拜博口腔网

  • 种牙后能做CT检查吗?术后多久可行?

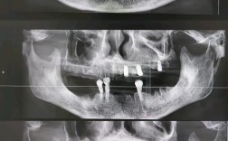
    种牙后能做CT检查吗?术后多久可行?

    种牙后能否做CT是许多患者关心的问题,其实种植牙后进行CT检查不仅是可行的,在特定情况下还是必要的,种植牙作为一种精密的口腔修复方式,其成功与否与种植体周围骨组织、软组织的健康状况密切相关,而CT检查能提供清晰的影像学依据,帮助医生全面评估...

    2025-12-21
    26 0 0
  • 1 / 1
  • 1