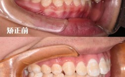
“7天快速矫正牙齿”是近年来口腔美容领域备受关注的概念,主要指通过特定技术或手段,在较短时间内改善牙齿排列、形态或咬合外观,而非传统意义上的“牙齿移动矫正”,需明确的是,其核心是“美学改善”而非“生物学矫正”,需在专业评估下进行,且效果因人而异。
常见7天快速矫正方法及原理
目前主流的7天快速矫正技术主要包括隐形矫正加速、树脂贴面、正畸加速器辅助等,具体对比如下:

| 方法名称 | 核心原理 | 适用情况 | 优点 | 局限性 |
|---|---|---|---|---|
| 隐形矫正加速 | 利用3D打印定制透明牙套,通过持续轻力移动牙齿,配合高频振动或激光加速牙槽骨改建 | 轻度牙齿拥挤、牙缝较大(<3mm)、咬合轻微紊乱 | 美观隐形、可自行摘戴、舒适度高 | 仅适用于简单病例,复杂问题仍需传统正畸 |
| 树脂贴面 | 在牙齿表面粘贴薄层树脂材料,重塑牙齿形态、关闭牙缝、调整颜色 | 牙齿形态不规整(如小牙、牙釉质缺损)、牙缝明显(3-6mm)、色素沉着 | 见效快(1-2次就诊)、可同时改善美观 | 需磨除少量牙体组织、寿命约5-8年、可能脱落 |
| 正畸加速器辅助 | 通过振动或电磁刺激促进牙槽骨代谢,缩短传统矫正周期(辅助手段) | 配合传统托槽或隐形矫正,用于加速牙齿移动速度 | 减少矫正时间30%-50%、降低不适感 | 需与传统矫正联合使用,不能独立完成矫正 |
关键注意事项
- 严格筛选适应人群:并非所有人都适合快速矫正,严重的骨性错颌(如地包天、龅牙)、牙周炎未控制者、牙根吸收风险高者,需先进行牙周治疗或正颌手术,盲目追求速度可能导致牙齿松动、牙根吸收等问题。
- 选择正规机构与专业医生:快速矫正对技术要求高,需由口腔正畸或修复医生评估,非正规机构可能因方案设计不当(如过度磨牙、牙套贴合不佳)引发牙齿敏感、咬合紊乱等并发症。
- 术后维护与预期管理:树脂贴面需避免啃硬物(如坚果、螃蟹壳),隐形矫正需每日佩戴20小时以上;同时需明确“7天”多为“初步见效期”,最终稳定效果通常需3-6个月保持期,且部分案例可能需二次调整。
潜在风险与应对
快速矫正可能伴随牙齿敏感(因牙体预备或牙移动)、牙龈红肿(贴面边缘密合不佳)、咬合不适(牙套调整期)等风险,建议术后使用抗敏感牙膏,定期复查(贴面每半年、矫正每1个月),出现异常及时处理。
相关问答FAQs
Q1:7天快速矫正真的能让牙齿“移动”到理想位置吗?
A:并非完全移动牙齿,传统牙齿矫正需通过牙槽骨缓慢改建实现移动,通常需1-2年;“7天快速矫正”中,隐形矫正加速可轻微调整牙齿位置(如排齐前牙),而树脂贴面则是通过覆盖牙面关闭牙缝、改善形态,并未真正移动牙齿,对于复杂错颌,仍需传统正畸或正颌手术。
Q2:快速矫正后牙齿会反弹吗?如何预防?
A:存在反弹风险,若仅通过贴面关闭牙缝,未解决牙齿本身排列问题,牙缝可能因咬合习惯再次出现;隐形矫正后若未佩戴保持器,牙齿也可能回到原位,预防措施包括:术后严格佩戴保持器(隐形矫正保持器需全天佩戴1年,之后夜间长期佩戴);避免用牙开酒瓶、咬硬物等不良习惯;定期复查(建议每半年1次)。

