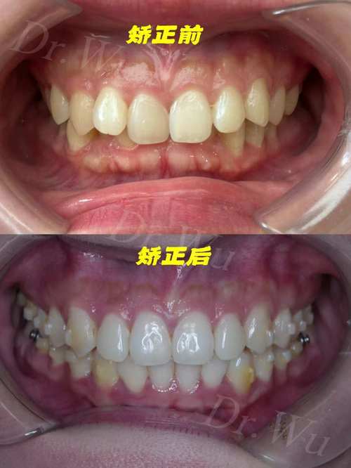
成人正畸已成为越来越多成年人群改善口腔健康与提升面部美观的重要选择,而北京大学口腔医院作为国内口腔医疗领域的权威机构,其在成人正畸领域的技术实力、专业团队和个性化治疗方案,始终处于行业领先地位,成人正畸与青少年正畸存在显著差异,成年人的颌骨发育已停止,口腔状况更为复杂,常伴随牙周问题、牙齿磨耗、修复需求等,因此对正畸医生的技术水平和综合诊疗能力要求更高,北大口腔医院成人正畸科依托多学科协作优势,结合数字化技术与个性化设计,为不同年龄段、不同口腔状况的成人患者提供精准、高效、舒适的矫治体验。
北大口腔医院成人正畸的核心优势在于其专业化的团队配置与前沿的技术应用,科室汇聚了一批具有丰富临床经验的正畸专家,其中不乏中华口腔医学会正畸专业委员会常委、委员等权威学者,多数医生拥有海外名校进修背景,熟悉国际先进的矫治理念与技术,在设备方面,医院全面引入数字化诊疗系统,包括锥形束CT(CBCT)、口内扫描仪、3D打印机、计算机辅助设计(CAD)及计算机辅助制造(CAM)等,可实现从数据采集、方案设计到矫治器制作的全流程数字化,通过口内扫描替代传统取模,不仅提升了患者的舒适度,还能在10分钟内获取高精度的牙齿模型;结合CBCT的影像数据,医生可清晰观察患者的牙根位置、骨量情况及颌骨关系,为复杂病例的方案设计提供关键依据,医院还建立了多学科联合会诊机制,正畸科与牙周科、修复科、颞下颌关节科、种植科等科室紧密协作,针对伴有牙周炎、牙齿缺失、颞下颌关节紊乱等问题的成人患者,制定“正畸-修复-功能重建”的一体化治疗方案,确保矫治效果兼具功能性与美观性。

成人正畸的方案设计需兼顾“牙齿排齐”与“面部美学”,北大口腔医院尤为注重个性化方案的定制,医生会通过全面的面部分析、口内检查、功能评估及影像学检查,结合患者的职业、年龄、美观需求及治疗预期,制定差异化的矫治策略,对于前牙深覆合、深覆盖且伴有面部凹陷的患者,可能需要通过正畸-正颌联合治疗改善咬合关系与面部轮廓;对于轻度牙列拥挤且对美观要求极高的患者,隐形矫治或舌侧矫治则成为首选,既能实现牙齿移动,又能最大限度满足美观需求,在方案沟通阶段,医生会利用3D动态模拟技术,向患者直观展示牙齿移动过程及预期效果,让患者充分参与治疗决策,提升治疗依从性。
成人正畸的矫治器选择多样,每种类型均有其适应人群与优缺点,患者可根据自身需求与医生建议选择合适的方式,传统金属托槽矫治器因其强度高、适用范围广、价格相对亲民,仍是复杂病例的首选,尤其是对于需要大幅度牙齿移动、扭转或压低的患者;陶瓷托槽矫治器托槽颜色与牙齿相近,美观性优于金属托槽,适合对美观有一定要求的患者,但需注意避免食用色素较深的食物以防染色;隐形矫治器(如隐适美、时代天使等)凭借其透明、可摘戴、舒适度高、便于清洁的优势,成为近年来成人正畸的热门选择,尤其适合轻度至中度牙列不齐、希望缩短复诊时间的患者,但需患者具备良好的自律性,确保每日佩戴时间不少于20小时;舌侧矫治器将托槽粘贴于牙齿舌侧面,完全隐形,对美观要求极致的患者具有吸引力,但技术难度高、费用昂贵,且初期对发音、口腔舒适度的影响较大,需医生具备丰富的临床经验,以下是常见矫治器类型的对比参考:
| 矫治器类型 | 优点 | 缺点 | 适应人群 | 价格区间(元) |
|---|---|---|---|---|
| 传统金属托槽 | 强度高、适用范围广、价格低 | 美观性差、易刮伤口腔 | 复杂错颌畸形、需要大幅度牙齿移动者 | 15000-30000 |
| 陶瓷托槽 | 美观性好、强度较高 | 易染色、价格高于金属托槽 | 轻中度错颌畸形、对美观有要求者 | 20000-35000 |
| 隐形矫治器 | 隐形、舒适、可摘戴、便于清洁 | 适用范围有限、需自律、价格较高 | 轻中度牙列不齐、希望美观便捷者 | 30000-60000 |
| 舌侧矫治器 | 完全隐形、美观效果最佳 | 技术难度高、费用昂贵、影响发音舒适度 | 对美观要求极高、经济条件允许者 | 50000-100000+ |
成人正畸的治疗流程通常分为以下几个阶段:初诊检查与资料收集、方案设计与沟通、矫治器佩戴与调整、保持器佩戴与维护,初诊阶段,医生会进行全面的口腔检查,包括牙齿排列、咬合关系、牙周状况、颞下颌关节功能等,并拍摄曲面断层片、头颅侧位片、CBCT及面部照片,收集完整数据;方案设计阶段,医生结合检查结果与患者需求,制定详细的矫治计划,并通过3D模拟演示治疗效果,与患者确认后进入矫治阶段;矫治器佩戴后,患者需定期复诊(通常为4-8周一次),医生会检查牙齿移动情况,调整矫治力,确保治疗进度;当牙齿排齐、咬合关系稳定后,拆除矫治器,佩戴保持器以防止复发,保持器通常需全天佩戴6-12个月,之后逐渐减少夜间佩戴时间。
成人正畸的注意事项与青少年正畸存在明显差异,口腔健康预处理是关键,成年患者常伴有牙周炎、牙龈炎、龋齿等问题,需先进行牙周治疗、补牙等基础治疗,待口腔健康状况稳定后再开始正畸,否则可能加重牙周损伤,治疗周期相对较长,成人牙槽骨改建速度较慢,平均治疗时间为1.5-3年,复杂病例可能需要更长时间,患者需有充分的心理准备,口腔卫生维护尤为重要,佩戴矫治器后食物易嵌塞,若清洁不到位易导致龋齿、牙周炎,因此需使用正畸专用牙刷、牙缝刷、冲牙器等工具,每日彻底清洁牙齿及矫治器,成人正畸需兼顾面部美学与功能平衡,医生会根据患者的面部比例、微笑曲线等设计牙齿移动方向,避免“排齐但不好看”的情况发生。

关于费用,北大口腔医院成人正畸的价格因矫治器类型、病例复杂程度、医生资历等因素差异较大,传统金属托槽矫治费用通常在1.5万-3万元,陶瓷托槽约2万-3.5万元,隐形矫治器3万-6万元,舌侧矫治器5万-10万元甚至更高,部分复杂病例可能需要配合种植支抗、微种植钉等技术,会产生额外费用,医保对成人正畸的报销范围有限,通常仅涉及部分基础治疗项目(如牙周治疗),矫治器费用需自费,患者可根据自身经济能力与需求选择合适的方案。
相关问答FAQs
Q1:成人正畸年龄有限制吗?40岁开始正畸还来得及吗?
A1:成人正畸没有严格的年龄上限,只要口腔健康状况允许,任何年龄段都可以开始正畸,40岁患者只要牙周健康、无严重骨缺损,完全可以进行正畸治疗,但需注意,成年人的牙槽骨改建能力较青少年弱,治疗周期可能稍长,且需定期进行牙周维护,确保治疗安全。
Q2:正畸过程中牙齿疼痛正常吗?如何缓解?
A2:正畸初期及每次复诊调整后3-5天,牙齿可能出现轻微疼痛或酸胀感,属于正常现象,是牙齿移动过程中的生理反应,通常疼痛程度较轻,不影响正常生活,可通过温盐水漱口、避免咀嚼过硬食物、服用非处方止痛药(如布洛芬)缓解,若疼痛持续加重或伴有牙龈肿胀、出血等异常情况,需及时复诊检查。

