正畸治疗中的压低技术是牙齿三维移动的重要手段,其通过施加持续、轻柔的生物力,引导牙齿向牙槽嵴方向垂直移动,从而调整牙齿垂直向位置,这一技术不仅能在单纯正畸中解决深覆合、露龈笑等问题,更在种植修复前发挥着关键作用,为种植体创造理想的骨条件和空间环境,种植修复的成功依赖于充足的骨量、正确的种植体三维位置及良好的咬合关系,而正畸压低恰好能通过调整牙齿位置,解决种植前常见的骨量不足、咬合干扰等难题,实现正畸与种植的协同优化。
正畸压低的技术原理基于牙齿移动的生物力学机制,当牙齿受到持续垂直向压力时,压力侧牙槽骨发生吸收,张力侧则出现新骨沉积,这种改建过程使牙齿整体压低,临床上常用的压低方法包括片段弓技术、微种植体支抗压低、多用途弓压低及舌侧矫治器压低等,片段弓技术通过弯制特定的弓丝形态,利用后牙支抗压低前牙,适合个别前牙压低;微种植体支抗则通过在牙槽骨内植入微型种植钉,提供绝对支抗,可实现多颗牙或全牙列的精准压低,尤其适用于对颌牙伸长导致的种植间隙不足的情况,不同方法的选择需结合患者错颌类型、牙槽骨条件及治疗目标综合评估。

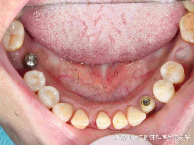
在种植修复前,正畸压低的必要性主要体现在三个方面,其一,解决骨量不足问题,缺牙后对颌牙会因失去咬合接触而伸长,导致种植区域骨高度不足,直接种植可能造成种植体穿出牙槽嵴顶或骨壁,影响稳定性,通过压低伸长的对颌牙,可恢复牙槽骨高度,避免复杂的骨增量手术,其二,优化种植体位置,种植体的理想位置需满足唇舌向、近远中向及垂直向的精准定位,尤其前牙区美学要求高,若天然牙位置异常(如低位牙、深覆合),压低调整可确保种植体与邻牙的牙龈弧度、牙长轴协调,提升修复后的美学效果,其三,改善咬合关系,压低可纠正异常的咬合接触点,避免种植体承受过大侧向力,降低种植体周围炎和机械并发症风险。
正畸与种植的联合治疗需遵循系统性原则,治疗前需通过CBCT、口腔模型及咬合分析明确压低目标:测量缺牙区骨高度、评估伸长牙牙根位置、分析牙龈生物型,压低阶段通常选择微种植体支抗,因其创伤小、稳定性高,可精准控制压低力量(约50-100g),同时配合橡皮链或镍钛螺旋施加持续力,压低过程中需定期拍摄根尖片监测牙根移动及牙槽骨改建,避免牙根吸收或支抗丢失,压低完成后需保持3-6个月,待牙槽骨稳定后再进行种植手术,种植体植入时,需参考压后牙齿的位置,确保种植体肩台位于牙龈缘下1-2mm,形成自然的穿龈形态。
常见正畸压低技术及适用情况如下表所示:
| 技术名称 | 原理 | 适用情况 | 优点 | 缺点 |
|---|---|---|---|---|
| 微种植体支抗压低 | 微种植钉提供绝对支抗,通过弓丝传递压低力 | 多颗牙压低、对颌牙伸长、成人压低 | 精准控制、支抗稳定、适用范围广 | 需手术植入微种植钉、存在感染风险 |
| 片段弓技术 | 弯制片段弓丝,利用后牙支抗压低前牙 | 个别前牙低位、深覆合 | 操作简单、费用较低 | 支抗依赖后牙,稳定性有限 |
| 多用途弓压低 | 利用弓丝的弹性及后牙支抗整体压低 | 轻中度深覆合、全牙列垂直向调整 | 力量柔和、牙根移动平稳 | 治疗周期较长、对弓丝弯制要求高 |
需要注意的是,正畸压低治疗中需关注风险控制:力量过大可能导致牙根吸收或牙髓坏死,因此需严格控制力值并定期监测;对于牙槽骨条件较差的患者(如骨质疏松、牙周炎),需先进行牙周治疗,待骨密度改善后再开始压低;联合治疗周期较长,需加强患者沟通,确保治疗依从性。

相关问答FAQs:
Q1:正畸压低会影响牙齿的使用寿命吗?
A1:规范的正畸压低治疗通常不会影响牙齿寿命,治疗过程中医生会控制力值,避免牙根吸收和牙髓损伤;压低后牙齿咬合关系改善,可减少异常咬合力对牙齿的损伤,但需注意,若患者本身存在牙周炎或牙根吸收倾向,需先进行牙周治疗,并在压低过程中加强监测,以降低风险。
Q2:压低后种植的成功率比直接种植高吗?
A2:对于存在对颌牙伸长、骨量不足等问题的患者,压低后种植的成功率通常高于直接种植,压低可恢复牙槽骨高度,避免骨增量手术,减少手术创伤;同时调整后的牙齿位置能为种植体提供更理想的力学环境,降低种植体周围炎和机械并发症风险,研究显示,经过正畸调整后的种植体,5年成功率可达95%以上,显著高于骨量不足直接种植的病例。

