生进行精准诊断、制定个性化治疗方案、预测疗效以及进行长期追踪评估不可或缺的“眼睛”,良好的拍摄习惯和规范操作是保证正畸治疗成功的重要环节。
