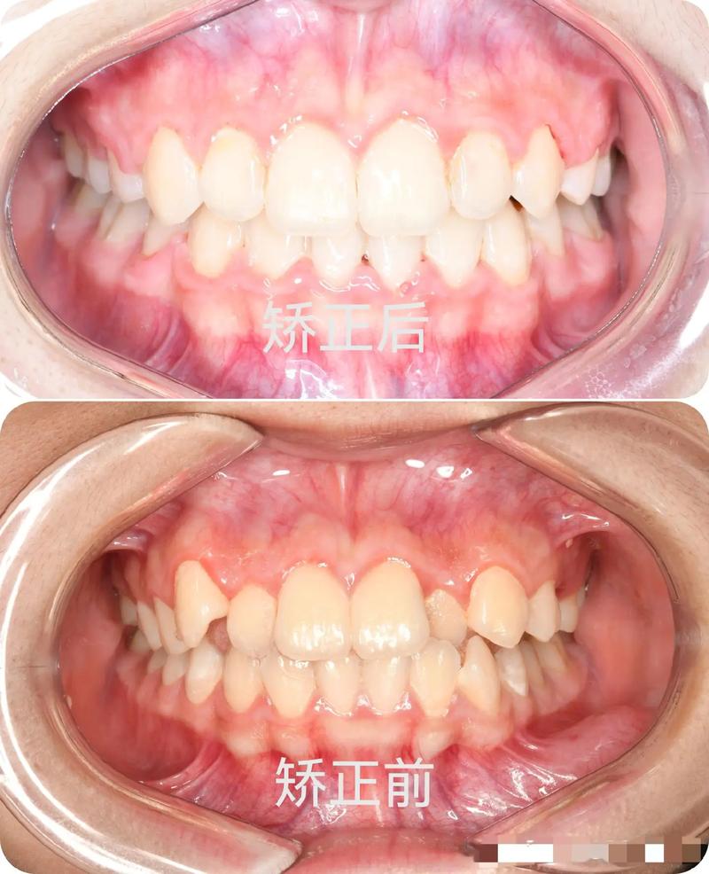
在牙齿矫正领域,“2号牙”通常指上下颌侧切牙(上颌侧切牙编号为12、22,下颌侧切牙为32、42),是位于中切牙(1号牙)与尖牙(3号牙)之间的前牙,在牙列美观和功能中扮演重要角色,因牙齿排列异常或咬合问题需要拔除2号牙的情况,在正畸临床上并不少见,其核心目的是通过有限拔牙实现牙列与颌骨、面部的协调。
拔2号牙的常见原因及适应症
拔牙是正畸治疗中“减数”手段的一种,而拔除2号牙往往针对特定的错颌畸形问题,需严格评估后确定,以下为常见拔牙原因及对应表现:

| 拔牙原因 | 具体表现 | 矫正目标 |
|---|---|---|
| 牙列中度至重度拥挤 | 上下颌牙弓长度不足,牙齿排列不齐,出现扭转、重叠,甚至部分牙齿无法完全萌出。 | 解除拥挤,为牙齿排列提供足够空间,建立正常邻接关系。 |
| 上颌前牙前突(深覆盖) | 自然状态下上前牙超出下前牙唇侧超过3mm,微笑时露龈过多,鼻唇沟明显,影响面部美观。 | 内收前牙,改善前突程度,建立正常覆颌覆盖(上前牙盖下前牙1/3-1/2)。 |
| 上下颌牙弓宽度不调 | 上颌牙弓狭窄,下颌牙弓相对宽大,导致后牙反颌或锁颌,咀嚼功能受限。 | 扩大上颌牙弓或协调上下颌宽度,通过拔除2号牙调整牙弓形态,建立稳定咬合。 |
| 侧切牙先天异常 | 侧切牙过小(锥形牙)、牙冠严重缺损或缺失,邻牙(中切牙、尖牙)向缺隙倾斜,间隙不足。 | 拔除异常侧切牙,集中间隙修复或调整邻牙位置,恢复牙列连续性和美观。 |
| 美学需求优化 | 患者微笑线不对称、侧切牙形态与面部比例不协调(如过短、过突),需通过拔牙调整牙齿排列。 | 改善微笑曲线,使牙齿形态与唇部、面部轮廓更协调,提升整体美观度。 |
拔2号牙的矫正原理与流程
拔除2号牙后,正畸医生会通过矫治器(如传统托槽、自锁托槽、隐形矫正器等)引导牙齿按预设方向移动,最终实现牙列稳定与功能平衡,其核心原理是“利用拔牙间隙解决主要问题”,具体流程如下:
术前评估与方案设计
拔牙前需进行全面检查,包括:
- 口腔检查:记录牙齿拥挤度、咬合关系、牙周健康状况;
- 影像学检查:拍摄全景片(观察牙根形态、牙槽骨情况)、头颅侧位片(分析颌骨关系、软组织面型);
- 模型分析:制作牙列模型,测量牙弓长度、宽度,模拟牙齿移动路径。
根据检查结果,医生确定是否拔除2号牙(通常单颌拔除1颗,或上下颌对称拔除),并制定个性化矫正方案。
拔牙时机与操作
一般建议在正畸治疗开始前1-2周拔牙,拔牙后待伤口愈合(约1周)再粘接矫治器,拔牙时需注意:
- 优先拔除龋坏严重、牙根吸收或形态异常的2号牙;
- 若上下颌均需拔牙,通常先拔上颌2号牙,再拔下颌,以减少对咬合的干扰;
- 拔牙后需压迫止血24小时,避免吮吸、剧烈运动,防止血块脱落。
矫正过程中的牙齿移动
- 排齐整平期(0-6个月):使用轻柔力量将扭转、倾斜的牙齿排齐,整平牙弓曲线,为关闭拔牙间隙做准备;
- 关闭拔牙间隙期(6-18个月):通过“滑动法”或“关闭曲法”,将后牙前移,前牙内收,逐步关闭拔牙间隙;此阶段是矫正的关键,需定期复诊调整矫治力,确保牙齿移动方向准确;
- 精细调整期(2-3个月):关闭间隙后,调整牙齿的咬合接触点、邻接关系及微笑曲线,确保功能与美观达到最佳状态。
保持阶段
矫正结束后,需佩戴保持器(通常为透明压膜保持器或 Hawley 保持器)至少2年,期间逐渐减少佩戴时间(如从全天佩戴至夜间佩戴),保持器可防止牙齿因牙周组织改建复发回原位,维持矫正效果。

拔2号牙的风险与应对
尽管拔2号牙是成熟正畸手段,但仍存在一定风险,需提前了解并做好应对:
- 牙龈退缩或牙根吸收:牙齿移动过程中可能刺激牙槽骨,导致牙龈边缘位置降低或牙根尖端吸收,应对:选择经验丰富的医生,控制移动速度,定期拍摄根尖片监测牙根情况。
- 间隙关闭不良:若矫治力不当,可能出现后牙前移不足或前牙内收过度,导致咬合紊乱,应对:通过数字化模拟(如Damon、Insignia等)精准设计移动路径,复诊时及时调整方案。
- 美观影响:拔除侧切牙后,尖牙可能替代其位置,若尖牙形态与侧切牙差异较大(如尖牙牙尖过长),可能影响微笑美观,应对:通过树脂修复或牙冠调整尖牙形态,使其与邻牙协调。
- 牙周问题:矫正期间口腔卫生维护不当,可能引发牙龈炎、牙结石堆积,应对:使用正畸专用牙刷、水牙线,定期进行牙周清洁。
术后护理与注意事项
拔牙后及矫正期间,科学的护理是保证效果的关键:
- 口腔卫生:每次进食后刷牙(建议使用正畸牙刷),配合牙缝刷、冲牙器清洁牙面托槽周围,避免食物残渣堆积;
- 饮食调整:避免过硬(如坚果、骨头)、过黏(如口香糖、年糕)的食物,防止矫治器脱落或牙齿损伤;
- 避免碰撞:矫正期间进行剧烈运动或接触性运动时,需佩戴护齿套,保护牙齿和矫治器;
- 定期复诊:按医生约定时间复诊(通常4-6周一次),以便及时调整矫治力,处理可能出现的问题(如托槽脱落、钢丝刺嘴)。
相关问答FAQs
问题1:拔除2号牙后,牙齿需要多长时间才能完全稳定?
解答:拔牙后牙齿移动的稳定期通常分为三个阶段:① 移动期(拔牙后1-6个月):牙齿处于活跃移动状态,需通过矫治器精确控制位置;② 稳定期(6-12个月):牙齿周围牙槽骨改建基本完成,但仍需保持器维持;③ 巩固期(1-2年及以上):牙槽骨完全改建,牙齿位置稳定,通常建议全天佩戴保持器至少1年,之后夜间佩戴持续2-3年,具体时间需根据牙齿原始错颌严重程度、移动距离及个人骨代谢情况调整。
问题2:拔2号牙会影响面型美观吗?比如会让嘴唇变瘪?
解答:拔2号牙对面型的影响需辩证看待:若患者存在上颌前突(龅牙)或牙列拥挤导致唇部前突,拔除2号牙后通过内收前牙,可减少嘴唇前突度,改善鼻唇沟过深、露龈微笑等问题,使面型更协调;若患者本身面型正常或牙量骨量匹配良好,盲目拔2号牙可能导致前牙内收过度,出现“瘪嘴”或口周肌肉松弛,正畸医生会通过头影测量、面部美学分析等手段,评估拔牙对面型的潜在影响,确保矫正后既能改善牙齿问题,又能维持或优化面型美观。
