后牙即刻种植是指在拔除后牙(如磨牙)的同时,立即将种植体植入拔牙窝内,实现“即拔即种”的种植方式,区别于传统种植需等待3-6个月拔牙创愈合,即刻种植通过精准的术前规划和微创技术,缩短了治疗周期,尤其适合后牙区功能需求高、骨条件尚可的患者,后牙承担着主要咀嚼功能,缺失后不仅影响进食,还可能导致邻牙倾斜、对颌牙伸长等问题,即刻种植能在拔牙后即刻恢复牙列稳定性,避免骨量流失,成为修复后牙缺失的重要选择。
后牙即刻种植的适应症与禁忌症
并非所有后牙缺失都适合即刻种植,需严格评估:
适应症包括:牙根无明显炎症(如无根尖周脓肿、大面积骨破坏)、拔牙窝骨量充足(唇舌侧骨壁厚度≥1mm,高度满足种植体植入要求)、全身健康状况良好(无未控制的糖尿病、严重骨质疏松、凝血功能障碍等),且口腔卫生良好,无严重牙周病。
禁忌症包括:拔牙窝骨量严重不足需大量植骨、急性根尖周感染未控制、长期吸烟(日吸烟量>10支,影响骨结合)、颌骨病变(如囊肿、肿瘤)或放疗史患者。

后牙即刻种植的核心优势
- 缩短治疗周期:传统种植需经历拔牙愈合期(3-6个月)+ 种植体骨结合期(3-6个月),即刻种植将两步合并,符合条件的患者可当天戴牙,总治疗时间缩短50%以上。
- 减少骨吸收:拔牙后牙槽骨会以每月0.5-1mm的速度吸收,即刻种植体即刻承担功能性刺激,有效维持拔牙窝骨量,避免后期植骨。
- 快速恢复功能:部分患者可即刻负重,安装临时牙冠,24小时内恢复部分咀嚼能力,避免传统种植期间的“无牙期”影响生活。
- 降低手术创伤:一次手术完成拔牙和种植,减少麻醉次数和手术切口,术后肿胀、疼痛反应较轻。
后牙即刻种植的标准化流程
后牙即刻种植需遵循严格的操作规范,确保种植体初期稳定性和长期成功率,具体流程如下:
| 步骤 | 操作要点 | 注意事项 |
|---|---|---|
| 术前检查 | CBCT评估骨量、牙根位置及神经管走向;取口腔模型设计种植方案;检查全身健康状况。 | 避免遗漏隐匿性骨缺损或感染灶,糖尿病患者需控制空腹血糖<8mmol/L。 |
| 微创拔牙 | 使用微创拔牙挺挺松牙根,避免暴力敲击,尽量保留唇舌侧骨壁完整性。 | 若发现根尖炎症或骨破坏,需改为传统种植,彻底清创后再植入种植体。 |
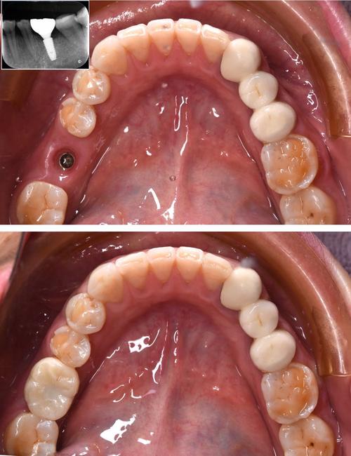
| 种植体植入 | 按照术前设计方向植入种植体,扭矩需≥35Ncm(确保初期稳定性);植入后拍摄CBCT确认位置。 | 避免穿通牙槽骨侧壁,下颌后牙区需远离下牙槽神经管(距离≥2mm)。 |
| 临时修复 | 对符合条件的患者,安装临时牙冠,调整咬合避免早接触;无法即刻负重者可缝合牙龈。 | 临时牙冠需降低咬合高度,防止种植体承受过大咬合力。 |
| 术后维护 | 术后24小时不刷牙,用漱口液保持口腔卫生;1周拆线;3个月、6个月复查骨结合情况。 | 忌食过硬、过热食物,戒烟(吸烟者失败率是非吸烟者的3倍)。 |
风险与应对
尽管即刻种植优势显著,但仍存在一定风险:
- 种植体初期稳定性不足:多因骨量不足或植入扭矩不够,可通过术中植骨(如骨粉)或选择表面粗糙的种植体增强稳定性。
- 感染:术中严格无菌操作,术后预防性使用抗生素(如阿莫西林),若出现种植体周围炎,需及时行刮治术。
- 骨吸收:长期吸烟或咬合创伤可能导致骨吸收,需定期复查,调整咬合,必要时行骨增量手术。
相关问答FAQs
Q1:后牙即刻种植所有人都能做吗?
答:不是,即刻种植对拔牙窝条件和全身健康状况要求较高,例如严重骨缺损、未控制的糖尿病、急性根尖感染或长期吸烟者均不适合,需经医生通过CBCT、口腔检查及全身评估后,才能判断是否具备即刻种植条件。
Q2:即刻种牙能马上用吗?能吃硬东西吗?
答:部分骨条件好、初期稳定性高的患者可当天安装临时牙冠,实现“即刻负重”,但需避免咀嚼硬物(如坚果、骨头),建议以温凉软食为主(如粥、面条),临时牙冠仅为过渡,3-6个月后待种植体完全骨结合,需更换为永久牙冠,才能正常咀嚼硬食,具体时间需医生根据复查情况确定。


