矫正牙齿牙神经坏死,是指在牙齿矫正过程中,由于各种因素导致牙髓(俗称“牙神经”)血液供应受损或发生感染,最终引发牙髓组织缺血、液化、坏死的病理过程,牙髓是牙齿内部包含神经、血管、淋巴管和结缔组织的复杂结构,具有营养牙齿、形成牙本质及感受外界刺激的重要功能,一旦坏死,牙齿将失去活力,甚至引发根尖周病变,影响矫正效果及口腔健康。
矫正牙齿牙神经坏死的原因分析
牙齿矫正过程中,牙神经坏死并非普遍发生,但可能与以下因素相关:

- 正畸力过大或过集中:牙齿移动过程中,若施加的力量过大、移动速度过快,或对个别牙齿施加过大的扭力、压人力,可能导致牙根尖部血管受压或扭曲,影响牙髓血液供应,引发缺血性坏死。
- 牙根吸收:部分患者存在易感牙根吸收的体质,或在矫正过程中牙根过度吸收(尤其是根尖吸收),可能损伤根尖孔处的血管,导致牙髓营养中断而坏死。
- 牙齿外伤:矫正前存在未察觉的隐裂、牙外伤史,或矫正过程中托槽、弓丝等意外撞击牙齿,可能直接损伤牙髓或引发细菌感染,导致牙髓炎进展为坏死。
- 个体差异:年龄、牙髓血供状态(如糖尿病患者血管弹性差)、牙髓钙化程度等个体因素,也会影响牙髓对正畸力的耐受性。
牙神经坏死的临床表现与诊断
牙神经坏死的早期症状可能不明显,随着病情进展,可出现以下表现:
- 牙齿变色:坏死后的牙髓组织分解产物渗透至牙本质,可能导致牙齿逐渐变为暗灰色或灰黑色。
- 疼痛变化:早期可能出现冷热刺激痛,随着牙髓坏死,神经死亡后疼痛反而减轻或消失,但发展为根尖周炎时会出现咬合痛、叩痛。
- 牙根吸收:通过X光片检查可观察到牙根长度缩短、根尖周骨质破坏等吸收表现。
- 牙髓活力测试异常:冷热测试、电活力测试无反应,提示牙髓失去活力。
矫正牙齿牙神经坏死常见原因及机制
| 原因分类 | 具体机制 | 相关风险因素 |
|----------------|--------------------------------------------------------------------------|-----------------------------------------------------------------------------|
| 正畸力因素 | 力量过大导致根尖血管受压,牙髓缺血;或牙根移动中侧支循环受损 | 快速移动牙齿、强支抗设计、个别牙加力不当 |
| 牙根吸收 | 根尖孔或牙根侧方吸收破坏牙髓血管通道 | 遗传性易吸收体质、矫正前牙根较短、成年患者 |
| 牙齿外伤 | 外力直接损伤牙髓或引发细菌感染,导致牙髓坏死 | 矫正前隐裂牙、未处理的外伤牙、矫正中意外撞击 |
| 个体因素 | 牙髓血供代偿能力差、钙化严重影响营养输送 | 年龄(青少年血供较好,成年较差)、系统性疾病(如糖尿病、高血压) |
牙神经坏死的治疗与处理
若矫正过程中发现牙神经坏死,需及时干预,避免影响矫正进程及牙齿长期健康:
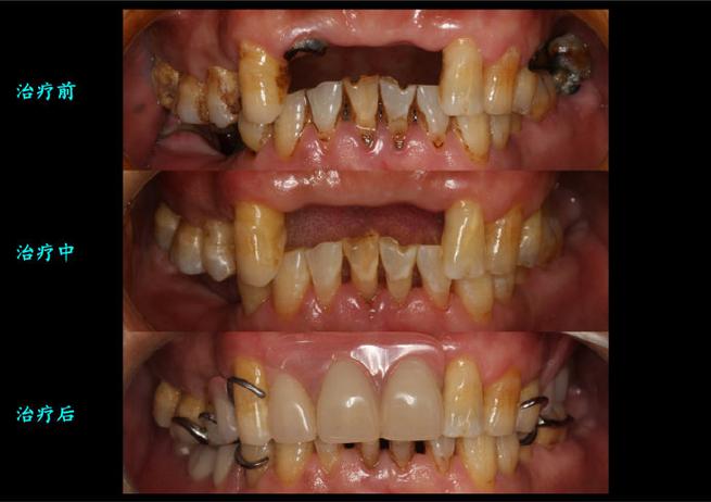
- 根管治疗:是核心治疗手段,通过清除坏死的牙髓组织,对根管系统进行清创、消毒和充填,消除感染源,保存患牙,根管治疗后,牙齿失去牙髓营养,可能变脆,需注意避免咬硬物。
- 调整正畸方案:在根管治疗期间,可能需暂停或调整对患牙的加力,待根管治疗完成后,评估牙齿稳定性再继续矫正,若牙根吸收严重,可能需延长矫正时间或调整治疗目标。
- 修复治疗:根管治疗后的牙齿需进行冠修复(如全瓷冠、金属冠),以恢复牙齿外形、强度及咬合功能,同时防止继发龋坏。
预防措施
为降低矫正过程中牙神经坏死的风险,需注意:

- 术前全面评估:通过X光片、牙髓活力测试等检查,排除牙根吸收、牙髓病变等潜在风险,尤其对成年患者、有外伤史者需重点评估。
- 控制正畸力度:遵循“轻力矫治”原则,避免急速移动牙齿,定期拍摄X光片监测牙根情况,及时发现并处理牙根吸收。
- 加强口腔卫生:矫正期间保持口腔清洁,避免牙龈炎、牙周炎,减少细菌感染风险。
- 定期复查:矫正期间每3-6个月复查,观察牙齿反应、牙髓活力及根尖周状况,早发现早处理。
相关问答FAQs
Q1:矫正牙齿后牙神经坏死一定是医生操作不当吗?
A1:不一定,牙神经坏死是多因素作用的结果,虽然医生需严格控制正畸力度、规范操作(如避免过度加力、及时处理牙根吸收),但个体差异(如易吸收体质、潜在牙髓病变)也可能导致坏死,需综合评估原因,不能简单归咎于操作不当。
Q2:矫正过程中如何早期发现牙神经坏死?
A2:早期可通过以下信号发现:牙齿出现不明原因的变色(如灰暗)、冷热刺激痛转为持续性咬合痛、牙龈反复肿胀,或正畸复查时牙髓活力测试异常、X光片显示根尖周骨质破坏,一旦出现上述症状,需及时告知医生,通过专业检查(如根尖X光片、牙髓温度测试)明确诊断,避免延误治疗。

