是的,强烈建议并且通常在正规的正畸治疗流程中,正畸完成后都需要拍摄照片。
这不仅仅是一个“可有可无”的步骤,而是整个正畸治疗过程中至关重要的一环,以下是详细的原因:

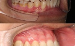
(图片来源网络,侵删)
📸 1. 完整的医疗记录与效果评估
- 客观证据: 照片是记录牙齿、牙龈、嘴唇、面部轮廓等软硬组织变化的最直观、客观的证据,它们与X光片、模型一起,构成了完整的“治疗前后对比”档案。
- 评估治疗效果: 医生需要通过这些照片来:
- 确认治疗目标达成: 检查牙齿排列是否整齐、咬合关系是否稳定、面部美观是否达到预期(如微笑线、侧面轮廓改善等)。
- 评估软组织变化: 观察嘴唇形态、笑线、颊部饱满度等是否协调美观。
- 发现潜在问题: 检查是否有牙龈退缩、牙根吸收、关节问题等需要关注的情况。
- 为保持期提供建议: 根据最终效果,判断是否需要长期保持,以及保持的重点是什么。
📊 2. 患者沟通与知情同意
- 直观展示成果: 向患者清晰地展示治疗后的效果,让患者了解自己的牙齿和面部发生了哪些积极的变化,增强患者的满意度和信心。
- 管理预期: 帮助患者理解最终效果与理想效果之间的差异(如果存在),并解释原因。
- 确认满意度: 患者可以直观地看到结果,并确认自己对治疗效果是否满意。
🧪 3. 学术研究与教学
- 病例积累: 这些高质量的照片是医生进行学术交流、发表研究论文、制作教学病例的重要资料。
- 经验分享: 有助于医生总结经验,提升正畸技术水平。
📷 4. 个人纪念与价值
- 珍贵的回忆: 对于很多患者来说,正畸治疗是一段改变外貌、提升自信的重要经历,治疗前后的对比照片是非常有价值的个人纪念,记录了“蜕变”的过程。
- 分享与展示: 很多患者喜欢分享自己的正畸成果,照片是最有力的证明。
⚖ 5. 法律与保护
- 医疗纠纷依据: 在极少数情况下,如果发生医疗纠纷,完整、清晰的治疗前后照片是保护医患双方权益的重要法律证据,能够客观反映治疗过程和结果。
📌 正畸完成后的照片是:
- 医疗必需品: 是评估疗效、保障医疗质量、完善病历档案的核心组成部分。
- 沟通桥梁: 是医生与患者之间清晰、有效沟通的重要工具。
- 价值载体: 对患者而言,是记录美丽蜕变、增强自信的珍贵纪念。
- 专业责任: 是医生履行专业职责、进行学术交流的基础资料。
📍 当你的正畸医生在治疗结束时要求你拍摄“保持前照片”或“拆除矫治器后照片”时,请务必积极配合,这不仅仅是为了医生的工作,更是为了你自己的健康、美观和权益,这些照片将成为你美丽笑容的永恒见证,也是你对自己健康投资的一份珍贵记录。💪🏻
如果你对拍摄的具体内容或目的有疑问,随时可以询问你的正畸医生,他们会很乐意为你解释每一张照片的意义。

(图片来源网络,侵删)
