牙齿后部的大牙(通常指第一、第二磨牙)在牙齿矫正过程中出现拉歪的情况,并不少见,这种情况可能影响矫正效果、咀嚼功能甚至口腔健康,需要明确的是,“拉歪”可能表现为牙齿近远中向倾斜、颊舌向移位、扭转或与邻牙关系异常(如邻牙侵占空间导致大牙错位),以下从原因、影响、矫正方法及注意事项等方面详细分析。
大牙拉歪的常见原因
大牙位于牙列末端,萌出早、咬合力大,其位置异常往往与多种因素相关:

智齿(第三磨牙)的影响
这是最常见的原因之一,智齿萌出时(通常17-25岁),若空间不足或萌出方向异常(如近中阻生),会直接挤压前方的第二磨牙,导致其近中倾斜、移位,甚至与邻牙形成“食物嵌塞区”,进一步引发龋齿或牙周问题,数据显示,约40%的成人智齿存在不同程度的阻生,其中近中阻生占比超60%,是导致第二磨牙错位的首要因素。
牙周支持不足
大牙牙根粗大、承受咬合力强,若存在牙周炎(牙槽骨吸收、牙龈萎缩),牙齿会因失去骨支持而发生病理性移位,牙槽骨水平吸收可能导致牙齿整体倾斜,垂直吸收则可能引发牙齿伸长或“浮起”,表现为“拉歪”且伴随松动。
矫正方案设计或执行问题
在矫正过程中,若支抗控制不足(如后牙移动过多导致前牙反颌或拥挤未解决),或对大牙的移动设计不当(如过度内收、未考虑牙根形态),可能导致大牙位置异常,矫正器(如托槽)粘贴位置偏差、加力时机错误,也可能引发大牙扭转或倾斜。
牙齿缺失后的邻牙移位
若大牙后方的牙齿(如智齿)早失,或前方的牙齿缺失未及时修复,邻牙会向缺隙倾斜、移位,导致大牙失去邻牙约束而“拉歪”,第二磨牙缺失后,第一磨牙可能近中倾斜,与第二前牙形成“阶梯状”错位。

不良口腔习惯
长期偏侧咀嚼(仅用一侧大牙咀嚼)、夜磨牙(异常咬合力)、咬硬物(如开核桃、咬冰块)等习惯,会导致大牙受力不均,逐渐发生位置改变,偏侧咀嚼时,常用侧大牙过度磨耗,对侧大牙因缺乏咬合刺激而可能伸长,形成“咬合紊乱”。
大牙拉歪的影响
大牙作为“咀嚼主力”,其位置异常会引发一系列连锁问题:
咀嚼功能下降
大牙咬合面宽大、有多个尖窝结构,负责研磨食物,若拉歪后咬合关系紊乱,可能导致咀嚼效率降低,食物未被充分磨碎就进入胃肠道,增加消化负担,长期如此可能引发胃肠功能紊乱,表现为腹胀、消化不良等。
邻牙及牙周组织损伤
大牙拉歪后,与邻牙的接触点异常,易嵌塞食物,若清洁不到位,会导致邻牙龋坏(尤其是邻面龋),咬合力分布不均会使牙槽骨受力过大,引发牙槽骨吸收、牙龈萎缩,甚至牙齿松动,数据显示,牙齿错位患者的牙周炎发病率较正常排列者高2-3倍。

颞下颌关节紊乱(TMJ)
大牙是维持咬合高度的关键牙齿,其位置异常会导致咬合平面倾斜,下颌运动轨迹紊乱,长期可能引发颞下颌关节弹响、疼痛、张口受限等问题,临床统计显示,约30%的颞下颌关节紊乱患者存在后牙咬合异常。
面部美观影响
若大牙严重倾斜或移位,可能导致面部中线偏斜、咬肌不对称(因单侧咀嚼习惯),或面部垂直距离改变(如后牙伸长导致“下庭变长”),影响整体面部协调性。
大牙拉歪的矫正方法
矫正大牙拉歪需根据病因、错位程度及患者年龄制定个性化方案,核心原则是“病因治疗+牙齿移动+稳定维持”。
病因先行处理
- 智齿问题:若因智齿阻生导致第二磨牙移位,通常需先拔除阻生智齿,解除对第二磨牙的挤压,研究显示,拔除近中阻生智齿后,约70%的第二磨牙倾斜可自行部分纠正,剩余30%需结合正畸治疗。
- 牙周治疗:若存在牙周炎,需先进行牙周基础治疗(洁治、刮治、根面平整),待炎症控制、牙槽骨稳定后再开始矫正,否则移动牙齿可能加重骨吸收。
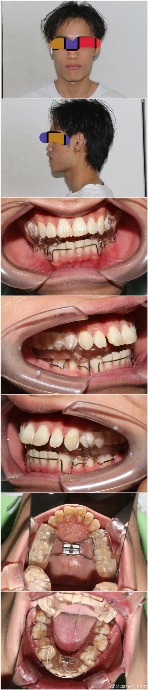
正畸治疗:精准移动大牙
根据错位类型选择矫正方式,以下是常见方法对比:
| 矫正方式 | 适应症 | 优点 | 缺点 | 周期 |
|---|---|---|---|---|
| 传统托槽矫正 | 各类大牙错位(倾斜、扭转、移位) | 力量控制精准,适用范围广,性价比高 | 美观度差,口腔异物感强,清洁难度大 | 12-24个月 |
| 自锁托槽矫正 | 中重度错位,需快速移动大牙 | 摩擦力小,移动效率高,复诊间隔长(4-6周) | 费用较高,仍需注意口腔卫生 | 10-20个月 |
| 隐形矫正 | 轻中度大牙倾斜、移位,对美观要求高者 | 美观(可摘戴),舒适度高,方便清洁 | 费用高,需严格佩戴(每天20小时以上),复杂错位效果有限 | 18-30个月 |
| 支抗钉辅助矫正 | 大牙严重移位(如需远中移动、直立倾斜) | 提供强大支抗,精准控制牙齿移动方向 | 有创(需植入牙槽骨),部分患者有恐惧心理 | 总周期延长2-3个月 |
具体操作示例:
- 大牙近中倾斜:若因智齿拔除后第一磨牙近中移位,可通过“推磨牙向后”技术矫正,常用方法包括:① 隐形矫正附件+橡皮筋牵引;② 传统矫正配合“滑动杆”装置;③ 支抗钉直接提供远中推力(力量约100-200g)。
- 大牙颊舌向倾斜/扭转:需通过托槽精确粘贴(如扭转牙的“轴倾”控制),配合镍钛丝、不锈钢丝逐步排齐,必要时使用“转矩簧”调整牙根方向。
- 大牙伸长:若因对颌牙缺失导致伸长,可先进行“牙冠降低”(调磨或根管治疗后截冠),再通过正压低装置(如摇椅弓、支抗钉+链状皮圈)压低牙齿。
矫正后稳定:防止复发
大牙矫正后复发风险较高,需严格保持:
- 保持器选择:首选“ Hawley保持器”(活动式,含钢丝和基托)或“透明压膜保持器”(覆盖全牙列),对于严重错位患者,建议同时佩戴上下颌保持器,夜间终身佩戴。
- 咬合调整:通过调磨早接触点,建立稳定的咬合关系,避免大牙因咬合干扰再次移位。
- 定期复查:矫正后每3-6个月复查1次,持续2年,之后每年1次,监测牙齿位置及牙周状况。
矫正过程中的注意事项
- 口腔卫生维护:大牙位置靠后,矫正时更易嵌塞食物,需使用正畸专用牙刷(如小头软毛刷)、牙线、冲牙器,每天至少刷牙3次,每次3分钟,避免托槽周围龋坏。
- 饮食调整:避免过硬(坚果、骨头)、黏性(口香糖、年糕)食物,防止托槽脱落或弓丝变形;少喝碳酸饮料,减少牙面脱矿。
- 配合医生:按时复诊(一般4-6周),若出现托槽脱落、弓丝刺嘴等情况,及时处理,切勿自行调整。
- 耐心与沟通:大牙移动速度较慢(每月约1mm),需耐心等待;若对矫正效果有疑问,及时与医生沟通,调整方案。
相关问答FAQs
Q1:大牙拉歪矫正需要拔牙吗?
A:不一定,需根据具体情况判断,若因智齿阻生导致,通常需拔除智齿;若因牙弓空间不足导致大牙拥挤,可能需拔除前磨牙为后牙移动创造空间;若牙弓空间充足,仅通过推磨牙、直立牙齿等方式即可矫正,则无需拔牙,医生会通过模型测量、X光片分析(如牙片、全景片)综合评估,制定拔牙方案。
Q2:矫正后大牙会再次拉歪吗?如何预防?
A:存在复发可能,主要与以下因素相关:① 未佩戴保持器(尤其是夜间);② 牙周支持不足(未治疗牙周炎);③ 不良习惯未纠正(如偏侧咀嚼、夜磨牙);④ 咬合关系不稳定(未调磨早接触点),预防措施包括:① 严格佩戴保持器(至少2年,建议终身夜间佩戴);② 定期牙周维护(每年1-2次洁治);③ 纠正不良习惯,如夜磨牙者佩戴颌垫;④ 矫正后定期复查(前2年每3-6个月1次),及时处理复发迹象。
