拜博口腔网

  • 正畸橡皮圈怎么挂最简单?新手一看就会的技巧!

    正畸橡皮圈怎么挂最简单?新手一看就会的技巧!

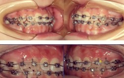
    以下是最简单挂法(垂直挂法)的详细步骤:📍核心步骤(以挂在上牙某个挂钩和下牙对应挂钩之间为例)准备:洗干净双手,从包装里取出一个合适大小的橡皮圈(医生会告诉你用哪种型号),对着镜子,张开嘴,露出需要挂橡皮圈的牙齿区域,定位挂钩:在你的上...

    2025-11-29
    24 0 0
  • 1 / 1
  • 1