拜博口腔网

  • 矫正牙齿为何会引发龋齿风险?

    矫正牙齿为何会引发龋齿风险?

    矫正牙齿是改善牙齿排列、提升咬合功能与美观的常见治疗,但部分人在矫正过程中或矫正后会出现龋齿问题,这让不少人对矫正的安全性产生顾虑,矫正牙齿本身并不会直接导致龋齿,但矫正过程中口腔环境的改变、清洁难度的增加以及一些不良习惯,确实可能让龋齿风...

    2026-01-24
    30 0 0
  • 正畸后最后一颗牙窝沟龋,为何发生对口腔有何影响又该如何有效解决?

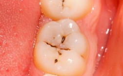
    正畸后最后一颗牙窝沟龋,为何发生对口腔有何影响又该如何有效解决?

    正畸期间最后一颗牙(通常是智齿/第三磨牙)出现窝沟龋,这是一个需要高度重视并及时处理的问题,原因和应对措施如下:为什么正畸期间最后一颗牙容易发生窝沟龋?清洁难度剧增:托槽和弓丝阻挡:正畸托槽和弓丝覆盖在牙齿表面,尤其是后牙区域,会严重阻碍...

    2025-12-09
    43 0 0
  • 1 / 1
  • 1