拜博口腔网

  • 张曼玉牙齿矫正

    张曼玉牙齿矫正

    张曼玉作为华语影坛的标志性人物,不仅以精湛的演技征服观众,其独特的个人魅力和自然随性的风格也成为一代人的审美记忆,在关注她作品的同时,细心的人会发现,她早期的牙齿状态与后期存在一些差异,这背后其实隐藏着一段关于牙齿矫正的故事,而这段经历不仅...

    2026-01-25
    51 0 0
  • 男生矫正牙齿前后差异能有多大?效果是否惊艳?

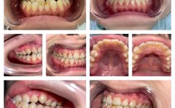
    男生矫正牙齿前后差异能有多大?效果是否惊艳?

    男生矫正牙齿前后对比,往往不仅仅是牙齿排列的变化,更是一场从外在形象到内在自信的全面蜕变,这种改变并非一蹴而就,而是通过科学的正畸治疗,在牙齿、口腔功能乃至心理层面带来的显著差异,矫正前的困扰:被牙齿问题困扰的日常在决定矫正之前,许多男生可...

    2026-01-17
    92 0 0
  • 1 / 1
  • 1