上海作为国内医疗资源高度集中的国际化都市,隐形牙齿矫正技术发展成熟,众多专业口腔机构与先进技术品牌共同推动行业进步,满足了市民对美观、舒适、便捷正畸的需求,与传统金属托槽矫正相比,隐形矫正凭借透明牙套、可自行摘戴、精准控制等优势,成为越来越多上海市民改善牙齿排列、提升笑容美观的选择。
上海隐形牙齿矫正的技术优势
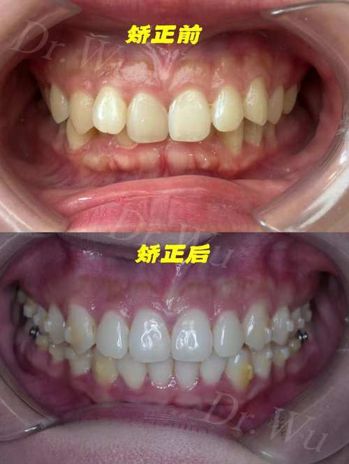
隐形矫正的核心在于数字化技术与个性化定制,通过3D口扫仪获取患者牙齿、牙槽骨的精准数据,利用计算机辅助设计(CAD)和计算机辅助制造(CAM)技术,为患者量身定制一系列透明牙套,每副牙套的厚度约0.1-0.25mm,佩戴后几乎隐形,不影响社交与职场形象,牙套可自行摘戴,避免了传统矫正中饮食受限、口腔清洁困难的问题,降低了蛀牙、牙周炎等并发症风险。

数字化流程是上海隐形矫正的一大亮点,医生可通过专业软件模拟牙齿移动的全过程,提前预测矫正效果,并与患者共同调整方案,确保每一步移动都精准可控,针对牙齿拥挤、稀疏、深覆合、深覆盖等问题,隐形矫正可通过分阶段施加轻柔力,引导牙齿逐步移动至理想位置,对牙根、牙槽骨的影响更小,舒适度更高。
主流隐形矫正品牌对比(上海市场参考)
| 品牌 | 材料厚度 | 复诊间隔 | 适合难度 | 上海参考价(万元) |
|---|---|---|---|---|
| 隐适美(Invisalign) | 1-0.25mm | 6-8周 | 轻中度错颌畸形 | 5-8.0 |
| 时代天使(Angelalign) | 15-0.25mm | 4-6周 | 轻中度及部分复杂 | 0-5.0 |
| Spark | 095mm | 8-10周 | 轻中度,注重美观 | 0-6.0 |
| 国产其他品牌 | 2-0.3mm | 4-8周 | 简单病例 | 5-3.5 |
注:价格因矫正难度、医生资质、机构类型(公立/私立)有所差异,上海公立医院如上海第九人民医院、瑞金医院口腔科价格透明但预约周期长,私立连锁诊所(如拜博、瑞尔)服务灵活,常有分期优惠活动。
选择机构与医生的关键考量
在上海选择隐形矫正机构和医生时,需综合评估以下因素:
- 医生资质:优先选择口腔正畸专业硕士及以上学历、持有执业医师资格证、且有5年以上正畸临床经验的医生,可关注医生是否为隐适美钻石级认证医师、时代天使认证医师,这些认证代表其案例数量与技术水平达标。
- 机构设备:数字化设备是隐形矫正的基础,需确认机构是否配备3D口扫仪、CBCT(锥形束CT)、数字化方案设计系统,确保数据采集与方案精准度。
- 案例库:要求医生展示类似错颌畸形的矫正案例,观察治疗前后的牙齿排列、咬合关系改善效果,尤其是复杂案例(如骨性畸形、拔牙矫正)的处理经验。
- 服务流程:完善的流程应包括初诊检查(口内检查、拍片、取模)、方案沟通(3D动画演示)、牙套制作、佩戴指导、定期复诊、后期保持等环节,避免“重销售、轻服务”。
隐形矫正的完整流程与注意事项
流程步骤:

- 初诊检查:医生进行口腔检查,拍摄全景片、头颅侧位片(部分需CBCT),取研究模型,评估牙齿、骨骼、面部软组织情况。
- 方案设计:通过3D口扫获取数据,医生设计矫正方案,模拟牙齿移动路径,与患者确认时间、效果及费用。
- 牙套制作:方案确认后,数据发送至加工中心,定制1-3副牙套(通常总副数20-40副),制作周期2-4周。
- 佩戴与复诊:首次佩戴时医生指导摘戴方法,检查贴合度;之后每4-8周复诊一次,更换下一副牙套,调整方案(若需)。
- 完成与保持:牙齿排齐后佩戴保持器(通常透明压膜保持器或 Hawley 保持器),防止复发,夜间佩戴至少1年。
注意事项:
- 佩戴时间:每天需佩戴20-22小时,仅进食、刷牙时取下,否则延长矫正周期。
- 口腔卫生:佩戴牙套时,食物易残留,需使用正畸牙刷、牙缝刷、水牙线清洁,避免蛀牙;取下牙套后用清水冲洗,可用牙套清洁泡浸泡(勿用热水,防止变形)。
- 饮食禁忌:避免过硬(坚果、骨头)、过黏(口香糖、年糕)食物,防止牙套损坏或牙齿移位异常。
- 紧急情况:若牙套丢失、损坏,或牙齿疼痛加剧、托槽脱落,需及时联系医生处理,避免影响矫正进度。
上海隐形矫正价格影响因素
上海隐形矫正价格跨度较大(1.5万-8万元),主要受以下因素影响:
- 品牌与材料:进口品牌(隐适美、Spark)价格高于国产品牌,材料更薄、弹性更优,但国产品牌(如时代天使、正雅)性价比高,技术已趋成熟。
- 矫正难度:简单病例(轻微不齐)约2-3万元;中度病例(拥挤、深覆合)需拔牙或种植支抗,约3-5万元;复杂病例(骨性问题、开颌)需配合正颌手术或附加附件,约5-8万元。
- 医生与机构:公立三甲医院专家号源紧张,价格上浮10%-20%;私立连锁诊所常推出套餐活动,可分期付款(如12期免息),但需警惕低价营销(可能存在隐形消费或技术不足)。
相关问答FAQs
Q1:隐形矫正需要拔牙吗?哪些情况必须拔牙?
A:是否拔牙取决于牙齿拥挤程度、骨骼条件及患者诉求,简单情况可通过扩弓(扩大牙弓宽度)、磨牙后推(让后牙向前移动)解决;但中重度拥挤(上/下牙弓总拥挤度超过8mm)、前突(嘴唇外翘)、部分骨性畸形(如上颌前突下颌后缩),为避免矫正后复发或影响面部美观,通常需拔除1-4颗前磨牙(如第一或第二前磨牙),医生会通过头影测量分析骨骼与牙齿关系,结合患者意愿制定方案,拔牙并非唯一选择,但复杂病例中拔牙可提高矫正效果稳定性。
Q2:矫正期间可以正常吃东西吗?牙套取下后牙齿会变回原样吗?
A:牙套可自行摘戴,进食时取下,不影响正常饮食,但需避免过硬、过黏食物(如坚果、牛轧糖),防止牙套损坏或牙齿移位异常,建议选择软食(粥、面条、蒸蛋),细嚼慢咽,避免用牙套咬硬物(如螃蟹壳、骨头),牙齿变回原样”:若严格按医嘱佩戴牙套(每天20-22小时)、定期复诊,矫正完成后牙齿会移动至设计位置;但若佩戴不足、频繁跳戴,或矫正后不戴保持器,可能导致牙齿复发,保持器是矫正成功的关键,需遵医嘱夜间长期佩戴,维持牙齿稳定。

