年轻患者优先选种植牙:不损伤邻牙、咬合功能接近真牙、使用寿命长,若经济有限且缺牙少,可考虑烤瓷桥修复,但需磨改健康邻牙,具体方案需结合骨量及全身状况
核心概念区分
种植牙的本质
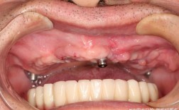
种植牙是通过外科手术将纯钛金属制成的人工牙根(种植体)植入颌骨内,待3-6个月形成稳定的「骨结合」后,再安装基台与全瓷/树脂牙冠,其核心在于模拟天然牙的生理结构——咬合力通过种植体直接传导至牙槽骨,无需磨损邻牙。

传统镶牙的类型与特点
| 类型 | 操作方式 | 典型特征 |
|---|---|---|
| 固定桥 | 磨削缺牙两侧健康牙作为支撑 | 需牺牲健康牙体组织 |
| 活动义齿 | 可摘戴的塑料基托+树脂牙 | 异物感强,咀嚼效率较低 |
| 隐形义齿 | 弹性树脂卡环固位 | 适合临时过渡或多颗缺失 |
关键维度对比分析
✅ 功能恢复度
| 指标 | 种植牙 | 固定桥 | 活动义齿 |
|---|---|---|---|
| 咬合效率 | ≈95%(接近真牙) | 70%-80% | 40%-60% |
| 发音清晰度 | 无干扰 | 轻微气流音 | 明显漏风声 |
| 咀嚼舒适度 | ✔️ 自然感知力反馈 | ⚠️ 依赖基牙敏感度 | ❌ 压迫黏膜易疼痛 |
🔧 对邻牙的影响
种植牙的最大优势在于完全独立于邻牙,避免了传统固定桥必须磨除健康牙体组织的弊端,临床数据显示,约30%的固定桥在使用5年后会出现继发龋坏或牙髓炎,而种植牙不存在此类风险。
⏳ 使用寿命与维护
| 项目 | 种植牙 | 固定桥 | 活动义齿 |
|---|---|---|---|
| 理论寿命 | 10年以上(维护得当可达终身) | 8-12年(受基牙健康状况限制) | 3-5年需更换 |
| 日常护理 | 常规刷牙+冲牙器清洁 | 特殊牙线清理桥体下方 | 每日取下清洗消毒 |
| 并发症风险 | 感染/松动(<5%) | 基牙负担过重导致脱落 | 牙龈萎缩加速 |
💰 费用构成
以单颗下前牙为例(一线城市三甲医院收费标准): | 项目 | 种植牙 | 烤瓷固定桥 | 活动义齿 | |--------------------|--------------------------------|----------------------------|--------------------------| | 材料费 | 8000-20000元(含进口种植系统) | 3000-8000元(依材质而定) | 1000-3000元 | | 治疗周期 | 3-6个月(含愈合期) | 2周左右 | 即时佩戴 | | 后续维护 | 每年洁牙1次 | 同正常牙齿 | 每半年调整卡环松紧度 |
年轻群体的特殊考量
🌟 优先推荐种植牙的情形
- 单颗牙缺失且牙槽骨条件良好:此时种植体能获得最佳初期稳定性,成功率超过98%;
- 追求高生活质量:运动员、主持人等对发音和咀嚼效率要求极高的职业;
- 拒绝损伤邻牙:尤其当缺失牙位于门牙区,磨除健康切牙会严重影响美观;
- 长期规划明确:愿意承担较高初始费用换取持久解决方案。
⚠️ 可暂缓种植的情况
- 严重全身性疾病未控制:如糖尿病血糖波动大、血液病凝血障碍;
- 重度吸烟者(>20支/日):尼古丁会显著延缓骨整合进程;
- 夜磨牙症活跃期:需先制作咬合垫保护种植体;
- 预算极度有限:可选择高品质活动义齿作为过渡方案。
决策树模型参考
开始 → 是否为单颗牙缺失?
↓是
→ 牙槽骨高度≥8mm? → 是 → 首选种植牙
↓否
→ 能否接受拔牙后等待3个月? → 是 → 仍可尝试骨增量术+种植
↓否
→ 转向即刻负重种植或改良式固定桥
开始 → 多颗连续缺失?
↓是
→ 剩余牙周状况良好? → 是 → 分段种植+桥接
↓否
→ 优先考虑覆盖义齿或精密附着体
常见误区澄清
❌ 误解1:"种植牙任何人都能做"
真相:需满足最小骨量要求(近远中距≥5mm,颊舌向宽度≥4mm),骨质疏松患者需提前用药改善骨密度。
❌ 误解2:"年轻人种牙容易失败"
事实:多项研究表明,35岁以下患者只要严格遵循术后医嘱,成功率反而高于老年组(因代谢旺盛利于骨愈合)。
❌ 误解3:"种植牙不需要保养"
警示:每天至少使用冲牙器清洁种植体周围,否则可能发生种植体周围炎,这是导致种植失败的首要原因。
相关问答FAQs
Q1: 种植牙整个过程很痛苦吗?
A: 现代微创技术配合局部麻醉可实现术中无痛感,术后可能会有轻度肿胀和淤青(持续3-5天),按医嘱服用止痛药即可缓解,相比传统拔牙创伤更小,多数患者反馈疼痛程度低于预期。
Q2: 如果现在不做种植,以后还能补做吗?
A: 理论上可以,但拖延会导致两大风险:① 邻牙倾斜移位占据种植空间;② 牙槽骨持续吸收变薄,建议尽早咨询正畸医生评估间隙保持方案,必要时先佩戴间隙维持器。
