拜博口腔网

  • 北大口腔成人正畸效果如何?适合哪些情况做?

    北大口腔成人正畸效果如何?适合哪些情况做?

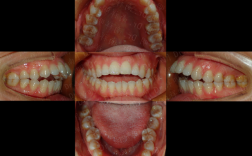
    成人正畸已成为越来越多成年人群改善口腔健康与提升面部美观的重要选择,而北京大学口腔医院作为国内口腔医疗领域的权威机构,其在成人正畸领域的技术实力、专业团队和个性化治疗方案,始终处于行业领先地位,成人正畸与青少年正畸存在显著差异,成年人的颌骨...

    2025-12-23
    52 0 0
  • 1 / 1
  • 1