片段弓局部正畸作为一种聚焦“小范围、高效率”的牙齿矫正技术,近年来通过视频形式被广泛传播,让更多人直观了解这一“精准移动目标牙齿”的正畸方式,与传统全口矫正需佩戴托槽、钢丝不同,它仅针对1-4颗问题牙齿(如前牙拥挤、扭转、个别牙反颌或间隙)进行干预,利用片段弓的特殊力学结构,在局部实现牙齿的排齐、内收或角度调整,既缩短了治疗周期,又减少了患者的不适感,尤其适合对美观和效率有较高需求的成年人群。
技术原理与视频核心内容
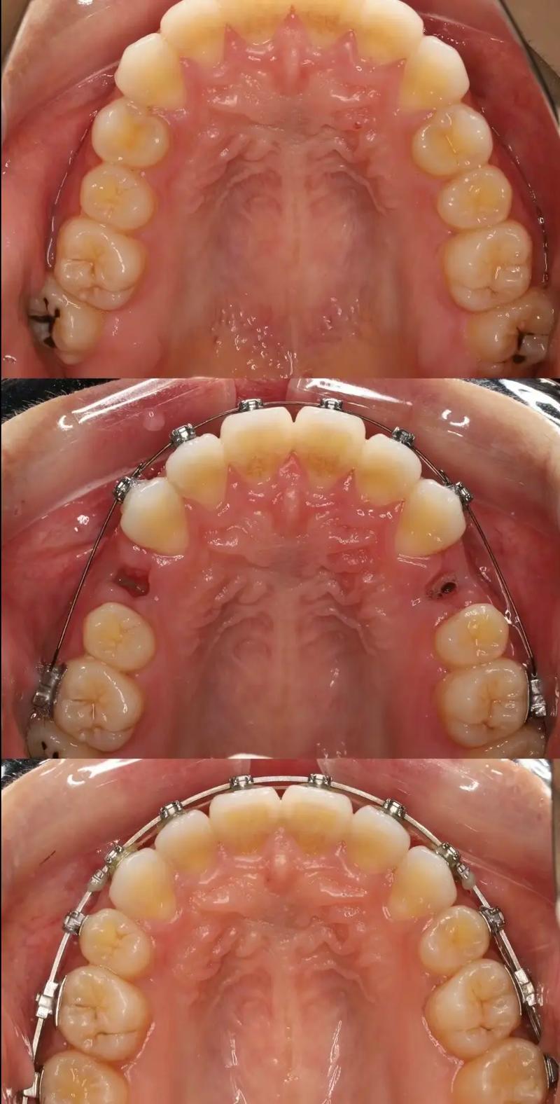
片段弓局部正畸的核心在于“局部力控制”,视频中通常会详细展示其技术原理:通过一段定制长度的弓丝(如0.016英寸镍钛圆丝或0.018×0.025英寸不锈钢方丝),在目标牙齿两侧设置“停止曲”或“Ω曲”,将矫治力集中在特定区域,矫正上颌中切牙拥挤时,片段弓可在侧切牙处弯制停止曲,防止力量传导至后牙,仅推动中切牙向远中移动或调整扭转角度,避免影响其他牙齿位置。
通常分为四大模块:

- 术前评估:展示口腔检查、模型分析、X光片解读,明确目标牙齿的移动方向、距离及邻牙关系,判断是否适合片段弓矫正(如需多颗牙齿移动或存在骨性问题时,会建议传统矫正)。
- 弓弯制:演示如何根据牙齿形态弯制片段弓,包括弧度设计、曲的高度与位置(如“泪滴曲”用于垂直移动,“T型曲”用于远中移动),强调弓丝与牙齿的贴合度是效果关键。
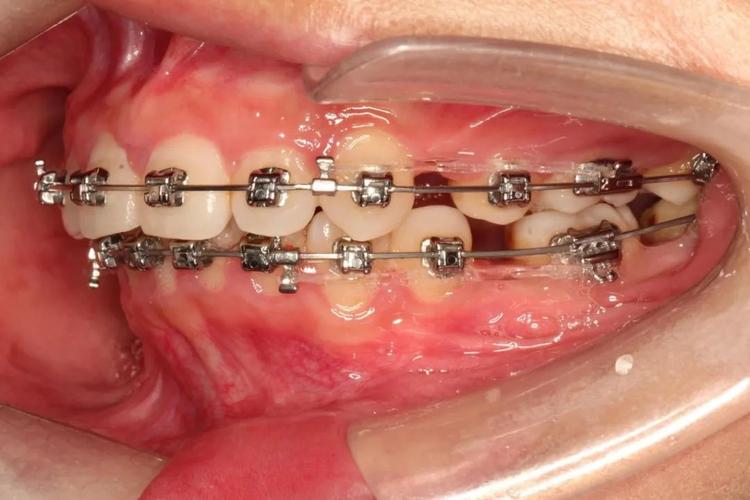
- 粘接加力:展示目标牙齿唇/舌侧托槽的精准定位(如使用间接粘接技术提高精度),以及弓丝入槽后的轻力调整(如用结扎丝固定,避免力量过大导致牙齿疼痛)。
- 复诊调整:记录治疗过程中的牙齿变化,如每4-6周调整一次弓丝(如打开停止曲释放力量、更换更粗弓丝精细移动),直至目标牙齿达到理想位置,最后通过保持器维持效果。
优势与适用人群对比
通过表格可更清晰看出片段弓局部正畸的独特价值:
| 项目 | 片段弓局部正畸 | 传统全口正畸 |
|---|---|---|
| 适用范围 | 1-4颗前牙/后牙局部问题(拥挤、扭转、间隙) | 全牙列错颌(如深覆颌、牙列拥挤) |
| 治疗周期 | 3-6个月 | 5-3年 |
| 复诊间隔 | 6-8周 | 4-6周 |
| 美观性 | 仅局部托槽,几乎不影响社交 | 全口托槽/钢丝,美观性较差 |
| 费用 | 降低40%-60%(无需全口矫治器) | 较高(涵盖全口设备与多次复诊) |
其适用人群主要包括:成人前牙轻度拥挤/扭转需快速改善美观者;青少年个别牙反颌/间隙的早期干预;因工作、学习需缩短矫正时间者;以及传统矫正后复发需局部调整的患者。
技术要点与注意事项
视频中也会强调关键操作细节:弓丝选择需结合牙齿移动阶段(镍钛丝用于初始排齐,不锈钢丝用于精细控制);托槽类型可根据需求选金属(强度高)或陶瓷(美观);力控制需遵循“轻力原则”,一般不超过30g,避免牙根吸收,注意事项包括:治疗期间避免咬硬物(防止弓丝变形);保持口腔卫生(局部托槽易存食物残渣);定期拍摄X光片监测牙根位置,确保牙齿移动在安全范围内。
相关问答FAQs
Q1:片段弓局部正畸适合哪些牙齿问题?是否适合骨性错颌?
A:片段弓主要适用于1-4颗牙齿的局部问题,如上颌/下颌前牙轻度拥挤(拥挤度<3mm)、个别牙扭转、前牙间隙、后牙个别牙近远中移动等,对于骨性错颌(如上下颌骨发育不调导致的反颌、开颌),片段弓无法解决骨骼问题,需配合正颌手术或传统正畸进行整体调整,需经医生全面检查后判断。

Q2:治疗过程中会疼痛吗?与传统正畸的疼痛感有何不同?
A:由于片段弓采用轻力控制,初期3-5天可能会出现轻微酸胀感(类似牙齿刚矫正后的不适),但疼痛程度明显轻于传统全口正畸,传统正畸因全口牙齿同时受力,疼痛范围更广、持续时间可能更长;而片段弓仅局部牙齿受力,且力量更集中,疼痛感更局限,通常1周内可自行缓解,无需特殊处理。

