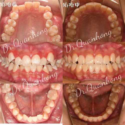
广州作为华南地区的医疗高地,在牙齿矫正领域融合了前沿技术与临床经验,“快速牙齿矫正”成为越来越多追求效率与美观人群的选择,不同于传统矫正需2-3年的周期,快速矫正通过技术优化与数字化设计,可在1-2年内达成理想效果,尤其适合成人、职场人士及对矫正时间敏感的群体。
快速牙齿矫正的核心技术类型
快速矫正并非单一技术,而是通过多种手段提升牙齿移动效率、缩短治疗周期,目前主流技术包括以下几类:

-
自锁托槽矫正
传统托槽依赖结扎丝固定弓丝,摩擦力较大;自锁托槽通过闭锁装置“锁”住弓丝,减少摩擦力30%-50%,牙齿移动速度加快,例如Damon自锁托槽,复诊间隔可延长至6-8周(传统需4-6周),总治疗时间缩短8-12个月,托槽体积更小,口腔异物感较弱,舒适度提升。 -
隐形矫正技术
以隐适美(Invisalign)、时代天使(Angelalign)为代表的隐形牙套,通过3D打印技术定制每副牙套,每副移动牙齿0.25mm,患者每1-2周更换一副,全程可摘戴,不影响饮食和社交,针对轻中度错颌畸形,隐形矫正周期与传统矫正相当,但部分品牌推出的“加速版”技术(如隐适美的AcceleDent)通过微振动促进牙槽骨改建,可进一步缩短周期10%-20%。 -
数字化定制矫正
结合口内扫描(如iTero)、CBCT影像及AI算法,医生可在电脑上模拟牙齿移动全程,提前规避风险(如牙根吸收、咬合干扰),通过数字化方案设计,可实现“精准移动”——例如对拥挤牙齿采用“片段弓技术”分排移动,或利用骨钉辅助关闭间隙,减少不必要的调整步骤,效率提升20%以上。 -
舌侧矫正
将托槽粘贴在牙齿内侧,完全隐形,适合对美观要求极高的群体,虽技术难度高、价格昂贵(8-15万元),但个性化定制方案可优化移动路径,部分案例周期与传统矫正相当,且隐蔽性最佳。
(图片来源网络,侵删)
哪些人群适合快速矫正?
快速矫正并非“万能”,需根据口腔条件选择,适合人群主要包括:
- 轻中度错颌畸形:如牙列拥挤(拥挤度<8mm)、牙列间隙(前牙间隙<3mm)、前牙反颌(地包天,骨性不明显)、龅牙(角度<15°)等;
- 成人矫正需求:18岁以上,骨骼已定型,无需等待颌骨发育,且对时间效率要求高;
- 职业需求:演员、主播、销售人员等需频繁社交,希望快速改善外观;
- 配合度高的患者:能严格遵循医嘱(如按时复诊、保持口腔卫生、避免咬硬物)。
不适合人群:严重骨性畸形(需正颌手术)、牙周炎/牙槽骨吸收未控制、口腔卫生差(易导致托槽周围龋)、未成年骨骼发育期(可能需生长引导而非单纯移动牙齿)。
快速矫正vs传统矫正:核心优势对比
| 对比维度 | 传统矫正 | 快速矫正 |
|---|---|---|
| 治疗周期 | 2-3年 | 1-2年(缩短30%-50%) |
| 复诊间隔 | 4-6周 | 6-8周(自锁)/1-2周(隐形) |
| 美观度 | 金属托槽明显,陶瓷托槽较隐蔽 | 隐形/舌侧完全或高度隐蔽 |
| 舒适度 | 摩擦力大,易溃疡 | 摩擦力小,材质光滑,异物感弱 |
| 价格范围(万元) | 5-3(金属) | 2-4(自锁)/3-8(隐形)/8-15(舌侧) |
快速矫正的注意事项
- 术前全面评估:需拍摄口腔全景片、头影测量片,进行牙周治疗(如洗牙、刮治),排除龋齿、牙髓炎等问题,确保口腔健康基础。
- 矫正中护理:使用正畸牙刷、牙缝刷、冲牙器清洁,避免托槽脱落;自锁托槽避免咬硬物(如坚果、螃蟹壳),隐形牙套需佩戴20小时/天,饮食时摘下。
- 保持器佩戴:矫正结束后必须佩戴保持器(最初6个月全天,之后夜间长期佩戴),防止牙齿复发——快速矫正因移动速度快,复发风险略高于传统矫正,保持器尤为重要。
广州快速矫正价格参考
广州作为一线城市,快速矫正价格受技术、医生资质、机构品牌影响较大:
- 自锁托槽:国产(如美立刻)2-3万,进口(如Damon、SmartClip)3-4万;
- 隐形矫正:国产时代天使标准版3-4万,进口隐适美经典版4-5万,加速版5-6万;
- 舌侧矫正:国产(如正雅)8-10万,进口(如eBrace)12-15万;
- 公立医院vs私立机构:公立三甲医院专家门诊费比私立高20%-30%,但私立常提供分期付款、终身维护等服务。
相关问答FAQs
Q1:快速矫正真的比传统矫正快很多吗?有没有风险?
A1:快速矫正通过降低摩擦力(自锁)、优化移动路径(数字化)、辅助工具(骨钉、微振动)等手段,一般可节省6-12个月,但“快”需建立在适应症基础上,并非所有情况都能大幅缩短周期,风险方面,初期可能出现牙齿敏感、轻微疼痛(1-3天缓解),少数患者因牙齿移动过快出现牙根吸收(通常轻微,不影响功能),需定期复查监测。

Q2:广州快速矫正哪家医院好?怎么选择?
A2:选择时可关注三点:一是资质,优先广东省口腔医院、广州医科大学附属口腔医院等公立三甲,或瑞尔齿科、马泷齿科等大型连锁机构;二是医生经验,选择有5年以上正畸经验、案例量超1000例的医生,可要求查看类似案例(如拥挤矫正、隐形矫正);三是技术设备,确认是否配备口扫仪、CBCT、数字化方案设计系统,这些是精准快矫的基础。
