拜博口腔网

  • 片段弓局部正畸视频

    片段弓局部正畸视频

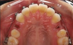
    片段弓局部正畸作为一种聚焦“小范围、高效率”的牙齿矫正技术,近年来通过视频形式被广泛传播,让更多人直观了解这一“精准移动目标牙齿”的正畸方式,与传统全口矫正需佩戴托槽、钢丝不同,它仅针对1-4颗问题牙齿(如前牙拥挤、扭转、个别牙反颌或间隙)...

    2025-12-28
    2 0 0
  • 1 / 1
  • 1