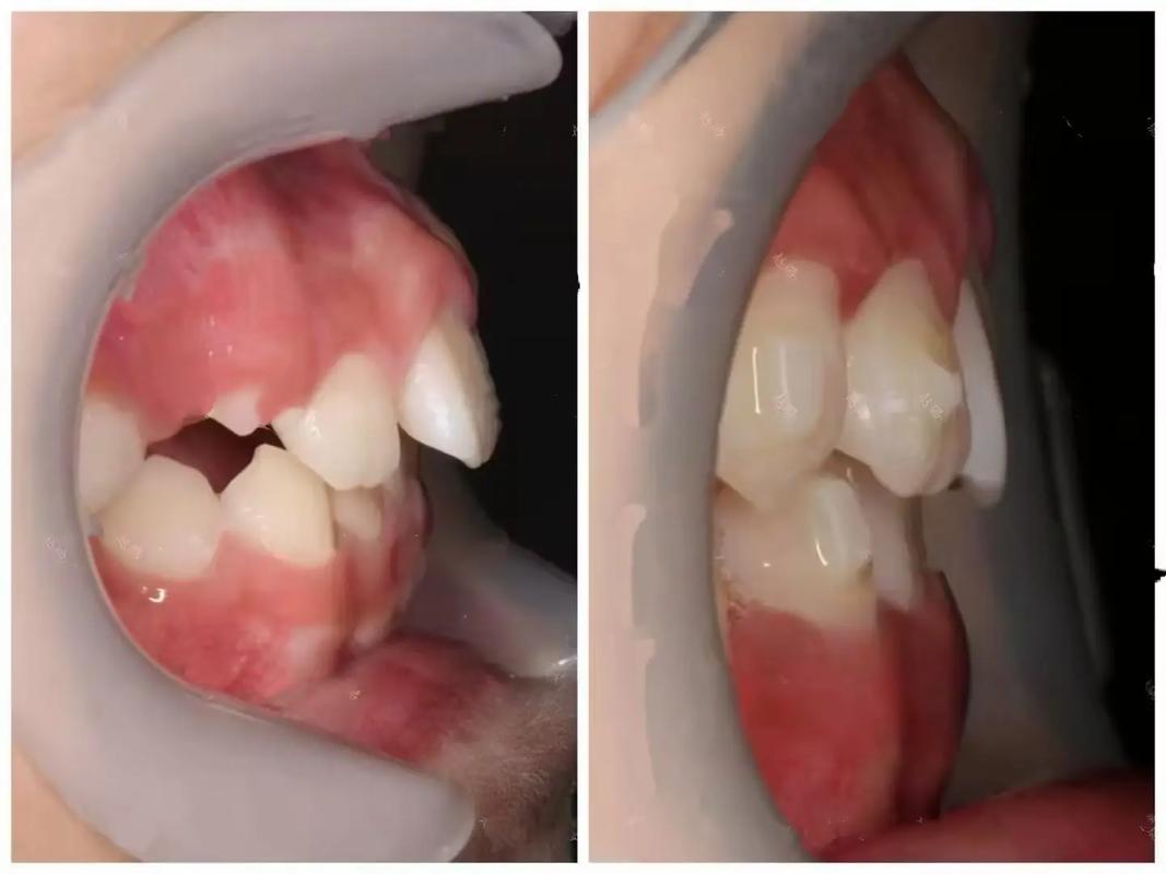
牙齿中缝不齐是口腔正畸中常见的错颌畸形之一,表现为上下颌中切牙(门牙)之间的中线与面部中线不一致,或牙齿本身排列导致中缝歪斜、错位,这种情况不仅影响面部美观,还可能咬合功能、牙周健康,甚至导致发音问题,近年来,随着人们对口腔健康的重视,矫正牙齿中缝不齐的需求逐渐增加,本文将从原因、矫正方法、注意事项等方面展开详细分析。
牙齿中缝不齐的常见原因
牙齿中缝不齐的形成是多因素综合作用的结果,可分为先天因素和后天因素两大类。
先天因素主要包括:①颌骨发育异常,如上颌骨过宽或过窄、下颌骨偏斜,导致牙齿萌出空间不足或位置偏移;②牙齿本身问题,如中切牙先天缺失、多生牙(如“正中牙”)占据中缝位置,或牙齿过大/过小导致牙量与骨量不匹配;③遗传因素,若父母存在中缝不齐、牙列拥挤等问题,子女出现类似情况的概率较高。

后天因素则更多与生活习惯和口腔健康相关:①替牙期障碍,如乳牙早失、滞留或恒牙萌出顺序异常,导致牙齿萌出路径偏离;②不良口腔习惯,如长期咬唇、吐舌、吮指等,会持续对牙齿施加异常力量,推动中缝偏移;③牙周疾病,如牙龈炎、牙周炎导致牙槽骨吸收,牙齿失去支撑而移位;④外伤或肿瘤,导致颌骨骨折或牙齿脱落,后期修复或萌出异常引发中缝问题。
矫正牙齿中缝不齐的常用方法
矫正中缝不齐需根据病因、严重程度(轻度、中度、重度)及患者年龄(青少年、成年人)制定个性化方案,目前主流方法包括传统托槽矫正、隐形矫正、舌侧矫正等,具体对比如下:
| 矫正方式 | 原理 | 适用情况 | 优缺点 |
|---|---|---|---|
| 传统金属托槽矫正 | 通过金属托槽和弓丝施加持续力量,移动牙齿至正确位置,可配合颌内/颌外牵引调整中缝 | 各年龄段,尤其适合复杂错颌(如伴随严重拥挤、深覆合) | 优点:性价比高,适用范围广;缺点:美观性差,口腔异物感强,需注意口腔卫生 |
| 陶瓷托槽矫正 | 与金属托槽原理相同,托槽材质为透明陶瓷,更贴近牙齿颜色 | 对美观有要求,但复杂程度中等 | 优点:美观性较好;缺点:陶瓷材质脆性大,易崩裂,价格略高于金属托槽 |
| 隐形矫正 | 利用3D打印技术制作透明牙套,通过更换不同阶段牙套施加矫治力 | 轻中度中缝不齐,牙列拥挤不严重,成年人或配合度高的青少年 | 优点:美观、舒适、可自行摘戴;缺点:价格高,复杂病例效果有限,需严格佩戴(每天22小时以上) |
| 舌侧矫正 | 将托槽粘贴在牙齿舌侧面,完全隐藏于口腔内 | 对美观要求极高,经济条件允许的成年人 | 优点:美观性最佳;缺点:费用高,异物感强,清洁难度大,对医生技术要求高 |
| 正畸-正颌联合治疗 | 对于严重颌骨畸形导致的中缝不齐(如下颌偏斜、上颌发育不足),需先通过正颌手术调整颌骨位置,再配合正畸精细调整牙齿 | 成年人骨性畸形,单纯正畸无法解决中缝问题 | 优点:从根本上解决骨性问题,效果稳定;缺点:创伤大,费用高,需多学科协作 |
矫正过程中的注意事项
牙齿中缝矫正周期较长(通常6-24个月),期间需密切配合医生,以确保效果:
- 口腔卫生维护:矫正时牙齿表面托槽、弓丝等附件易堆积食物残渣,需使用正畸专用牙刷(如“V”形牙刷)、牙线、冲牙器每日清洁,避免龋齿和牙周炎。
- 饮食调整:避免过硬(如坚果、骨头)、黏性(如口香糖、年糕)食物,防止托槽脱落;啃食类食物(如苹果、玉米)需切成小块食用。
- 定期复诊:通常每4-6周复诊一次,医生会调整弓丝力度、检查牙齿移动情况,若托槽脱落需及时处理,避免影响矫正进度。
- 佩戴保持器:矫正结束后需立即佩戴保持器(通常透明压膜保持器或 Hawley 保持器),前6个月需全天佩戴(进食、刷牙时取下),之后逐渐减少至夜间佩戴,防止中缝复发。
常见问题与应对
矫正中可能出现中缝调整缓慢、疼痛等不适,需及时与医生沟通:

- 中缝移动慢:可能与牙齿阻力、牙根吸收有关,医生可能需更换更粗的弓丝或增加辅助装置(如种植钉)。
- 疼痛或不适:初戴矫正器或每次调整后3-5天可能出现酸胀痛,可遵医嘱服用非甾体抗炎药(如布洛芬),避免咀嚼过硬食物。
FAQs
问题1:矫正中缝不齐需要拔牙吗?
答:是否拔牙取决于牙齿拥挤程度和颌骨空间,若中缝不齐伴随严重牙列拥挤(如“虎牙”外凸),医生可能需拔除部分前磨牙(如第一前磨牙),为牙齿移动提供空间,避免“以小排大”导致中缝不稳定,若轻度拥挤或骨量充足,可通过扩大牙弓、推磨牙向远中等方式避免拔牙。
问题2:成年人矫正中缝不齐和青少年有什么区别?
答:成年人矫正需考虑更多因素:①颌骨已定型,骨性畸形需配合正颌手术;②牙周条件要求更高,若有牙周病需先治疗再矫正;③矫正周期可能更长(成年人新陈代谢慢,牙齿移动速度较青少年慢10%-20%);④对美观需求更高,更倾向选择隐形或舌侧矫正,但成年人配合度高,能严格遵循医嘱,矫正效果同样稳定。

