拜博口腔网

  • 矫正拔牙具体要拔哪些牙齿?

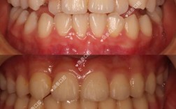
    矫正拔牙具体要拔哪些牙齿?

    矫正牙齿过程中,拔牙是常见的治疗手段之一,但并非所有矫正都需要拔牙,是否拔牙、拔哪些牙需根据患者的牙齿拥挤程度、咬合关系、面部软组织状态等多因素综合判断,拔牙的核心目的是通过创造必要的间隙,解决牙齿排列问题、改善咬合功能、提升面部美观,并确...

    2026-01-18
    18 0 0
  • 矫正拔牙到底拔哪颗?正畸最常拔的牙齿有哪些?

    矫正拔牙到底拔哪颗?正畸最常拔的牙齿有哪些?

    矫正牙齿过程中,拔牙是部分患者需要面对的步骤,但并非所有矫正都需要拔牙,拔牙的核心目的是通过减少牙齿数量,为剩余牙齿的排列和咬合调整创造空间,最终实现牙齿整齐、咬合稳定、面部协调的目标,矫正时究竟会拔哪些牙齿?这需要根据患者的牙齿拥挤程度、...

    2026-01-17
    67 0 0
  • 正畸中第一前磨牙为何常被优先考虑拔除?需权衡哪些因素?

    正畸中第一前磨牙为何常被优先考虑拔除?需权衡哪些因素?

    第一前磨牙是口腔中位于尖牙与第一磨牙之间的牙齿,上下颌各一对,是正畸治疗中常涉及的关键牙齿之一,其解剖位置特殊,牙冠形态呈“立方形”,颊舌尖高度相近,牙根多为单根,约60%有分叉,这种结构特点使其在正畸移动中需精细控制,避免牙根吸收或邻牙损...

    2026-01-02
    53 0 0
  • 正畸牙是第几前磨牙

    正畸牙是第几前磨牙

    在口腔正畸领域,牙齿的位置、形态及功能直接影响矫正方案的设计与效果,而前磨牙作为连接前牙与后牙的“过渡区”,在矫正中扮演着至关重要的角色,正畸牙是第几前磨牙”这一问题,需从牙齿解剖定位、正畸临床需求及常见处理逻辑综合解答,本文将详细展开说明...

    2025-12-27
    130 0 0
  • 正畸拔牙一般拔哪些牙

    正畸拔牙一般拔哪些牙

    正畸拔牙是牙齿矫正中常见的治疗手段,但并非所有矫正都需要拔牙,其核心目的是通过减少牙齿数量,为剩余牙齿的排列和移动创造空间,解决牙列拥挤、前突等问题,最终实现咬合功能与面部美观的平衡,临床上,正畸拔牙并非随意选择,而是需要结合患者的口腔实际...

    2025-12-24
    92 0 0
  • 正畸矫正需拔哪几颗牙齿?

    正畸矫正需拔哪几颗牙齿?

    正畸治疗中是否需要拔牙以及拔哪几颗牙,没有统一的标准答案,这是一个高度个体化的决定,完全取决于你的具体牙齿、颌骨、面部特征和咬合问题,我们可以总结一些最常见的拔牙模式和背后的原则:📍最常见的拔牙模式(适用于绝大多数需要拔牙的病例)拔除四颗...

    2025-12-09
    57 0 0
  • 2025年矫正牙齿,一般要拔哪几颗?

    2025年矫正牙齿,一般要拔哪几颗?

    矫正牙齿是否需要拔牙以及拔哪几颗,没有统一的标准答案,这完全取决于你的牙齿具体情况、骨骼状况、咬合关系以及你的治疗目标,拔牙是正畸治疗中一种常见的手段,目的是为了创造空间,解决牙齿拥挤、前突等问题,最终达到稳定、健康、美观的效果,以下是在正...

    2025-11-14
    57 0 0
  • 1 / 1
  • 1