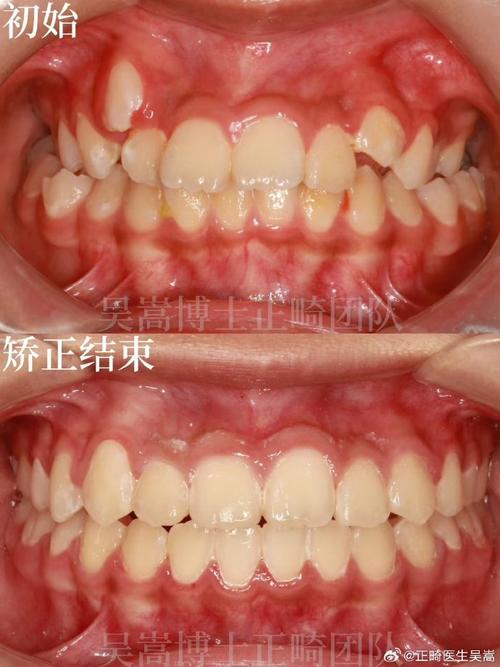
虎牙是口腔中非常重要的牙齿,位于口腔口角两侧,学名尖牙,因其牙根粗长、牙冠尖锐,在咀嚼功能中扮演着撕裂食物的关键角色,同时还能支撑口角轮廓,维持面部饱满度,临床上,不少患者因虎牙突出、排列不齐而寻求矫正,但“拔牙”二字常让人望而却步,随着正畸技术的发展,“虎牙不拔牙矫正”已成为许多可行方案,其核心是通过非拔牙方式为虎牙创造移动空间,兼顾功能与美观,这种方法并非适用于所有人,需严格评估条件,并选择合适的矫正策略。
虎牙不拔牙矫正的适用条件
虎牙不拔牙矫正的前提是牙列有足够的“可利用空间”,这需要结合患者的牙齿拥挤程度、骨骼形态、面部软组织状态等多因素综合判断,具体而言,适用情况通常包括:

牙列轻度到中度拥挤:若上下前牙总拥挤度在4-6mm以内(即所有牙齿排列不齐的总间隙不足),一般可通过扩弓、推磨牙向后或邻面去釉等方式获得空间,无需拔牙,虎牙稍向唇侧倾斜,但前方牙弓有轻微弧度,可通过调整牙弓形态容纳虎牙。
颌骨大小与牙齿量基本协调:若患者上下颌骨大小正常,无明显前突或后缩,牙齿总量与颌骨空间匹配,仅因个别牙齿(如虎牙)位置异常导致拥挤,不拔牙即可通过移动其他牙齿为虎牙“让位”。
面部软组织协调:若患者面部饱满度适中,口角无明显塌陷,拔牙可能导致面中份凹陷,此时不拔牙矫正更能维持面部自然形态,反之,若本身面部凹陷,拔牙后可能加重“瘪嘴”外观,需谨慎选择。
口腔卫生状况良好:矫正期间需佩戴矫治器(如托槽、牙套),若患者口腔卫生差,易引发龋齿、牙周炎,可能影响矫正效果,不拔牙矫正通常涉及更多牙齿移动,对口腔卫生要求更高。

年龄因素:青少年处于生长发育期,颌骨仍有潜力,可通过扩弓、功能矫治器等方式扩大牙弓,为虎牙提供空间;成年人颌骨发育完成,需依赖牙齿代偿性移动,对医生技术要求更高,但只要条件允许,同样可实现不拔牙矫正。
虎牙不拔牙矫正的常用方法
为避免拔牙,正畸医生会通过多种方式“创造”或“利用”空间,以下是几种主流技术:
扩大牙弓(扩弓)
原理:通过扩大上下颌牙弓的宽度和长度,为虎牙提供额外的排列空间。
- 快速扩弓(RME):使用螺旋扩弓器,固定于上颌第一前磨牙和第一磨牙,每日旋转加力(通常每次1/4圈),快速打开腭中缝,扩大上颌牙弓,适用于上颌牙弓狭窄、腭盖高拱的患者,一般1-2周可完成扩弓,之后需保持3-6个月。
- 慢速扩弓(SME):通过活动矫治器或固定矫治器,逐渐扩大牙弓,每次加力力度较小(如每周1次),扩弓速度慢但稳定性较好,适用于轻度牙弓狭窄的青少年。
注意:扩弓后需长期保持,否则易复发;若患者腭中缝已完全闭合(通常成年后),扩弓效果有限,需结合其他方法。
推磨牙向后
原理:通过矫治装置将后牙(第一磨牙或第二前磨牙)向远中(口腔后方)移动,为前牙(包括虎牙)释放间隙。

- 传统装置:如摆式矫治器、磁力牵引装置,利用后牙支抗,将磨牙整体向后移动,适用于磨牙关系中性或轻度近中(即上颌磨牙稍靠下颌磨牙前方),且后牙有足够移动空间的患者。
- 微种植体支抗:在颌骨内植入直径1.5-2mm的钛种植钉,作为“支抗点”,通过牵引装置高效移动磨牙,这种方法力量精准、可控性强,适用于成人或复杂病例,但属于有创操作,需严格无菌。
邻面去釉(IPR)
原理:通过磨除相邻牙齿邻面少量釉质(每颗牙0.25-0.5mm,总厚度不超过1mm),获得2-4mm的间隙,用于解除轻度拥挤。
操作:医生使用细长金刚砂车针,在局部麻醉下(部分患者无需麻醉)均匀磨除釉质,表面抛光光滑,避免龋齿。
适用:适用于牙冠宽度较大、轻度拥挤(拥挤度<4mm)的患者,尤其适合前牙“拥挤但牙弓长度足够”的情况,优点是无创、可重复,但对医生操作精度要求高,需磨除量适中,避免损伤牙本质。
隐形矫正的精细控制
隐形矫正(如隐适美、时代天使)通过3D打印一系列透明牙套,每副牙套对牙齿施加轻微、持续的力,逐步移动虎牙至目标位置。
优势:可提前模拟整个矫正过程,医生通过设计“附件”(牙套上的小凸点)、“牵引钩”等辅助装置,精确控制虎牙的移动方向(如压低、舌向移动),避免拔牙,对于虎牙唇侧倾斜的患者,可通过牙套将虎牙整体后移、压低,同时内收前牙。
要求:患者需每日佩戴20小时以上,每1-2周更换一副牙套,并定期复诊调整方案。
正畸辅助装置
- 弹簧片或橡皮筋牵引:在固定矫治器上焊接拉钩,使用镍钛弹簧片或橡皮筋,将虎牙向前或向远中牵引,调整其位置。
- 活动矫治器:如Hawley保持器改良型,通过弹簧片和卡环,引导虎牙排列,适用于简单病例或矫正后期精细调整。
虎牙不拔牙矫正的优势与风险
优势
- 保留天然牙:拔牙属于有创操作,可能损伤牙根、邻牙或牙周组织,不拔牙矫正避免了拔牙相关的并发症(如出血、感染、邻牙敏感)。
- 维持面部饱满度:虎牙牙根粗长,位于牙弓较突出的位置,拔牙后可能导致口角塌陷、面中份凹陷,影响美观;不拔牙矫正能保留虎牙支撑面部轮廓,尤其适合对美观要求高的患者。
- 治疗周期相对可控:拔牙后需等待拔牙窝愈合(通常1-2个月),不拔牙矫正可立即开始牙齿移动,部分病例治疗时间更短。
风险与局限性
- 空间有限,适用范围窄:若牙列严重拥挤(拥挤度>8mm)、颌骨发育不足(如骨性III类错颌),不拔牙可能无法完全解除拥挤,导致矫正效果不稳定或复发。
- 对医生技术要求高:不拔牙矫正需精细设计牙齿移动路径,避免“顾此失彼”(如内收虎牙导致前牙覆合覆盖异常),需经验丰富的正畸医生操作。
- 复发风险稍高:通过扩弓、邻面去釉获得的间隙可能存在一定复发倾向,需长期佩戴保持器(通常至少2年,夜间终身佩戴)。
- 费用可能更高:隐形矫正、微种植体支抗等技术成本较高,总费用可能略高于传统拔牙矫正。
虎牙不拔牙矫正的注意事项
- 严格术前评估:需通过全景片、头颅侧位片、CBCT等影像学检查,分析牙齿拥挤度、牙根位置、颌骨形态,结合口腔模型和面部照片,由医生判断是否适合不拔牙矫正。
- 保持口腔卫生:矫正期间食物易嵌塞,需使用正畸牙刷、牙线、冲牙器清洁,避免托槽周围积存食物残渣,导致龋齿或牙周炎。
- 定期复诊调整:根据牙齿移动情况,医生需调整矫治器(如更换隐形牙套、加力弹簧片),通常每4-6周复诊一次,确保矫正方向正确。
- 避免咬硬物:佩戴矫治器期间,避免啃咬坚果、骨头等硬物,防止托槽脱落或弓丝变形,影响矫正进度。
- 重视保持阶段:矫正结束后,必须佩戴保持器(通常为透明压膜保持器或Hawley保持器),虎牙位置易复发,需严格遵医嘱佩戴时间。
虎牙不拔牙矫正方法对比
为更直观展示不同技术的特点,以下为常用方法的简要对比:
| 方法 | 核心原理 | 适用情况 | 主要优势 | 潜在风险 | 治疗周期(参考) |
|---|---|---|---|---|---|
| 快速扩弓(RME) | 打开腭中缝,扩大上颌牙弓宽度 | 上颌牙弓狭窄、腭盖高拱的青少年 | 见效快,快速解除前牙拥挤 | 腭部可能酸痛,复发风险需保持 | 1-2周扩弓+3-6个月保持 |
| 推磨牙向后 | 将后牙向远中移动,释放前牙间隙 | 磨牙关系中性、后牙有移动空间的成人/青少年 | 间隙充足,稳定性较好 | 可能需要支抗(如种植钉),有创 | 6-12个月 |
| 邻面去釉(IPR) | 磨除邻面釉质,获得少量间隙 | 轻度拥挤、牙冠宽度较大的患者 | 无创、可重复,不改变牙弓形态 | 需精确控制磨除量,避免损伤牙本质 | 2-4周(分次进行) |
| 隐形矫正 | 透明牙套逐步移动虎牙 | 对美观要求高、配合度好的成人/青少年 | 美观舒适,可摘戴,方案精准 | 费用高,依赖患者配合 | 12-24个月 |
| 微种植体支抗 | 种植钉作为支抗,高效移动牙齿 | 复杂病例、成人骨性代偿不足 | 移动精准,效率高,支抗稳定 | 微创手术,存在种植钉松动风险 | 6-18个月 |
相关问答FAQs
问题1:不拔牙矫正虎牙后,虎牙会自己退回去吗?需要终身戴保持器吗?
解答:虎牙移动后有一定复发倾向,尤其是治疗结束初期,牙齿周围的牙槽骨和牙周组织需要时间重建稳定。必须佩戴保持器是关键,一般矫正结束后,白天需佩戴透明压膜保持器1年,夜间需长期佩戴(至少2年,之后可逐渐减少至每周2-3次,甚至终身夜间佩戴),若自行停戴,虎牙或前牙可能因肌肉力量、舌位等因素逐渐移回原位,导致矫正失败。
问题2:虎牙不拔牙矫正适合所有年龄的人吗?成年人做有什么特别要注意的?
解答:不拔牙矫正并非绝对适合所有年龄,需结合个体条件判断。青少年(12-18岁)因颌骨处于生长发育期,可通过扩弓、功能矫治器等方式自然获得空间,是主要适用人群;成年人(18岁以上)颌骨已定型,但只要牙列拥挤度轻、骨骼关系基本正常,仍可通过推磨牙、邻面去釉、微种植体支抗等方法实现不拔牙矫正,成年人需特别注意:①牙周健康:若存在牙周炎,需先治疗控制炎症,否则牙齿移动可能加重牙周破坏;②骨量评估:可通过CBCT检查牙根周围骨量,确保牙齿移动有足够骨支持;③时间与配合度:成人矫正周期较长(通常1.5-2年),需有足够耐心,尤其隐形矫正需严格佩戴牙套,避免因工作繁忙影响进度。
