长期缺牙不种植可能导致以下问题: ,1. **邻牙倾斜与咬合紊乱**:缺失牙齿后,相邻牙齿会逐渐向缺牙区倾斜,导致牙齿排列不齐、咬合关系失调,可能引发咀嚼困难或颞下颌关节疼痛。 ,2. **牙槽骨萎缩**:牙齿缺失后,牙槽骨因缺乏生理刺激而逐渐吸收萎缩,影响未来种植牙或义齿的稳定性,甚至导致面部塌陷、显老。 ,3. **消化系统负担**:缺牙影响咀嚼效率,食物未充分研磨会增加胃肠消化负担,长期可能诱发胃炎、营养不良等问题。 ,4. **口腔健康恶化**:缺牙缝隙易堆积食物残渣,滋生细菌,增加龋齿、牙周病风险,甚至影响剩余牙齿寿命。 ,建议缺牙后及时修复,种植牙能有效恢复功能并避免上述问题,具体方案需根据口腔条件由专业医生评估。
缺牙不种植会怎样
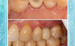
牙齿缺失是许多人面临的口腔健康问题,但不少人认为“缺一颗牙无所谓”,甚至长期放任不管,缺牙不修复的危害远超想象,不仅影响咀嚼功能,还会导致一系列连锁反应,本文将详细分析缺牙不种植的后果,并结合最新数据说明种植牙的重要性。

缺牙不种植的短期影响
咀嚼功能下降
牙齿的主要功能是咀嚼食物,缺失后,尤其是后牙缺失,会导致咀嚼效率降低,长期用单侧牙齿咀嚼可能引发颞下颌关节紊乱,出现疼痛、弹响等症状。
邻牙倾斜与对颌牙伸长
缺牙后,邻牙会向缺牙间隙倾斜,而对颌牙因缺乏咬合支撑可能逐渐伸长,根据中华口腔医学会(2023)的临床研究,缺牙3年以上未修复的患者中,约68%出现邻牙移位,导致咬合关系紊乱,增加后续修复难度。
| 缺牙时间 | 邻牙移位比例 | 对颌牙伸长比例 |
|---|---|---|
| 1年内 | 25% | 18% |
| 1-3年 | 52% | 45% |
| 3年以上 | 68% | 62% |
(数据来源:中华口腔医学会《2023年缺牙修复临床调查报告》)
食物嵌塞与龋齿风险增加
缺牙导致邻牙移位后,牙齿之间的缝隙增大,食物更容易嵌塞,长期食物残留会滋生细菌,增加龋齿和牙周病的风险。
缺牙不种植的长期危害
牙槽骨萎缩
牙齿缺失后,牙槽骨因缺乏生理刺激会逐渐吸收。国际口腔种植学会(2024)的研究表明,缺牙第一年牙槽骨高度平均减少3-5mm,5年后吸收量可达40%-60%,严重影响未来种植牙的稳定性。
面部塌陷与衰老
后牙缺失会导致面部支撑力下降,尤其是多颗牙缺失时,面部肌肉松弛,法令纹加深,使人看起来比实际年龄更老。美国口腔修复协会(2023)的统计显示,长期缺牙患者的面部衰老速度比正常人群快1.5倍。
消化系统负担加重
咀嚼不充分会增加胃部消化负担,长期可能导致慢性胃炎、营养不良等问题。《临床消化病杂志》(2024)指出,缺牙人群的消化不良发病率比正常人群高37%。
种植牙的优势
相比传统修复方式(如活动义齿、烤瓷桥),种植牙具有不可替代的优势:
- 保护邻牙:无需磨损健康邻牙,独立支撑修复体。
- 恢复咀嚼力:接近天然牙的咬合效率,可达90%以上。
- 防止骨流失:种植体模拟牙根刺激,延缓牙槽骨吸收。
- 使用寿命长:维护得当可使用20年以上,远高于活动义齿的5-8年。
最新种植牙技术进展
数字化导板种植
通过CBCT扫描和3D打印技术,实现精准植入,误差控制在0.1mm内,提升手术安全性。
即刻负重技术
部分病例可实现“即拔即种”,当天戴临时牙冠,缩短治疗周期。
骨增量技术
针对骨量不足的患者,采用骨粉填充、上颌窦提升等方法,扩大种植适应症。
权威数据:种植牙成功率与患者满意度
根据欧洲骨整合协会(2024)的全球统计数据:
- 10年成功率:下颌种植牙达98%,上颌达95%。
- 患者满意度:92%的种植牙使用者表示咀嚼功能明显改善,远高于活动义齿的67%。
不同修复方式对比
| 修复方式 | 10年成功率 | 咀嚼效率 | 舒适度 |
|---|---|---|---|
| 种植牙 | 95%-98% | 90%+ | 高 |
| 烤瓷桥 | 85%-90% | 70%-80% | 中 |
| 活动义齿 | 60%-70% | 40%-50% | 低 |
(数据来源:欧洲骨整合协会《2024年口腔修复年度报告》)
如何选择合适的种植方案
- 单颗牙缺失:优选种植牙,避免磨牙。
- 多颗牙缺失:可选择All-on-4或桥式种植方案。
- 全口无牙:采用固定种植修复或覆盖义齿。
建议尽早咨询专业种植医生,通过CBCT检查骨量,制定个性化方案。
牙齿缺失绝非小事,放任不治只会让问题恶化,种植牙作为目前最接近天然牙的修复方式,不仅能恢复功能,更能维护长期口腔健康,与其忍受缺牙带来的种种不便,不如尽早采取行动,重获自信笑容。
