牙齿排列不齐是口腔科常见的错颌畸形问题,表现为牙齿拥挤、稀疏、龅牙、地包天等多种形态,不仅影响面部美观,还可能引发咀嚼功能下降、清洁困难、牙周疾病等问题,正畸治疗通过施加外力调整牙齿位置,是解决此类问题的有效手段,而正畸图片则贯穿治疗全程,成为医生诊断、方案设计和患者沟通的重要工具。
牙齿排列不齐的类型多样,每种类型在正畸图片中都有典型特征,比如拥挤不齐,口内正面照可见牙齿交错重叠,像“歪歪扭扭的篱笆”;牙列稀疏则表现为牙齿间缝隙过大,X光片可能显示牙槽骨量充足;深覆合时,侧面照可见上牙过度覆盖下牙,甚至下牙咬到上牙牙龈;反颌(俗称“地包天”)的侧脸照呈现下巴前突、面中凹陷的“月牙脸”;开颌则上下牙无法咬合,侧面看牙齿与嘴唇间有空隙,这些直观的图片让患者清晰了解自身问题,也为医生提供了初步诊断依据。

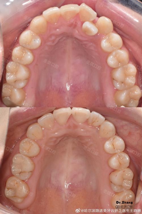
正畸图片的类型丰富,不同阶段、不同目的对应不同的拍摄内容,以下是常见正畸图片类型及作用说明:
| 图片类型 | 拍摄目的 | 示例说明 |
|---|---|---|
| 口内照(正面、侧面、咬合面) | 记录牙齿排列、牙龈状态、咬合关系 | 正面照显示中线偏移、牙弓形态;咬合面照观察后牙咬合接触点是否均匀 |
| X光片(全景片、头颅侧位片) | 评估牙根发育、牙槽骨状况、骨骼畸形类型 | 全景片可见埋伏牙、多生牙;头颅侧位片测量上下颌骨位置关系,判断骨性错颌 |
| 数字化模型(3D扫描) | 精确测量牙齿大小、牙弓长度,模拟牙齿移动路径 | 通过3D模型模拟拔牙后空间变化,设计关闭间隙方案 |
| 治疗过程对比照 | 跟踪牙齿移动速度,评估矫正效果 | 每月复诊拍摄相同角度口内照,对比拥挤解除、缝隙关闭等进展 |
| 面部轮廓照(正面、侧面) | 分析面部对称性、微笑曲线,评估正畸对软组织的影响 | 治疗前后对比可见“地包天”患者下巴后缩改善、龅牙患者嘴唇突度减小 |
正畸图片在治疗全程中发挥关键作用,初诊阶段,医生通过收集口内照、X光片等资料,结合患者主诉,明确错颌畸形的病因(如遗传、不良习惯、替牙障碍等),头颅侧位片若显示下颌骨发育过度,可判断为骨性反颌,需联合正畸-正颌治疗;若仅为牙齿倾斜导致的拥挤,则可能通过不拔牙矫正解决,方案设计时,数字化模型和模拟图片能让患者直观看到“矫正后的样子”,比如拔牙矫治的方案,通过图片展示拔牙后牙齿如何移动、缝隙如何关闭,减少患者对“拔牙恐惧”的抵触,治疗过程中,每月对比照帮助医生及时调整:若牙齿移动缓慢,可能需调整加力大小;若牙龈出现红肿,则需加强口腔卫生指导,治疗结束后,保持前后的对比照不仅是效果的证明,也是长期随访的重要参考,提醒患者保持器的重要性。
正畸效果图片的价值不仅在于“变美”,更在于功能与健康的恢复,治疗前后的对比中,患者可看到牙齿从拥挤到整齐、咬合从紊乱到稳定的转变,同时咀嚼效率提升、食物嵌塞减少,牙周健康状况也得到改善,对于青少年患者,早期干预的图片对比还能显示颌骨发育的改善,避免更严重的骨骼畸形问题,值得注意的是,正畸图片的拍摄需标准化——固定光线、角度、距离,确保不同时期图片具有可比性,患者拍摄前需清洁口腔,避免食物残渣影响判断,自然放松状态下拍摄,避免刻意闭唇或微笑导致失真。
相关问答FAQs
Q1:正畸过程中需要拍多少次口腔照片?每次拍几张?
A:正畸治疗全程通常需拍摄10-20次口腔照片,初诊时拍摄全面口内照(正面、左右侧、上下咬合面)约6-8张,建立初始档案;每次复诊(1-2个月一次)拍摄相同角度对比照4-6张,跟踪牙齿移动;治疗结束前拍摄终末照(6-8张),与初诊照对比效果;保持期每3-6个月拍摄1次简化口内照(2-4张),监测稳定性,具体频率需根据矫正难度调整,复杂病例可能增加拍摄次数。

Q2:为什么有些正畸效果图片看起来“完美”,但实际咀嚼仍有不适?
A:正畸图片多为静态记录,主要展示牙齿排列和面部外观的改善,而实际咀嚼功能涉及动态咬合、肌肉协调、颞下颌关节健康等多方面因素,牙齿虽整齐,但咬合接触点未调整到最佳位置,可能导致咀嚼无力;或矫正过程中肌肉适应不良,引发酸胀感,医生需结合临床检查(如咬合纸测试、关节触诊)和图片综合评估,必要时进行精细调颌,确保功能与美观的统一。

