颅骨矫正与牙齿矫正是两种针对人体不同部位的医疗干预手段,前者聚焦颅骨形态与结构的异常调整,后者则致力于牙齿排列、咬合关系及颌骨发育的改善,尽管两者均可能涉及“矫正”以实现功能与外观的优化,但在矫正对象、核心目的、技术方法及临床应用等方面存在本质区别,本文将从多个维度详细解析两者的差异,帮助读者清晰理解其各自的特点与适用场景。
颅骨矫正的解剖基础是颅骨,由多块扁平骨(如顶骨、额骨、颞骨等)通过颅缝连接而成,构成颅腔,容纳和保护脑组织,其矫正对象是颅骨的形态学异常,如颅缝早闭导致的头颅畸形、颅骨缺损、不对称或外伤后的凹陷等,核心是调整颅骨的几何结构与空间位置,牙齿矫正的解剖基础是牙列、牙槽骨、上下颌骨及牙周组织,矫正对象是牙齿的排列异常(拥挤、稀疏、错位)、咬合紊乱(深覆合、深覆盖、反颌等)及颌骨发育不调(如上颌前突、下颌后缩),核心是重建牙齿与颌骨的功能性位置关系。

从核心目的与临床意义看,颅骨矫正的首要目的是解决因颅骨异常引发的生理功能障碍,如颅缝早闭导致颅腔容积受限,可能引起颅内压增高、头痛、视力障碍甚至神经发育迟滞,通过矫正恢复颅腔正常容积,解除对脑组织的压迫;其次为改善外观,如纠正“舟状头”“短头畸形”等异常头型,避免因头型异常导致的心理影响,牙齿矫正的核心目的是恢复口腔功能,包括建立稳定的咬合关系(提高咀嚼效率,避免颞下颌关节紊乱)、改善发音功能;其次为美学改善,如通过排列整齐的牙齿、协调的唇齿关系提升笑容美观度,纠正因牙齿问题导致的面部不对称(如下颌偏斜)。
适用症状与人群方面,颅骨矫正的适应症主要包括:①先天性颅骨畸形:如颅缝早闭(矢状缝、冠状缝、人字缝早闭等)、颅面发育综合征(如Crouzon综合征、Apert综合征);②后天性颅骨缺损:如颅脑外伤、肿瘤切除后的颅骨缺损;③颅骨形态异常:如颅骨不对称、颅骨凹陷畸形等,多见于婴幼儿(先天性颅缝早闭)及外伤/术后患者,牙齿矫正的适应症则涵盖:①牙列拥挤或稀疏;②错颌畸形:如龅牙(上颌前突)、地包天(下颌前突)、深覆合(上牙盖下牙过多)、开颌(上下牙无法咬合);③颌骨发育异常:如下颌后缩、上颌前突;④中线偏斜:牙齿中线与面部中线不一致,适用于各年龄段,但青少年(生长发育期)是矫正黄金期,可通过生长改良治疗简化矫正难度;成人矫正则更多侧重于固定错颌及改善美观。
技术方法与操作流程上,颅骨矫正的技术方法因病因和畸形类型而异:①非手术矫正:适用于婴幼儿颅缝早闭,如通过3D打印定制矫形头盔,利用持续压力引导颅缝正常生长,需定期调整压力,佩戴6-12个月;②手术矫正:是中重度颅骨畸形的主要手段,如颅缝再造术(切开早闭颅缝,植入人工材料)、颅骨成形术(利用钛板、PEEK材料等修复缺损)、颅骨牵引术(通过外固定装置逐步扩张颅骨),手术需在全麻下进行,术前需进行详细影像学评估(CT、三维重建),术后需密切观察神经功能,牙齿矫正的技术方法则更多样化:①固定矫治器:通过托槽、弓丝施加持续力,如传统金属托槽、陶瓷托槽、自锁托槽,适用于各类错颌畸形;②活动矫治器:如功能性矫治器(FRⅢ、Twin-block),用于青少年颌骨生长改良;③隐形矫治:如隐适美、时代天使,通过一系列透明牙套逐步移动牙齿,美观便捷,适用于轻度至中度错颌畸形;④辅助治疗:如种植支抗、微种植钉,提供更强的支抗控制,矫正流程包括口腔检查、模型采集、影像学检查(X光片、CBCT)、方案设计、粘接托槽/佩戴牙套、定期复诊调整、保持器佩戴等。
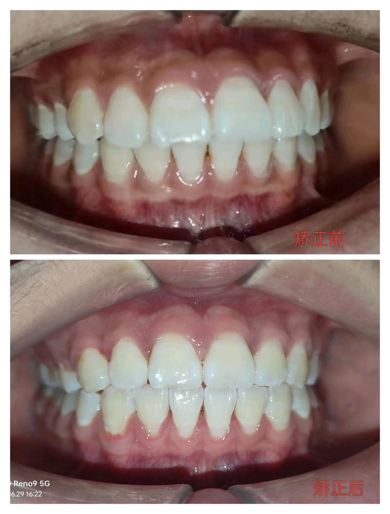
治疗周期与预后也存在显著差异:颅骨矫正的治疗周期因畸形复杂度和治疗方法差异较大:婴幼儿矫形头盔矫正需6-12个月,期间每月复查调整;手术矫正术后住院1-2周,完全恢复需1-3个月,复杂病例可能需要多次手术,预后方面,早期干预的颅缝早闭矫正效果较好,可恢复正常颅型及神经功能;颅骨缺损修复预后与材料选择、手术技术相关,多数患者外观改善明显,但远期可能需二次手术调整,牙齿矫正的治疗周期普遍较长:一般1-3年,成人或复杂病例可能延长至3-5年;保持器阶段需持续佩戴2-3年,部分患者需终身夜间佩戴,预后方面,牙齿矫正的效果稳定,但存在复发可能,尤其是不良习惯(如吐舌、咬唇)未纠正或保持不当者;通过正畸治疗,多数患者可实现牙齿整齐、咬合稳定、面型改善。

风险与并发症层面,颅骨矫正作为外科手术,风险相对较高:①手术相关风险:麻醉意外、术中出血、感染、植入物排异或松动;②神经损伤:可能损伤面神经、视神经等,导致相应功能障碍;③颅内并发症:如脑脊液漏、颅内血肿;④术后复发:尤其是生长中的婴幼儿,可能需二次矫正,牙齿矫正的风险较低,但仍需注意:①口腔并发症:牙釉质脱矿(托槽周围白斑)、牙龈炎、牙周炎;②牙根吸收:长期正畸力可能导致牙根缩短;③颞下颌关节紊乱(TMD):表现为关节弹响、疼痛,与咬合调整不当相关;④复发:牙齿有回到原始位置的趋势,需严格佩戴保持器。
美学目标与社会意义上,颅骨矫正的美学目标是“头颅形态正常化”,即恢复头颅的对称性、圆润度及与面部的比例协调,避免“头型异常”带来的视觉突兀,尤其对婴幼儿而言,正常头型有助于社会融入与心理健康,牙齿矫正的美学目标则是“笑容与面型优化”,包括牙齿整齐度、牙龈曲线美观、唇齿关系(如微笑时上露6颗牙,下唇不包上牙)、面部中线对称等,通过改善“笑容线”提升个人自信与社会交往质量。
专业领域与多学科协作方面,颅骨矫正涉及多学科协作,通常由口腔颌面外科医生、神经外科医生、整形外科医生、放射科医生及麻醉科医生共同参与,需综合评估颅骨形态、脑功能及生长发育情况,牙齿矫正则主要由口腔正畸医生主导,需配合口腔内科(处理牙周问题)、修复科(联合修复治疗)等,正畸医生需具备扎实的牙颌面解剖学、生物力学及材料学知识。
术后护理与生活质量方面,颅骨矫正术后护理要求严格:①伤口护理:保持敷料清洁干燥,避免碰撞头部;②病情监测:观察意识、瞳孔、肢体活动等神经功能,定期复查CT;③生活管理:术后3个月内避免剧烈运动,防止植入物移位,生活质量方面,术后短期内可能因疼痛、肿胀影响活动,但长期可显著改善因颅骨异常导致的头痛、视力问题等,提升生活质量,牙齿矫正的术后护理侧重口腔卫生:①正确刷牙(巴氏刷牙法)、使用牙线、冲牙器,避免托槽周围食物残留;②饮食禁忌:避免过硬、黏性食物,防止托槽脱落;③定期复诊:每4-6周调整一次弓丝,确保牙齿按计划移动,生活质量方面,矫正初期可能因疼痛、口腔异物感不适,但牙齿整齐后可提升咀嚼效率、改善发音,增强社交自信。
为更直观对比两者的差异,可通过以下表格总结:
| 维度 | 颅骨矫正 | 牙齿矫正 |
|---|---|---|
| 矫正对象 | 颅骨形态、结构(颅缝、对称性、容积) | 牙齿排列、咬合关系、颌骨发育 |
| 核心目的 | 恢复颅腔容积、解除脑组织压迫、改善头型 | 建立稳定咬合、改善咀嚼功能、优化笑容 |
| 适用症状 | 颅缝早闭、颅骨缺损、颅骨畸形 | 牙列拥挤/稀疏、错颌畸形、颌骨发育异常 |
| 主要技术 | 矫形头盔、颅骨成形术、颅缝再造术 | 固定/活动矫治器、隐形矫正、功能矫治器 |
| 治疗周期 | 6个月-3个月(手术) | 1-3年(矫正)+2-3年(保持) |
| 风险等级 | 较高(手术风险、神经损伤) | 较低(牙釉质脱矿、牙龈炎、复发) |
| 专业领域 | 口腔颌面外科、神经外科、整形外科 | 口腔正畸学 |
| 术后护理 | 伤口护理、神经功能监测、避免碰撞 | 口腔卫生、饮食管理、定期复诊调整 |
| 费用范围 | 数万至数十万(手术及植入物) | 几千至数万(因矫治器类型差异大) |
颅骨矫正与牙齿矫正如同一枚硬币的两面,前者关注“颅”的形态与功能,后者聚焦“牙”的排列与咬合,两者在解剖基础、治疗目标、技术手段上存在本质区别,但最终均指向“功能与外观的统一”,理解这些差异,有助于患者根据自身需求选择合适的矫正方案,也提醒医疗从业者需精准把握适应症,为患者提供个体化治疗。
FAQs
Q1: 颅骨矫正和牙齿矫正可以同时进行吗?
A1: 需根据具体病情判断,若患者同时存在颅骨畸形(如颅面发育综合征导致的颅骨狭窄及上颌发育不足)和牙齿错颌畸形,可能需多学科协作(口腔颌面外科与正畸科联合治疗),通常建议先进行颅骨矫正(尤其婴幼儿颅缝早闭需早期干预),待颅骨形态稳定后,再进行牙齿矫正;若为成人,可评估两者相互影响,必要时通过正颌手术(颌骨矫正)联合正畸治疗实现颅颌面整体改善,但需严格制定分期方案,避免相互干扰。
Q2: 成年人做颅骨矫正或牙齿矫正有年龄限制吗?
A2: 两者对年龄的要求不同:①颅骨矫正:成年人颅骨已完全骨化,无法通过非手术方法(如矫形头盔)调整形态,仅能通过手术(如颅骨成形术修复缺损、截骨术调整畸形)矫正,无绝对年龄上限,但需评估全身状况(如是否有高血压、糖尿病等基础疾病,影响手术耐受性);②牙齿矫正:成年人无绝对年龄限制,只要牙周健康(无严重牙周炎、牙槽骨吸收),均可进行矫正,但成年人与青少年相比,矫正周期可能更长(颌骨停止生长,牙齿移动较慢),且可能需联合牙周治疗、修复治疗(如种植牙)等,需正畸医生全面评估后制定方案。
