拜博口腔网

  • 牙齿矫正 对比图

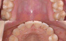
    牙齿矫正 对比图

    牙齿矫正不仅是改善牙齿排列的美学过程,更是提升口腔健康与功能的重要手段,在矫正决策中,“对比图”成为连接患者期望与实际效果的关键桥梁——它通过直观呈现矫正前后的变化,帮助患者理解矫正价值、评估方案可行性,也为医患沟通提供了具象化的参考,本文...

    2026-01-23
    21 0 0
  • 牙齿矫正前后效果图效果如何?变化大不大?

    牙齿矫正前后效果图效果如何?变化大不大?

    牙齿矫正前后效果图是正畸治疗中连接诊断、方案设计与最终效果的关键桥梁,它不仅能让患者直观预见矫正后的牙齿排列、面部轮廓变化,还能帮助医生精准制定治疗计划、调整方案细节,是现代数字化正畸不可或缺的工具,从传统手绘预测到如今的3D动态模拟,效果...

    2026-01-19
    30 0 0
  • 牙齿前突矫正图片对比,前后变化到底有多明显?

    牙齿前突矫正图片对比,前后变化到底有多明显?

    牙齿前突是常见的牙齿畸形问题,不仅影响面部美观,还可能导致咬合功能异常、发音不清等问题,甚至对心理健康造成困扰,近年来,随着正畸技术的进步,牙齿前突矫正的效果越来越显著,而“牙齿前突矫正图片对比”成为许多患者了解矫正效果、选择矫正方式的重要...

    2026-01-17
    48 0 0
  • 牙齿排列不齐正畸图片

    牙齿排列不齐正畸图片

    牙齿排列不齐是口腔科常见的错颌畸形问题,表现为牙齿拥挤、稀疏、龅牙、地包天等多种形态,不仅影响面部美观,还可能引发咀嚼功能下降、清洁困难、牙周疾病等问题,正畸治疗通过施加外力调整牙齿位置,是解决此类问题的有效手段,而正畸图片则贯穿治疗全程,...

    2025-12-21
    42 0 0
  • 杨颖矫正牙齿前照片曝光,矫正前牙齿真实样貌究竟如何变化?

    杨颖矫正牙齿前照片曝光,矫正前牙齿真实样貌究竟如何变化?

    关于杨颖(Angelababy)矫正牙齿前的照片,需要特别注意以下几点:隐私与版权问题公开照片有限:Angelababy作为公众人物,早期生活照(包括牙齿矫正前的状态)通常仅存在于其出道初期的公开影像资料中(如早期综艺、影视剧截图或杂志图)...

    2025-11-20
    115 0 0
  • 1 / 1
  • 1