正畸治疗的核心在于精准的诊断与科学的方案设计,而影像拍摄作为获取患者口腔及颌面部信息的关键手段,其质量直接影响治疗计划的制定与效果评估,正畸拍摄图片需涵盖口内、口外及数字化影像等多维度内容,既要全面反映牙齿、颌骨、软组织的形态特征,又要兼顾动态功能与静态结构的结合,以下从拍摄类型、操作步骤、注意事项及质量控制等方面进行详细阐述。
口内影像拍摄方法
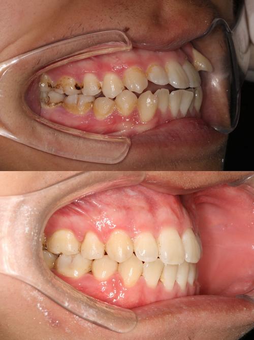
口内影像是正畸诊断的基础,主要用于观察牙齿排列、牙根形态、牙槽骨状况及咬合关系,常用包括牙片、咬合片及全景片。

牙片(根尖片)
拍摄目的:观察单颗牙齿的牙根形态、根尖周情况、牙槽骨密度及邻牙关系,如检查牙根吸收、根管治疗状态、埋伏牙位置等。
设备:口内X线机(分牙科专用X线机及数字化传感器两种)、牙片夹/传感器、定位环。
操作步骤:
- 患者端坐,头部调整至Frankfort平面(眼耳平面)与地面平行,被摄牙咬合面与地面垂直;
- 将牙片夹或传感器置于牙齿舌(腭)侧,紧贴牙面,嘱患者轻轻咬住固定;
- X线球管对准被摄牙中轴,与牙齿长轴及牙片平面垂直,焦片距离根据设备调整(一般为40cm);
- 曝光后,数字化设备可直接成像,胶片需经暗室处理。
注意事项:避免唾液污染牙片或传感器,对敏感患者可使用表面麻醉剂;拍摄后需确认图像清晰,牙根、牙冠及牙槽骨结构完整显示。
咬合片(翼片)
拍摄目的:观察上下颌牙列的咬合关系,特别是后牙区的颊舌向关系、阻生牙位置及牙槽嵴顶状况。
设备:与牙片相同,需使用特制的咬合片盒或传感器。
操作步骤:
- 将牙片置于上下颌牙之间,咬合片的长轴与牙列咬合面平行,嘱患者做正中咬合;
- X线球管对准上颌或下颌牙列中轴线,与牙片平面成65°-70°角;
- 曝光后获取图像,重点观察上下牙的覆盖、覆颌关系及后牙区颊舌向位置。
注意事项:咬合力需适中,避免牙片移位或折断;对张口受限患者,可调整角度或使用小尺寸牙片。
全景片(曲面断层片)
拍摄目的:全面展示上下颌全牙列、牙槽骨、颌骨形态及颞下颌关节,是正畸评估的“基础地图”。
设备:口腔全景X光机,具备自动定位功能。
操作步骤:
- 患者站立或端坐,调整头部至定位仪:前额贴靠额托,鼻梁对准鼻托,上下门齿咬于咬合板上,使眶耳平面与地面平行;
- 嘱患者保持静止,勿吞咽或移动,机器自动旋转曝光;
- 获取图像后,重点观察牙列拥挤度、牙根平行度、牙槽骨高度及颌骨对称性。
注意事项:对有金属修复体患者,需注意伪影干扰;拍摄前取下活动义齿及金属饰品,避免遮挡。
口外影像拍摄方法
口外影像主要用于评估面部软组织形态、颌骨关系及生长发育趋势,包括正面像、侧面像及颏顶位像。

正面像
拍摄目的:观察面部对称性、比例(如三庭五眼)、唇部形态及中线情况。
设备:单反相机(配环形闪光灯或双闪光灯)、背景布、定位仪(如耳塞眶点定位器)。
操作步骤:
- 患者自然站立,头部调整至Frankfort平面与地面平行,双眼平视前方;
- 使用定位仪固定两侧耳屏点及眶下点,确保相机镜头中轴线对准面部中线;
- 嘱患者自然放松,嘴唇轻闭,牙列轻接触,拍摄时保持呼吸平稳;
- 分别拍摄自然位、微笑位(观察露龈量、微笑曲线)及说话位(动态唇部运动)。
注意事项:光线均匀,避免阴影;背景单色,便于后期分析;表情自然,避免刻意用力导致肌肉紧张。
侧面像
拍摄目的:评估面部突度、鼻唇颏关系、下颌平面角及软组织轮廓。
设备:与正面像相同,需配备头颅定位仪。
操作步骤:
- 患者头部调整至正中矢状面与地面垂直,Frankfort平面与地面平行;
- 定位仪固定耳屏点,确保相机镜头对准侧面外耳道,与患者侧面垂直;
- 分别拍摄自然放松位及牙齿咬合位(观察息止颌间隙)。
注意事项:避免头部倾斜,确保左右对称;重点标记软组织标志点(如鼻根、鼻尖、上唇缘、下唇缘、颏前点)。
颏顶位像(颅底位像)
拍摄目的:观察上下颌骨的横向关系、牙弓形态及腭中缝情况。
设备:口腔X光机或专用颅底位机。
操作步骤:
- 患者仰卧,头部后仰,使眶耳平面与地面成70°角,鼻尖朝上;
- X线球管对准鼻根部,与颅底平面垂直,焦片距离为100cm;
- 曝光后获取图像,分析牙弓宽度、腭穹窿形态及颌骨对称性。
注意事项:对颈椎病患者需谨慎调整角度;避免张口过大导致图像模糊。
数字化影像拍摄技术
随着正畸数字化发展,口内扫描及CBCT等新技术逐渐普及,提升了拍摄效率与精准度。
口内扫描(IOS)
拍摄目的:获取牙齿及牙列的三维数字模型,替代传统取模,用于方案设计、隐形矫治器制作及疗效追踪。
设备:口内扫描仪(如iTero、3M True Definition),配备定位标记点。
操作步骤:
- 清洁患者口腔,去除食物残渣及菌斑;
- 扫描顺序:从后牙区开始,沿牙弓一侧至另一侧,再扫描对侧,最后覆盖前牙区;
- 对敏感区域可轻柔扫描,避免触发恶心反射;
- 实时查看扫描效果,确保无遗漏区域,完成后生成STL格式数字模型。
注意事项:对唾液分泌过多患者,可使用气枪吹干或吸唾器;扫描时保持探头与牙面轻接触,避免压力过大导致图像变形。
锥形束CT(CBCT)
拍摄目的:三维重建颌骨、牙齿及神经血管结构,用于复杂病例(如埋伏牙牵引、正颌术前评估、颞下颌关节分析)。
设备:口腔专用CBCT机,可调节扫描范围(FOV)及层厚。
操作步骤:
- 患者站立,头部固定于头颅定位仪,确保Frankfort平面与地面平行;
- 根据需求选择FOV(如单颌牙列、全颌或颅面部),层厚0.1-0.3mm;
- 嘱患者闭口,勿吞咽或移动,机器自动旋转曝光;
- 重建三维图像,多平面观察(MPR)及三维测量。
注意事项:严格遵循辐射防护原则,对孕妇、儿童尽量规避;扫描前取下金属修复体及活动义齿,减少金属伪影。
拍摄质量控制要点
正畸影像的准确性需从设备、操作及患者三方面把控:
- 设备维护:定期校准X线机、相机及扫描仪,确保参数(曝光量、焦距、分辨率)稳定;
- 操作标准化:统一拍摄角度、体位及定位方法,不同时间点的影像需保持条件一致(如正面像的焦距、光线);
- 患者配合:拍摄前向患者解释流程,消除紧张情绪,对儿童或不配合者可使用固定装置或家长辅助;
- 图像筛选:排除伪影(如唾液污染、移动模糊、金属干扰),确保关键结构清晰可辨。
相关问答FAQs
Q1:正畸治疗初期必须拍摄哪些片子?为什么?
A:正畸初期通常需拍摄全景片、牙片(必要时)、正面像、侧面像及颏顶位像,全景片用于评估全牙列及颌骨整体情况;牙片检查单颗牙根及根尖周健康;口外像记录面部软组织基线,为治疗前后对比提供依据;颏顶位像分析牙弓宽度,这些影像共同构成诊断基础,避免遗漏潜在问题(如牙根吸收、埋伏牙)。
Q2:口扫和传统取模相比,在正畸中有什么优势?
A:口扫相比传统取模优势显著:①效率高,3-5分钟即可完成,无需等待模型制作;②舒适度高,避免取模材料的恶心感;③精准度高,数字化模型误差小于0.1mm,可精准测量牙齿移动距离;④可视化强,医生可实时在模型上设计方案,患者同步参与沟通;⑤便于数据存储与传输,支持远程会诊及3D打印,但对技术操作要求较高,需确保扫描区域无遗漏。
