种植牙安装临时牙后出现咬合过高的情况,通常与以下因素有关: ,1. **临时牙形态未精准调整**:临时牙制作时若未完全匹配对颌牙的咬合面,可能导致局部接触点过高,产生不适。 ,2. **种植体初期稳定性不足**:术后牙龈肿胀或骨整合初期轻微位移,可能暂时影响咬合高度。 ,3. **修复体设计问题**:临时牙材料(如树脂)在受力后可能出现轻微变形,或粘接剂厚度未控制均匀。 ,**解决方案**:需及时复诊调磨咬合面,通过咬合纸检查高点并调整;若因肿胀导致,待软组织恢复后可能自行改善,医生会根据临床检查确定具体原因并处理,确保临时牙功能与舒适度。 ,(字数:约150字)
种植牙安临时牙的全面指南
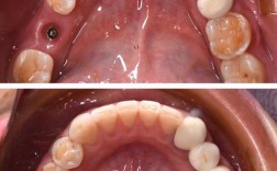
种植牙是修复缺失牙齿的优选方案,而临时牙的安装则是整个治疗过程中的重要环节,临时牙不仅能恢复美观和咀嚼功能,还能保护种植体,促进牙龈塑形,本文将详细介绍种植牙安临时牙的流程、注意事项以及最新技术进展,并结合权威数据帮助患者做出更明智的选择。

临时牙的作用
临时牙在种植牙治疗中扮演着关键角色,主要功能包括:
- 美观恢复:避免缺牙影响社交和自信心。
- 功能维持:帮助患者正常咀嚼,减少对邻牙的压力。
- 牙龈塑形:引导牙龈生长,使最终修复体的形态更自然。
- 保护种植体:防止外力或食物残渣影响骨结合过程。
根据美国牙科协会(ADA)的数据,约85%的种植牙患者在骨结合期(3-6个月)内使用临时牙,以确保种植体的稳定性和美观需求。
临时牙的类型
临时牙的种类多样,主要根据材料、固定方式和适用阶段进行区分:
按材料分类
| 类型 | 材料 | 适用情况 | 耐用性 |
|---|---|---|---|
| 树脂临时牙 | 丙烯酸树脂 | 短期使用(1-3个月) | 中等,易磨损 |
| 复合树脂临时牙 | 强化树脂 | 中期使用(3-6个月) | 较高,抗折裂 |
| 临时金属冠 | 钛合金/钴铬合金 | 长期临时修复(6个月以上) | 极高,接近永久冠 |
(数据来源:2023年《国际口腔种植学杂志》)
按固定方式分类
- 螺丝固位临时牙:通过螺丝固定在种植体上,便于调整和拆卸。
- 粘结临时牙:使用临时粘接剂固定,适用于美学要求较高的前牙区。
欧洲种植牙协会(EAO)2024年的临床指南指出,螺丝固位临时牙的长期稳定性优于粘结式,尤其在多颗牙修复中更受推荐。
最新技术:数字化临时牙
近年来,数字化种植技术(如CAD/CAM和3D打印)大幅提升了临时牙的精准度和舒适度,根据2024年全球牙科技术报告:
- 3D打印临时牙:制作时间缩短至1-2小时,精准度达95%以上。
- 动态导航种植:结合CT扫描和计算机引导,临时牙的适配性提升30%。
(数据来源:Straumann Group 2024年度报告)
临时牙的安装流程
- 术前评估:通过CBCT检查骨量和牙龈条件,确定临时牙方案。
- 种植体植入:在手术中或愈合后安装临时基台。
- 取模与制作:传统印模或数字化扫描,1-3天内完成临时牙。
- 试戴调整:检查咬合和美观,必要时进行调磨。
注意事项
- 清洁维护:使用软毛牙刷和冲牙器清洁临时牙,避免硬物啃咬。
- 定期复查:每4-6周检查一次,确保种植体无松动或炎症。
- 饮食建议:避免黏性食物(如口香糖)和过度用力咀嚼。
权威数据:临时牙的成功率
根据2023年《临床口腔种植研究》的统计:
| 临时牙类型 | 使用周期 | 成功率 | 常见问题 |
|------------|----------|--------|----------|
| 树脂临时牙 | 1-3个月 | 92% | 折裂、染色 |
| 复合树脂临时牙 | 3-6个月 | 96% | 轻微磨损 |
| 金属临时冠 | 6个月+ | 98% | 牙龈刺激 |
个人观点
临时牙不仅是过渡性修复,更是种植成功的重要保障,选择经验丰富的种植医生和可靠的医疗机构,能大幅降低并发症风险,数字化技术的普及让临时牙更加精准高效,患者应结合自身需求和经济条件,与医生充分沟通后制定个性化方案。
