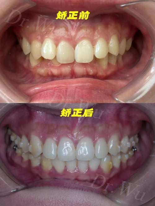
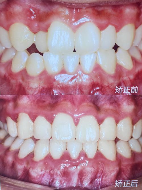
正畸治疗对骨性二类错颌畸形的效果是一个复杂的问题,不能简单地用“多大效果”来概括,因为它高度依赖于多个关键因素,骨性二类(通常表现为下颌相对于上颌位置靠后,俗称“龅牙”或“双颌前突”的一种表现)的矫正效果范围很大,从显著的改善到有限的掩饰性治疗都有可能。
以下是影响效果的关键因素和可能达到的效果范围:

🧬 1. 骨性问题的严重程度
- 轻度骨性二类: 如果骨骼不调程度较轻,主要表现为牙齿代偿(如上牙前倾、下牙后倾),单纯通过正畸治疗(拔牙、扩弓、内收前牙等)通常可以达到非常满意的效果,不仅能建立良好的咬合关系,还能显著改善面型(如改善“凸面型”),效果接近骨性一类。
- 中度骨性二类: 骨骼不调程度中等,正畸治疗可以显著改善面型和咬合,但可能无法完全达到理想的一类关系或完美的面型,效果是改善为主,而非完全纠正。
- 重度骨性二类: 骨骼不调非常明显(如下颌严重后缩)。单纯正畸治疗的效果非常有限,主要目标是:
- 掩饰性治疗: 通过拔牙、移动牙齿,尽可能改善咬合功能和面型美观度,但骨骼的不协调依然存在。
- 为手术做准备: 正畸治疗是正颌手术的必要前提,通过术前去代偿(将倾斜的牙齿竖直),为手术创造条件,手术是解决重度骨性问题的金标准。
🧒 2. 年龄和生长发育潜力
- 青少年(生长发育期): 这是效果最好的时期,可以利用生长发育潜力进行生长改良治疗:
- 使用功能性矫治器(如FR、 twin-block、 Herbst矫治器)引导下颌向前生长。
- 使用口外弓抑制上颌过度生长。
- 效果可以部分甚至完全纠正骨骼不调,避免或减少成年后正颌手术的需要,效果潜力最大。
- 成年人(生长发育停止后): 骨骼已定型,无法通过正畸改变骨骼位置,效果主要依赖于牙齿的移动:
- 掩饰性治疗: 通过拔牙(通常拔上颌第一前磨牙或下颌第一前磨牙)、内收上前牙、压低下前牙、远中移动下颌牙齿等手段,在现有骨骼框架内建立尽可能好的咬合关系和改善面型美观度,效果取决于骨骼不调的严重程度和掩饰的可行性,对于严重病例,掩饰效果有限,甚至可能无法达到功能与美观的平衡。
- 正畸-正颌联合治疗: 对于成年人重度骨性二类,正畸+正颌手术是获得最佳效果(理想咬合和面型)的唯一途径,正畸负责术前去代偿和术后精细调整,手术负责移动颌骨到正确位置,效果非常显著且稳定。
🛠 3. 治疗方案的选择
- 非拔牙方案: 适用于轻度病例或某些特定情况(如上颌前突为主,下颌位置尚可),通过扩弓、推磨牙向后、唇挡等手段,可能获得一定效果,但空间有限,对中度以上效果不佳。
- 拔牙方案: 是掩饰性治疗中最常用的方法,通过拔除前磨牙,为内收前牙、改善突度提供空间,效果取决于拔牙设计、牙齿移动控制和患者配合度,通常能获得较好的面型改善和咬合稳定。
- 功能性矫治器: 仅对生长发育期患者有效,利用颌骨生长潜力引导下颌向前,效果取决于患者的生长反应和依从性。
- 正颌手术: 是解决骨性问题的终极手段,效果最显著、最稳定,能从根本上纠正骨骼位置不调。
📐 4. 患者的骨骼类型和面部软组织
- 垂直向关系: 高角病例(面下部长)和低角病例(面下部长短)对正畸治疗的反应和效果不同,高角病例内收前牙时容易打开咬合,低角病例则容易加深咬合。
- 软组织厚度和弹性: 软组织厚的患者,牙齿移动后面型变化的视觉反馈可能不如软组织薄的患者明显。
- 面部美学基础: 患者原有的面部基础结构也会影响最终效果的评价。
📊 效果总结(按情况分类)
| 情况分类 | 效果描述 | 关键影响因素 |
|---|---|---|
| 轻度骨性二类(青少年) | ✅ 非常满意:接近骨性一类效果,显著改善面型和咬合 | 利用生长潜力,功能性矫治器效果好 |
| 中度骨性二类(青少年) | ✅ 显著改善:面型和咬合功能明显改善,可能接近理想 | 生长改良治疗,可能需要拔牙 |
| 重度骨性二类(青少年) | ⚠️ 部分改善:可能避免手术,但效果有限 | 生长潜力有限,可能仍需手术 |
| 轻度骨性二类(成人) | ✅ 满意:良好咬合和面型改善 | 掩饰性治疗可行,拔牙方案效果好 |
| 中度骨性二类(成人) | ⚠️ 改善为主:咬合和面型改善,但骨骼不调仍存在 | 掩饰性治疗,效果取决于掩饰可行性 |
| 重度骨性二类(成人) | ❌ 有限或需手术:掩饰效果有限,功能美学平衡难达成 | 必须正畸+正颌手术才能获得理想效果 |
- 没有绝对的“多大效果”,而是“能达到什么程度的效果”。
- 对于青少年患者,尤其是轻中度骨性二类,正畸治疗(尤其是结合生长改良)的效果非常显著,甚至可以完全纠正。
- 对于成人患者,尤其是中重度骨性二类,单纯正畸治疗的效果是 “掩饰性”的,即在现有骨骼框架内做到最好,但无法改变骨骼本身,效果取决于掩饰的可行性。
- 对于任何年龄的重度骨性二类,正畸治疗本身效果有限,正畸+正颌手术是获得最佳、最稳定效果的唯一途径。
- 最终效果取决于:骨性问题的严重程度、年龄(生长发育潜力)、治疗方案的选择、患者的骨骼类型和软组织条件、以及正畸医生的技术和经验。
📎 建议
如果你或家人有骨性二类错颌畸形,强烈建议咨询专业的正畸医生,医生会通过详细的临床检查、模型分析、X光头影测量等评估骨骼不调的程度、类型、生长发育潜力(针对青少年),并据此制定个性化的治疗方案,明确告知你预期的效果范围、可能的局限性以及不同方案(如正畸掩饰 vs 正畸+正颌手术)的利弊,帮助你做出最适合自己的决定。不要期望单纯正畸能解决所有骨性问题,但专业的正畸医生能为你找到最优解。 💪🏻

