男生矫正牙齿前后对比,往往不仅仅是牙齿排列的变化,更是一场从外在形象到内在自信的全面蜕变,这种改变并非一蹴而就,而是通过科学的正畸治疗,在牙齿、口腔功能乃至心理层面带来的显著差异。
矫正前的困扰:被牙齿问题困扰的日常
在决定矫正之前,许多男生可能长期被牙齿问题困扰,这些问题不仅影响口腔健康,更在潜移默化中改变着他们的生活状态。
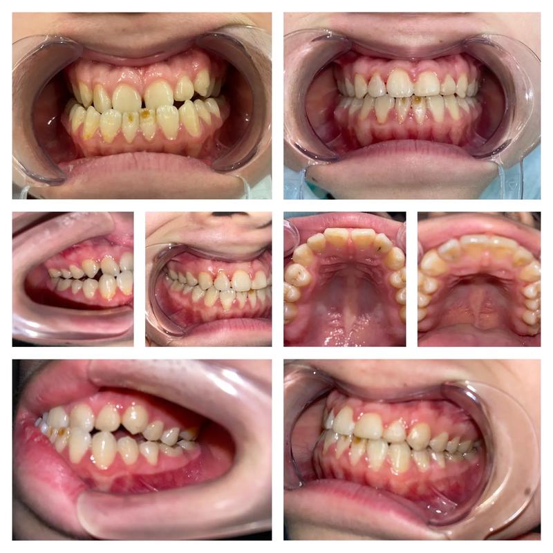
外观层面,最常见的牙齿问题包括牙齿拥挤、龅牙、地包天、牙缝过大等,比如牙齿拥挤时,牙齿排列不齐,笑起来时牙齿东倒西歪,甚至可能因为清洁不到位导致牙结石堆积、牙齿发黄;龅牙则会让嘴唇无法自然闭合,侧面看时嘴巴前凸,显得“没精神”;地包天(反颌)则会导致下颌过度前伸,不仅影响面部轮廓,还容易让人显得“凶”或“固执”,这些问题往往让男生在社交中变得不自信,比如拍照时不敢露齿笑,与人交流下意识地捂嘴,甚至因为担心被议论而减少社交活动。
功能层面,牙齿问题直接影响口腔基本功能,咬合紊乱(比如深覆合、深覆盖)会导致咀嚼效率降低,吃硬一点的食物(坚果、牛肉干)时觉得费劲,甚至可能咬到脸颊或舌头;牙齿拥挤则容易嵌塞食物残渣,即便每天刷牙,牙缝深处仍可能藏污纳垢,引发牙龈炎、牙周炎,出现牙龈出血、口臭等问题;严重错颌还可能影响发音,s”“z”等齿音字发音不清,影响沟通流畅度。
心理层面,长期的牙齿问题容易让人产生自卑心理,有些男生会因为牙齿不好看而觉得自己“不够帅”,甚至在恋爱、求职中缺乏底气,这种负面情绪可能进一步影响性格,变得内向、敏感,不愿意在公众场合表达自己。

矫正过程中的变化:从适应到期待
矫正牙齿的过程,通常需要1-3年时间(具体时间取决于牙齿问题的复杂程度),初期可能会经历短暂的适应期:戴上牙套后,牙齿会有酸胀感,咀嚼软食时可能觉得无力,口腔内也可能因为托槽摩擦而出现口腔溃疡,但适应期一般持续1-2周,随着牙齿逐渐开始移动,不适感会慢慢减轻。
矫正过程中,最直观的变化是牙齿的“悄悄移动”,通过定期复诊(通常每4-6周一次),医生会调整牙弓丝、更换橡皮筋等,利用持续的轻力引导牙齿向理想位置移动,比如拥挤的牙齿会慢慢“排齐”,龅牙会逐渐“收回去”,地包天的下颌会回到正常位置,在这个过程中,男生会逐渐发现镜子里的自己“越来越好看了”,这种期待感会让人更有耐心坚持下去。
除了牙齿本身,矫正过程中的口腔护理习惯也会发生改变,为了保持牙套和牙齿的清洁,男生需要学会使用牙缝刷、冲牙器,甚至调整刷牙方式(比如采用巴氏刷牙法,清洁托槽周围的食物残渣),这些习惯的养成,不仅有助于矫正效果,也让口腔健康意识得到提升。
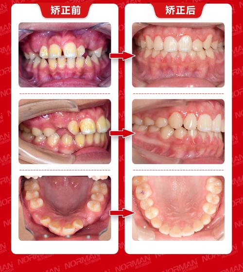
矫正后的对比:看得见的改变,摸得着的自信
矫正完成后,摘下牙套的那一刻,男生往往会迎来“脱胎换骨”的变化,这种变化可以通过多个维度来体现,以下为具体对比:
| 对比维度 | 矫正前 | 矫正后 |
|---|---|---|
| 牙齿排列与外观 | 牙齿拥挤/稀疏、龅牙/地包天、咬合紊乱,笑时牙齿不齐,可能伴随牙龈红肿、牙齿发黄。 | 牙齿排列整齐,咬合关系正常,弧度自然,笑容更自信,面部轮廓更协调(如龅牙矫正后嘴唇不再前凸,地包天矫正后下巴线条更流畅)。 |
| 口腔功能 | 咀嚼效率低,咬硬物费劲,发音不清(如齿音字),易嵌塞食物导致口臭、牙龈出血。 | 咀嚼有力,能正常吃各类食物,发音清晰,咬合顺畅,食物不易嵌塞,口腔清洁难度降低。 |
| 心理状态 | 自卑、敏感,社交中不敢露齿笑,拍照时捂嘴,缺乏表达欲。 | 自信开朗,社交中主动微笑,拍照大方露齿,更愿意参与集体活动,性格更积极外向。 |
| 生活习惯 | 口腔护理敷衍,因牙齿问题拒绝吃硬食、黏食,饮食单一。 | 注重口腔健康,学会使用牙缝刷、冲牙器,饮食多样化,更爱尝试新食物(如坚果、排骨)。 |
矫正带来的“隐形”收获
除了牙齿和外观的改变,矫正牙齿还会带来许多“隐形”的积极影响,口腔健康的提升降低了患龋齿、牙周病的风险,为未来口腔健康打下基础;咀嚼功能的改善让营养吸收更充分,间接促进身体健康;更重要的是,自信心的提升会辐射到生活的方方面面——比如在职场中更敢于表达观点,在恋爱中更主动展现自己,甚至因为“笑容更有魅力”而获得更多机会。
相关问答FAQs
Q1:矫正牙齿会导致牙齿松动吗?老了会不会更容易掉牙?
A:矫正过程中牙齿会出现轻微松动,这是正常现象——牙齿需要在牙槽骨中移动,牙槽骨会随之改建(吸收与重建),从而带动牙齿移动,矫正结束后,牙齿会在新的位置稳定下来,松动会消失,只要矫正后保持良好的口腔卫生(如佩戴保持器、正确刷牙),牙齿并不会因为矫正而更容易掉牙,反而因为咬合正常、清洁到位,老了牙齿更稳固。

Q2:成年男生矫正和青少年矫正有什么区别?会不会影响脸型?
A:成年男生矫正和青少年矫正的主要区别在于骨骼发育状态:青少年处于生长发育期,骨骼改建速度快,矫正效果可能更显著且时间稍短;成年男生骨骼已停止发育,矫正主要通过牙齿移动改善排列,可能需要更长时间(部分严重骨性问题需配合正颌手术),关于脸型,矫正对脸型的影响主要体现在“协调性”上:比如龅牙矫正后嘴唇不再前凸,侧脸线条更柔和;地包天矫正后下巴后缩改善,面部比例更和谐,但矫正不会“改变”脸型基础,而是在原有基础上让轮廓更自然。

