拜博口腔网

  • 矫正牙齿做磨牙

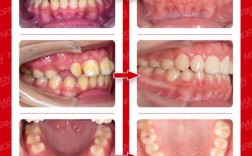
    矫正牙齿做磨牙

    很多人矫正牙齿时,医生可能会提到“磨牙”,但这里的“磨牙”并非传统意义上的打磨牙齿表面,而是正畸治疗中的“邻面去釉”——通过去除牙齿邻面少量釉质,为牙齿排列创造空间,是避免拔牙的重要手段,这种技术已在临床应用多年,尤其适合特定情况的正畸患者...

    2026-01-24
    90 0 0
  • 正畸压低前牙与磨牙远移,两种矫正方案各有何优劣?不同错颌类型该如何选择?

    正畸压低前牙与磨牙远移,两种矫正方案各有何优劣?不同错颌类型该如何选择?

    这个问题没有绝对的“哪个好”,因为压低和磨牙(通常指后牙近远中移动)是正畸治疗中两种完全不同的牙齿移动方式,适用于解决不同的问题,各有其适应症、优势和风险,选择哪种方式,完全取决于你的具体牙齿问题、治疗目标以及正畸医生的专业判断,下面我们来...

    2025-12-11
    40 0 0
  • 山东正畸领域周茂强钟摆矫治技术的核心原理是什么,适用于哪些错颌畸形病例的精准治疗?

    山东正畸领域周茂强钟摆矫治技术的核心原理是什么,适用于哪些错颌畸形病例的精准治疗?

    这通常指的是在山东省内寻求正畸(牙齿矫正)治疗,特别是对周茂强医生这位专家感兴趣,并且希望了解或采用钟摆矫正技术,下面分几个部分来详细说明:周茂强医生(山东正畸专家)身份背景:周茂强医生是山东省口腔医院(山东大学口腔医学院附属口腔医院)...

    2025-12-10
    51 0 0
  • 正畸磨牙远移要扩弓吗

    正畸磨牙远移要扩弓吗

    正畸磨牙远移是否需要扩弓,没有一个绝对的“是”或“否”的答案,它完全取决于个体具体的牙齿和骨骼情况,两者可以独立进行,也可以联合进行,有时甚至互为因果,磨牙远移:主要目的是解决前牙区的问题(如拥挤、前突),通过将后牙(磨牙)向远中(后方)...

    2025-12-06
    102 0 0
  • 1 / 1
  • 1