拜博口腔网

  • 牙齿矫正为何要拔2号牙?拔了会对牙齿有什么影响?

    牙齿矫正为何要拔2号牙?拔了会对牙齿有什么影响?

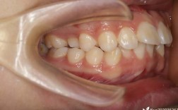
    在牙齿矫正领域,“2号牙”通常指上下颌侧切牙(上颌侧切牙编号为12、22,下颌侧切牙为32、42),是位于中切牙(1号牙)与尖牙(3号牙)之间的前牙,在牙列美观和功能中扮演重要角色,因牙齿排列异常或咬合问题需要拔除2号牙的情况,在正畸临床上...

    2026-01-22
    21 0 0
  • 1 / 1
  • 1