牙齿矫正是通过外力调整牙齿排列、改善咬合关系及面部美观的常用治疗手段,但临床中部分患者可能出现矫正效果不理想的情况,这不仅影响美观,还可能带来咀嚼功能、口腔健康等问题,本文将从矫正效果不好的具体表现、潜在原因、应对措施及预防方法展开分析,帮助患者全面了解这一问题。
矫正牙齿效果不好的具体表现
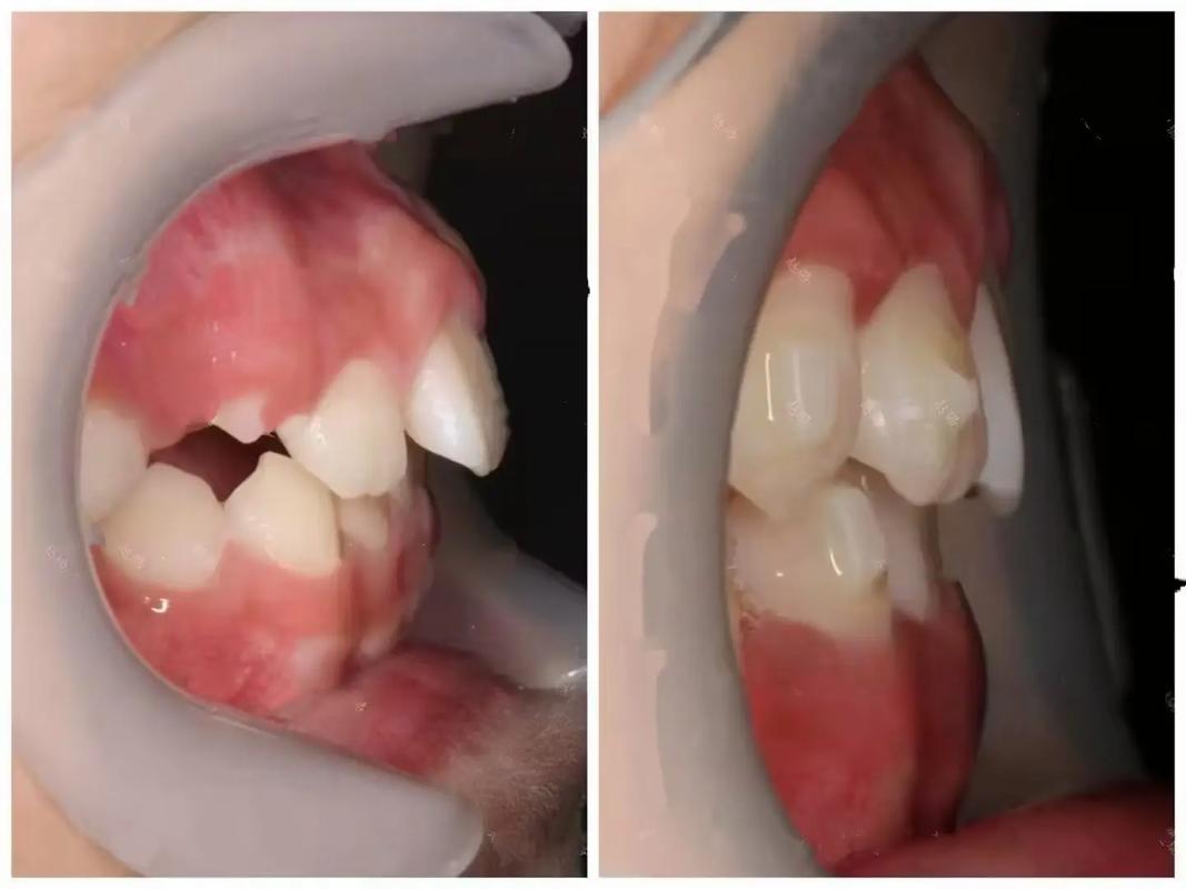
矫正效果不佳通常体现在多个维度,以下为常见表现及典型案例:

| 表现类型 | 具体表现 | 典型案例 |
|---|---|---|
| 牙齿排列不理想 | 牙齿仍有扭转、倾斜、间隙未关闭或排列不整齐,与预期“整齐排列”差距大。 | 患者矫正后侧切牙存在明显扭转,前牙区仍存在2mm间隙,未完全关闭。 |
| 咬合功能异常 | 上下牙咬合时接触不良(如深覆合、深覆盖、反合未纠正),咀嚼效率低,或颞下颌关节不适。 | 矫正后后牙咬合时仅单点接触,咀嚼乏力,张口时颞下颌关节弹响。 |
| 矫正后复发 | 保持器佩戴期间或结束后,牙齿逐渐移位,出现原问题复发或新问题(如牙缝重新出现)。 | 患者结束矫正1年后,门牙逐渐外凸,原关闭的牙缝重新打开,影响美观。 |
| 美观效果不达标 | 牙齿形态、颜色与面部不协调(如牙齿过突、过平),或矫正后笑容不自然(如露龈笑)。 | 患者矫正后上前牙过度前突,与侧脸线条不匹配,微笑时上牙龈暴露过多。 |
| 口腔健康问题 | 矫正过程中或结束后出现龋齿、牙周炎、牙根吸收等并发症,导致牙齿松动或脱落风险。 | 患者因矫正期间口腔卫生差,矫正后出现多颗邻面龋,需进一步补牙治疗。 |
矫正效果不好的潜在原因
矫正效果不佳是多种因素综合作用的结果,需从医生、患者、矫正器及牙齿条件等多角度分析:
医生因素:方案设计与操作技术
- 方案设计缺陷:矫正前未进行全面检查(如忽视头颅侧位片、牙周状况评估),导致方案未考虑患者骨骼条件(如骨性反合仅通过正畸无法纠正)、咬合功能需求或面部美学比例,对骨性深覆盖患者未联合正颌手术,仅通过移动牙齿勉强改善,效果难以稳定。
- 操作技术不当:托槽粘贴位置偏差、矫正力控制不合理(如力量过大导致牙根吸收,过小则牙齿移动缓慢)、未及时调整方案(如矫正中遇到牙齿移动阻力时未分析原因并调整策略)。
患者因素:配合度与口腔维护
- 矫正期间配合不足:未严格遵医嘱佩戴橡皮筋、头帽等辅助装置(如需24小时佩戴的橡皮脂仅白天佩戴,导致牙齿移动方向错误);频繁食用过硬、黏性食物(如坚果、口香糖),导致托槽脱落、弓丝变形,影响矫正进程。
- 口腔卫生维护不佳:矫正时牙齿清洁难度增加,若未使用正畸专用牙刷、牙线、冲牙器,易导致食物残渣堆积,引发龋齿、牙周炎,进而影响牙齿移动(牙槽骨吸收会导致牙齿松动)。
- 不良习惯未纠正:如吐舌、咬唇、夜磨牙等,这些异常力量会持续作用于牙齿,抵消矫正效果,甚至导致牙齿移位。
矫正器因素:选择与质量
- 矫正器类型选择不当:对复杂错颌畸形(如严重拥挤、旋转牙)选择普通隐形牙套(矫正力度有限),而非传统托槽矫正;或对青少年患者未考虑生长发育潜力,错失干预时机。
- 矫正器质量问题:个别机构使用的托槽 bonding 强度不足、弓丝弹性不达标,或隐形牙套数据偏差(如3D打印模型与实际牙齿不符),导致牙齿移动偏离预期。
牙齿与骨骼条件:复杂病例的限制
- 骨性畸形未联合治疗:如骨性上颌前突、下颌后缩等问题,单纯通过正畸移动牙齿无法改善骨骼关系,需联合正颌手术才能达到理想效果。
- 牙齿与骨骼不匹配:如牙齿量大于骨量(牙弓狭窄导致牙齿拥挤严重),需通过扩大牙弓、拔牙等创造空间,若未充分评估可能导致间隙不足,牙齿无法排齐。
保持阶段:维护不足导致复发
- 保持器佩戴不规范:矫正结束后未按要求全天佩戴保持器(通常前6-12个月需全天佩戴,之后过渡到夜间),或过早停止佩戴;保持器损坏未及时修复(如隐形保持器变形、保持器钢丝断裂),导致牙齿在未稳定状态下移位。
矫正效果不好后的应对措施
若发现矫正效果不理想,需及时采取针对性措施,最大限度改善问题:
复查评估,明确原因
首先到正规口腔机构进行全面检查,包括:
- 临床检查:牙齿排列、咬合关系、牙周状况、牙根情况(通过X线片);
- 功能评估:咀嚼效率、颞下颌关节功能;
- 美学分析:微笑线、面部比例与牙齿协调性。
通过检查明确问题根源(如方案设计问题、患者配合问题、骨性限制等),再制定补救方案。
针对性补救治疗
- 调整矫正方案:若矫正中因方案问题导致效果偏差,可通过增加支抗钉(加强支抗)、更换矫正力更大的弓丝、调整托槽位置等方式纠正;若已结束矫正,可通过二次矫正(如更换隐形牙套、重新粘贴托槽)调整牙齿位置。
- 联合多学科治疗:对骨性畸形,需正畸-正颌联合治疗(如先通过正畸将牙齿移动至手术预期位置,再通过正颌手术调整骨骼关系);对美观问题,可通过牙齿贴面、全瓷冠修复改善牙齿形态与颜色(需在牙齿位置稳定后进行)。
- 处理并发症:若出现牙根吸收,需定期观察,严重时可能需根管治疗或拔牙;若存在牙周炎,需先进行牙周治疗(洁治、刮治),待牙周健康后再继续矫正。
加强患者配合与维护
- 强化口腔卫生:使用正畸专用牙刷(如U型刷)、牙线、冲牙器,每日至少刷牙3次,配合含氟牙膏预防龋齿。
- 纠正不良习惯:通过行为训练或佩戴矫治器(如舌刺)纠正吐舌、咬唇等习惯;夜磨牙患者需佩戴颌垫,保护矫正后的牙齿。
- 严格佩戴保持器:若出现轻微复发,可通过延长保持器佩戴时间(如从夜间佩戴改为全天佩戴)控制;若保持器损坏,需及时重新取模制作。
预防矫正效果不好的关键措施
矫正效果的好坏,既依赖医生的专业能力,也需要患者全程配合,预防需从矫正前、中、后三个阶段入手:

矫正前:充分沟通与全面评估
- 选择正规机构与医生:查看医生资质(如正畸专科医生、中华口腔医学会正畸专业委员会认证案例),了解其处理复杂病例的经验。
- 进行全面检查:除常规口腔检查外,需拍摄全景片、头颅侧位片、CBCT(评估骨骼与牙齿关系),进行牙周健康检查,排除矫正禁忌证(如未控制的牙周炎、骨量严重不足)。
- 明确沟通需求:与医生充分沟通美观与功能需求,共同制定矫正目标(如是否需要改善侧脸轮廓、微笑曲线),避免期望值与实际效果差距过大。
矫正中:严格配合与定期复诊
- 遵守医嘱:按时佩戴辅助装置(如橡皮筋、头帽),避免食用过硬、黏性食物,减少托槽脱落风险。
- 定期复诊:按医生要求时间复诊(通常1-1.5个月/次),以便医生及时调整矫正力,处理问题(如弓丝变形、托槽脱落)。
- 保持口腔卫生:矫正期间每3-6个月进行一次牙周洁治,清除牙结石,维护牙周健康。
矫正后:终身保持与定期复查
- 坚持佩戴保持器:矫正结束后需终身佩戴保持器(初期全天,后期夜间),这是防止复发的关键。
- 定期复查:每6个月复查一次,检查牙齿稳定性、牙周状况及保持器状态,发现问题及时处理。
相关问答FAQs
问题1:矫正效果不好完全是医生的责任吗?
解答:并非如此,矫正效果是医生技术、患者配合、牙齿条件等多因素共同作用的结果,医生因素(如方案设计、操作技术)是重要原因,但患者若未配合佩戴橡皮筋、口腔卫生差或保持器佩戴不规范,也会影响效果,骨性畸形、牙齿与骨骼不匹配等牙齿条件本身也会限制矫正效果,出现效果不佳时需综合分析原因,而非单纯归咎于医生。
问题2:矫正后牙齿复发,还能补救吗?
解答:可以补救,轻微复发(如牙缝轻微打开、牙齿轻微移位)可通过调整保持器佩戴时间(如延长全天佩戴至3-6个月)或更换新的保持器(如隐形保持器、 Hawley 保持器)控制;中度复发需进行二次矫正(通常时间短于初次矫正,6-12个月即可);严重复发(如牙齿明显移位、咬合紊乱)可能需联合修复治疗(如贴面、冠修复)改善美观,需明确复发原因(如保持器未坚持戴、不良习惯未纠正),并针对性改正,避免再次复发。

