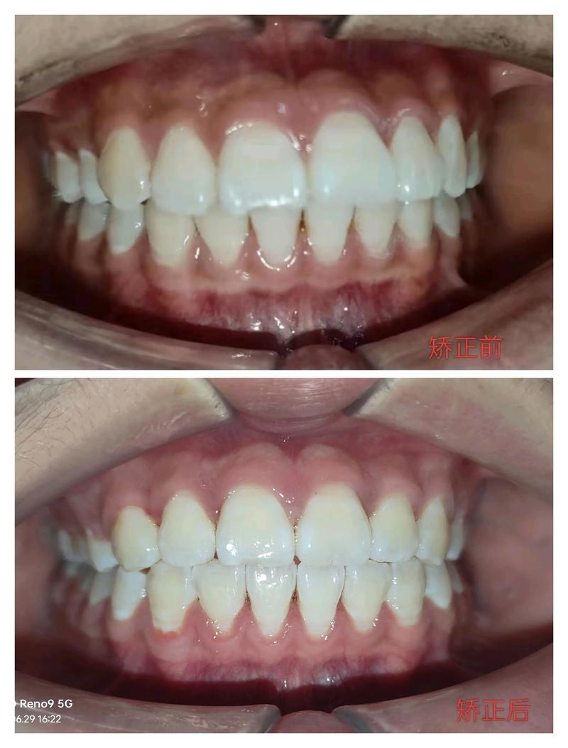
矫正牙齿后牙齿前倾是指患者在完成正畸治疗、拆除矫治器后,原本已经排列整齐的牙齿逐渐出现向前倾斜、唇倾的情况,可能伴随牙缝增大、咬合关系改变等问题,不仅影响美观,还可能对口腔功能及健康造成潜在威胁,这种情况在正畸临床上并不少见,其发生与多方面因素相关,需要引起重视并及时干预。
矫正后牙齿前倾的常见原因及具体表现
牙齿前倾并非单一因素导致,而是矫正设计、保持阶段及个体条件共同作用的结果,以下通过表格梳理其主要原因及临床表现:

| 原因类别 | 具体原因 | 临床表现 |
|---|---|---|
| 矫正设计因素 | 托槽位置偏差:粘接托槽时位置不准确,导致牙齿移动方向偏离,牙根未完全直立。 | 拆除矫治器时牙冠排列整齐,但牙根唇倾;咬合时前牙受力不均。 |
| 牙齿过度移动:为排齐拥挤牙齿,过度扩大牙弓或前移前牙,超出生理范围。 | 前牙区牙冠突出,微笑时露齿过多,深覆盖(上前牙覆盖下前牙距离过大)复发。 | |
| 保持阶段因素 | 保持器佩戴不当:未按医嘱全天或夜间佩戴保持器,尤其是夜间佩戴时间不足。 | 保持器与牙齿不贴合,牙齿在咬合力作用下逐渐回位至前倾位置。 |
| 保持器设计不合理:保持器未包裹所有牙齿,或对前牙区缺乏足够的包裹支撑。 | 保持器无法有效限制前牙移动,尤其是下前牙或上前牙唇侧无阻挡。 | |
| 个体及口腔环境因素 | 不良口腔习惯:矫正后仍存在吐舌、咬上唇、吮指等习惯,持续对前牙施加唇向力。 | 前牙逐渐唇倾,牙间隙增大,甚至出现开颌(上下前牙无法接触)。 |
| 牙周支持不足:患者存在牙周炎或牙槽骨吸收,牙齿根基松动,难以抵抗外力。 | 牙齿整体唇倾,牙龈退缩,牙齿松动度增加,咬合时易酸痛。 | |
| 口周肌肉力量失衡:口轮匝肌(口唇肌肉)过紧,或颊肌力量不足,导致前牙唇倾趋势。 | 闭唇时需用力收缩口唇,微笑时上唇紧张,前牙区牙列突明显。 |
牙齿前倾的主要影响
牙齿前倾的危害不仅限于美观,更可能引发一系列口腔健康问题:
- 美观与心理影响:前牙唇倾会导致“龅牙”外观,影响面部侧面轮廓,尤其对微笑曲线造成破坏,可能降低患者自信心,产生社交焦虑。
- 咬合功能紊乱:前牙过度前倾可能破坏前牙的切割功能,同时导致后牙咬合接触不良,咀嚼效率下降,长期还可能引发颞下颌关节紊乱(如关节弹响、疼痛)。
- 牙周健康风险:牙齿唇倾后,牙冠与牙龈之间的生物学宽度可能异常,易导致牙龈萎缩、牙根暴露,增加牙周炎发病风险,严重时甚至导致牙齿脱落。
- 牙体损伤风险:前牙唇倾后,牙冠突出,受到外力撞击时(如意外摔倒、运动碰撞)更容易发生牙折或牙缺损。
矫正后牙齿前倾的处理方法
针对牙齿前倾的严重程度及病因,处理方式需个体化设计:
- 轻度前倾(早期干预):若拆除矫治器后前牙轻微唇倾,牙根直立,可通过调整保持器解决,更换为带有“前牙阻挡”的保持器(如哈雷保持器增加唇侧挡板),或延长夜间佩戴时间至10-12小时,通常3-6个月可控制移动趋势。
- 中度前倾(正畸微调):若前牙唇倾明显,但牙列整体稳定,可通过简单正畸治疗调整,使用隐形矫治器或固定矫治器,对前牙施加舌向力,使牙冠回位,疗程约3-6个月,期间需配合良好保持。
- 重度前倾(综合治疗):若前牙唇倾伴随牙根严重倾斜、牙间隙过大或牙周问题,需先进行牙周治疗(控制炎症、牙槽骨再生),再通过全面正畸治疗重新排齐牙列,必要时结合修复治疗(如贴面、冠修复)改善牙冠形态。
- 纠正不良习惯:针对吐舌、咬唇等习惯,可通过肌功能训练(如使用肌功能矫治器)或行为干预,消除对前牙的异常唇向力。
相关问答FAQs
Q1:矫正后牙齿前倾一般会在多久内出现?
A:牙齿前倾的出现时间因人而异,多数患者在拆除矫治器后6个月至2年内逐渐显现,尤其是保持器佩戴不规律或存在不良习惯者,可能在3-6个月内即出现明显变化,矫正后前1-2年是保持的关键期,需严格佩戴保持器并定期复查(通常每3-6个月1次)。
Q2:牙齿前倾不处理会有什么后果?
A:若不及时处理,轻度前倾可能逐渐加重,发展为中度甚至重度前倾,导致美观问题恶化、咬合功能严重受损,同时牙周组织持续受累,可能出现牙龈萎缩、牙槽骨吸收、牙齿松动,最终增加牙齿脱落风险,前牙过度突出还可能增加外伤概率,影响口腔健康及生活质量。


