牙齿隐形矫正作为一种现代化的正畸方式,近年来逐渐成为牙齿矫正人群的热门选择,它通过透明、可摘戴的牙套逐步调整牙齿位置,在美观性、舒适度和便捷性上突破了传统矫正的局限,尤其对注重形象和生活质量的成年人及青少年具有显著吸引力,要全面了解隐形矫正,需从其原理、优势、适用人群、操作流程、注意事项及与传统矫正的对比等多维度展开分析。
牙齿隐形矫正的原理与技术基础
隐形矫正的核心在于“数字化精准控制”与“持续轻力移动”,医生通过口内扫描仪或传统取模获取患者牙齿的原始数据,结合口腔X光片、面部照片等资料,利用3D数字化技术建立患者的牙齿模型,随后,通过专业正畸软件模拟牙齿在矫正过程中的移动轨迹,将整个矫正阶段拆分为多个步骤(通常每步间隔0.25-1mm),为每个步骤定制一副透明牙套,患者需按顺序佩戴牙套,每副牙套通过材质自身的弹性对牙齿施加持续、温和的力,引导牙齿逐步移动至理想位置。

牙套材质通常采用医用级高分子聚合物,如PETG(聚对苯二甲酸乙二醇酯)或TPU(热塑性聚氨酯),这类材料具有透明度高、抗撕裂性强、无毒无味的特点,且可承受一定咀嚼力,既能有效传递矫正力,又能确保佩戴时的舒适度与美观性。
隐形矫正的核心优势
与传统金属托槽矫正相比,隐形矫正的优势体现在多个方面,这也是其广受欢迎的关键原因。
美观性突出:隐形牙套完全透明,佩戴后几乎难以察觉,尤其适合对“钢牙”形象有顾虑的成年人、演员、教师等职业群体,可在矫正期间正常社交,避免心理压力。
舒适度高:牙套表面光滑无棱角,不会像传统托槽那样刮伤口腔黏膜;且矫正力分布均匀,避免了传统矫正中可能出现的“钢丝扎嘴”问题,牙齿酸痛感较轻。

便捷性与清洁性:牙套可自由摘戴,患者进食、刷牙时无需顾虑,能彻底清洁牙齿及牙套,降低蛀牙、牙周炎等并发症风险;无需改变饮食习惯,避免传统矫正中因食物嵌塞导致的清洁难题。
个性化与可视化:通过3D模拟技术,患者可在矫正前直观看到牙齿移动过程及最终效果,与医生共同调整方案,增强治疗信心;针对复杂病例,还可结合附件(牙面上的小凸点,辅助牙套固定牙齿)、橡皮筋等工具,实现精准控制。
隐形矫正的适用人群与限制
并非所有牙齿问题都适合隐形矫正,其适用范围需根据具体错颌类型判断。适用人群主要包括:牙列拥挤(牙齿排列不齐)、牙齿稀疏(牙缝过大)、龅牙(上颌前突)、地包天(下颌前突)、个别牙齿错位(如扭转、倾斜)、轻度深覆合或深覆盖等,隐形矫正对口腔卫生要求较高,适合能够严格佩戴牙套(每天20-22小时以上)且自律性较强的患者,如成年人、合作度高的青少年。
不适用或需谨慎的情况包括:严重骨性错颌(如上下颌骨发育严重不调,需配合正颌手术);牙齿过大导致牙量骨量严重不调;口腔卫生极差、易患龋齿或牙周炎者;无法保证佩戴时间(如经常忘记佩戴、丢失牙套)的人群,若存在多颗牙齿缺失,需先修复缺失牙再考虑矫正。

隐形矫正的完整流程
隐形矫正需经历严谨的医学流程,通常分为以下步骤:
-
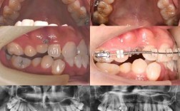
初诊检查与方案设计:患者首次就诊时,医生会进行口腔检查、拍X光片(全景片、头颅侧位片)、取模或口扫,评估牙齿、颌骨、牙周状况,若符合适应症,医生将利用3D软件模拟矫正过程,确定治疗周期(通常1-3年)及最终效果,与患者沟通并确认方案。
-
牙套定制与制作:方案确定后,数据将发送至专业加工厂,通过3D打印技术批量制作牙套(一般需20-30副,每副佩戴1-2周),患者收到牙套后,医生会指导佩戴方法、摘取技巧及注意事项。
-
矫正过程中的复诊:患者需按医嘱定期复诊(通常每4-6周一次),医生检查牙齿移动情况,调整方案或补充附件,若出现牙套丢失、破损,需及时联系医生处理,避免影响矫正进度。
-
保持阶段:矫正结束后,牙齿需佩戴保持器(通常为透明压膜保持器或传统 Hawley 保持器),防止复发,前6个月需全天佩戴,之后逐渐减少至夜间佩戴,保持时间至少1-2年,部分患者需长期佩戴。
隐形矫正的注意事项与常见问题
佩戴时间:牙套每天需佩戴20-22小时以上,仅进食、刷牙时可摘下,若佩戴时间不足,可能导致牙齿移动延迟甚至效果不佳。
饮食与清洁:佩戴牙套时避免饮用热水、咖啡、茶等深色饮料(可能导致牙套染色),避免咀嚼过硬食物(如坚果、骨头,防止牙套变形);摘下牙套后,需先刷牙、再用清水或专用清洁片清洁牙套,避免用热水浸泡(会变形)。
口腔卫生维护:矫正期间牙龈更易堆积牙菌斑,需使用软毛牙刷、牙线、冲牙器彻底清洁,尤其注意牙套边缘与牙齿的贴合处,预防牙周炎。
常见问题应对:初期佩戴可能出现牙齿酸痛、口腔黏膜压痛,一般3-5天缓解,可使用正畸蜡保护黏膜;若牙套边缘刮嘴,可将刮蹭处用指甲轻轻打磨光滑;若牙齿移动异常,需及时复诊调整。
隐形矫正与传统矫正的对比
为更直观体现隐形矫正的特点,可通过以下表格与传统金属托槽矫正对比:
| 对比维度 | 隐形矫正 | 传统金属矫正 |
|---|---|---|
| 美观度 | 透明,几乎不可见 | 金属托槽明显,影响美观 |
| 舒适度 | 表面光滑,无异物感,力轻 | 托槽、钢丝可能刮嘴,酸痛感较强 |
| 清洁难度 | 可摘戴,易清洁 | 需专用正畸牙刷,清洁难度大 |
| 饮食限制 | 无限制(摘下牙套即可进食) | 避免过硬、黏性食物 |
| 复诊频率 | 4-8周一次 | 4-6周一次 |
| 价格 | 较高(约3-8万元,因病例复杂度异) | 较低(约1.5-4万元) |
| 适用范围 | 轻中度错颌,部分复杂病例需辅助 | 几乎所有错颌类型,包括严重骨性问题 |
相关问答FAQs
Q1:隐形矫正效果真的能和传统矫正一样吗?会不会反弹?
A1:隐形矫正的效果取决于病例适应症与方案设计,对于轻中度牙列拥挤、龅牙等常见错颌,其效果与传统矫正相当,可通过3D模拟技术精准控制牙齿移动,但严重骨性问题需配合正颌手术,单纯隐形矫正效果有限,反弹风险与保持阶段密切相关——矫正结束后需严格佩戴保持器,并定期复查,若能保持良好的口腔习惯(如避免用牙开瓶、咬硬物),复发风险较低。
Q2:矫正期间牙套丢了怎么办?会影响进度吗?
A2:若牙套丢失,需立即联系医生,说明丢失的牙套编号(通常牙套内侧有编号),医生会根据当前矫正阶段判断:若丢失初期牙套(佩戴1-2天内),可重新制作当前副;若丢失后期牙套(接近该副佩戴周期结束),可直接佩戴下一副,但需复诊确认牙齿位置是否正常,切勿自行跳过或提前佩戴下一副,否则可能导致牙齿移位异常,延长矫正时间,建议患者随身携带备用牙套或应急工具(如正畸蜡),避免因意外丢失影响治疗。
