以下是最简单挂法(垂直挂法) 的详细步骤:
📍 核心步骤(以挂在上牙某个挂钩和下牙对应挂钩之间为例)
-
准备:
(图片来源网络,侵删)- 洗干净双手。
- 从包装里取出一个合适大小的橡皮圈(医生会告诉你用哪种型号)。
- 对着镜子,张开嘴,露出需要挂橡皮圈的牙齿区域。
-
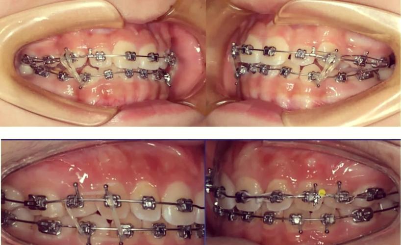
定位挂钩:
- 在你的上牙弓丝上,找到医生粘在牙齿表面(通常是门牙旁边的大牙上)的小金属钩(通常在牙齿外侧)。
- 在你的下牙弓丝上,找到医生粘在牙齿表面(通常是门牙旁边的大牙上)的另一个小金属钩(通常在牙齿外侧)。
- 关键点: 这两个挂钩是在同一颗牙(或相邻牙)的上下牙弓丝上,并且位置大致垂直对齐的,这是最简单挂法的核心。
-
拿起橡皮圈:
- 用拇指和食指(或中指)捏住橡皮圈的中间部分,把它稍微拉开一点,形成一个“8”字形或者“O”字形拉长状态。不要拉得太长,否则容易断裂。
-
对准挂钩:
- 将橡皮圈轻轻地、小心地靠近你的嘴巴。
- 瞄准上牙的挂钩,用橡皮圈的一端(或者中间部分)套住它。
- 同时瞄准下牙的挂钩,用橡皮圈的另一端(或者另一边)套住它。
- 核心技巧: 想象橡皮圈是一个小环,你需要把它同时“套”在上下两个垂直对齐的挂钩上,对准是关键!
-
松手:
(图片来源网络,侵删)- 当橡皮圈两端都准确无误地套在了上下对应的挂钩上后,轻轻松开手指。
- 橡皮圈的弹性会自动把它拉紧,固定在两个挂钩之间。
- 你应该能看到橡皮圈在上下挂钩之间形成一个垂直的连线。
📍 为什么这是最简单的?
- 目标明确: 只需要找到上下牙弓丝上垂直对齐的两个挂钩即可,不需要考虑左右侧的复杂关系。
- 操作直接: 套上”两个挂钩,松手即可。
- 容错率相对较高: 因为是垂直方向,稍微没对准中心一点,橡皮圈弹性也能把它拉回去,而斜挂法如果没对准,很容易滑脱。
📍 重要提示和注意事项
- 遵从医嘱: 最重要的一点! 医生会根据你的牙齿情况(如II类、III类错颌、开颌等)精确地告诉你需要挂哪两颗牙之间的橡皮圈(右上6挂钩 - 左下6挂钩,或者左上1挂钩 - 下颌某个挂钩等)。绝对不要自己随意更换位置或挂法! 错误的挂法会严重影响矫正效果甚至造成伤害,上面的“垂直挂法”描述的是医生指定了上下牙垂直挂钩之间挂的情况。
- 橡皮圈大小: 使用医生指定的正确尺寸,太小挂不上或容易断;太大可能拉力不够或导致挂钩变形、牙齿疼痛。
- 对准是关键: 即使是最简单的挂法,也要尽量对准挂钩,如果挂歪了,橡皮圈容易滑脱或移位。
- 轻柔操作: 橡皮圈有弹性,但用力拉扯或硬塞容易断裂,动作要轻柔。
- 避免触碰牙齿: 尽量让橡皮圈只接触挂钩,不要碰到托槽或牙齿表面,以免引起不适或增加摩擦力。
- 如果挂不上:
- 检查挂钩位置是否清晰可见。
- 橡皮圈是否太小?
- 是否对准了正确的挂钩?
- 尝试稍微调整角度再试一次。
- 如果多次尝试(比如2-3次)都挂不上,不要硬来! 暂时停一下,看看镜子或者让家人帮忙看看,或者直接联系你的正畸医生或护士寻求帮助,强行操作可能导致橡皮圈飞出或弄伤自己。
- 更换频率: 医生通常会要求每天更换新的橡皮圈(通常是24小时),即使旧的没断也要换,因为橡皮圈拉力会随时间减弱,保持口腔清洁,每次饭后都要取下橡皮圈刷牙后再戴上。
- 备用橡皮圈: 随身携带医生给的备用橡皮圈,以防断裂或丢失。
- 初期困难: 刚开始挂可能会觉得有点难手,多练习几次就会熟练,不要灰心!
📍 总结最简单挂法的核心
- 找对位置: 找到医生指定的上下牙弓丝上垂直对齐的两个挂钩。
- 捏住橡皮圈: 轻轻捏住中间,稍微拉开。
- 套上挂钩: 同时套住上下两个挂钩。
- 松手: 让橡皮圈弹性自动拉紧固定。
简单的挂法背后是医生精确的诊断和方案设计,务必严格按照医生的指示操作!如果遇到困难,及时寻求专业帮助,坚持佩戴,保持耐心,你的笑容会越来越完美!😊

