“矫正牙齿 支架”这个说法在正畸领域通常指的是牙齿矫正装置中的托槽(Brackets),它是固定矫正器(俗称“钢牙套”、“牙套”)的核心组成部分。

以下是关于牙齿矫正中“支架”(托槽)的详细解释:
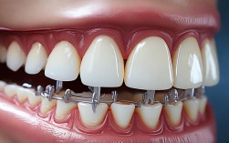
🦷 1. 什么是托槽(支架)?
- 定义: 托槽是一种小型的、由金属(不锈钢)、陶瓷或塑料制成的装置,通过特殊的粘合剂牢固地粘贴在牙齿的唇面(外侧)或舌面(内侧)。
- 功能: 它的作用是固定矫正弓丝(Wire),弓丝通过托槽上的槽沟或翼,施加持续、轻柔的力,引导牙齿在牙槽骨中移动到正确的位置。
- 形象比喻: 可以把托槽想象成轨道上的“枕木”或“挂钩”,弓丝就是被固定在这些“枕木”上运行的“轨道”,通过调整弓丝的形状和力量,来牵引火车(牙齿)驶向目的地(理想位置)。
🎯 2. 托槽(支架)的主要类型
根据材质、位置和设计,托槽有多种类型:
- 按材质分:
- 金属托槽: 最常见,由不锈钢制成,强度高、耐用、价格相对较低,但金属颜色比较明显,美观性稍差。
- 陶瓷托槽: 由透明或牙色的陶瓷材料制成,美观性较好,不易被察觉,但陶瓷材质相对较脆,在咬合力大的位置(如后牙)使用需谨慎,价格通常高于金属托槽。
- 塑料托槽: 早期用于美观矫正,但强度和耐磨性较差,容易染色或变形,现在较少单独使用,现代隐形矫正器(如隐适美、时代天使)本质上是全透明的、可摘戴的“塑料牙套”,但它们不属于传统意义上的“支架/托槽”。
- 按位置分:
- 唇侧托槽: 粘贴在牙齿的外侧(靠近嘴唇/脸颊的一侧),这是最传统的固定矫正方式。
- 舌侧托槽: 粘贴在牙齿的内侧(靠近舌头的一侧),完全隐形,美观性极佳,但技术难度高、操作复杂、费用昂贵,初期适应期可能较长,清洁也相对困难。
- 按设计分:
- 传统托槽: 每个托槽上都有小结扎翼(或小孔),需要用细钢丝(结扎丝)或橡皮圈(结扎圈)将弓丝固定在托槽的槽沟里。
- 自锁托槽: 在托槽上设计了精巧的闭锁装置(盖子或滑门),可以直接将弓丝锁在槽沟内,不需要结扎丝或结扎圈,这种设计有显著优点:
- 舒适度更高: 弓丝在槽沟内滑动更自由,摩擦力显著降低,牙齿移动更轻柔、更高效,通常能缩短矫正时间。
- 口腔卫生更容易维护: 没有结扎丝或结扎圈缠绕食物残渣,清洁更方便。
- 复诊间隔可能延长: 由于摩擦力低,牙齿移动效率高,医生可能安排更长的复诊间隔。
- 价格通常更高: 自锁托槽本身成本较高。
🧼 3. 托槽(支架)在矫正过程中的作用和注意事项
- 核心作用: 作为弓丝的固定点,传递矫正力,实现牙齿的精确移动(排齐、内收、压低、伸长、旋转等)。
- 清洁至关重要: 托槽周围容易积聚食物残渣和菌斑,如果不认真清洁,极易导致蛀牙、牙龈炎、牙周炎,甚至影响矫正效果,必须掌握正确的刷牙方法(巴氏刷牙法),配合牙线、牙缝刷、冲牙器等工具,每天彻底清洁。
- 饮食注意: 避免吃太硬、太粘的食物(如坚果、硬糖、口香糖、年糕、牛肉干等),防止托槽脱落或弓丝变形,托槽脱落需要尽快联系医生复诊粘回,否则会影响矫正进程。
- 复诊调整: 定期(通常4-8周一次)复诊,医生会检查牙齿移动情况,更换或调整弓丝,更换橡皮圈(如果需要),确保矫正按计划进行。
- 可能的不适感: 初次粘托槽、每次复诊加力后几天,牙齿可能会感到酸痛、无力,这是正常现象,通常几天后会缓解,可以吃软食,遵医嘱服用止痛药。
🔄 4. “支架”是否包括其他东西?
虽然“支架”通常指托槽,但在广义的矫正装置中,也可能指代:
- 带环(Molar Bands): 对于磨牙(大牙),有时会用金属环(带环)代替单个托槽套在牙齿上,上面焊接有托槽或颊管(用于放置弓丝末端),带环比单个托槽更牢固,适用于需要更强固力的牙齿。
- 腭杆/舌弓: 连接上下颌左右两侧磨牙的金属杆,用于打开咬合、稳定牙弓、纠正颌骨关系等,它们可以看作是连接多个“支架”(磨牙上的带环或颊管)的辅助装置。
- 保持器: 这是矫正结束后极其重要的装置! 虽然不是矫正过程中的“支架”,但它的作用是保持牙齿矫正后的稳定位置,防止复发,保持器有活动式(如透明压膜保持器、Hawley保持器)和固定式(粘在后面牙齿上的丝)两种。坚持佩戴保持器是矫正成功的关键一步。
当提到“矫正牙齿 支架”时,最核心、最常见的就是指固定矫正器上的托槽,它是牙齿移动的“锚点”和“轨道”。
- 选择哪种托槽(金属、陶瓷、自锁、舌侧) 取决于你的美观需求、预算、牙齿状况、医生建议等因素。
- 佩戴托槽期间,口腔卫生和饮食管理至关重要。
- 矫正结束后,务必遵医嘱认真佩戴保持器。
建议: 如果你正在考虑或正在进行牙齿矫正,最重要的是咨询专业的正畸医生,医生会根据你的具体牙齿问题、骨骼状况、面部美学和你的个人需求,制定最适合你的矫正方案,并详细解释将使用的“支架”(托槽)类型以及整个矫正过程。💪🏻
