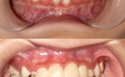
深覆合是口腔正畸中常见的错颌畸形类型,主要表现为上前牙切缘盖过下前牙牙冠过多,垂直距离过小,可能伴随下颌后缩、面部比例不协调等问题,长期存在可能导致咬合创伤、颞下颌关节紊乱甚至消化功能异常,其矫正过程需结合患者年龄、错颌程度、骨骼条件等因素综合设计,通常需经历术前评估、方案设计、主动矫正、保持巩固四个阶段,每个阶段环环相扣,以确保矫正效果稳定且兼顾功能与美观。
术前检查与评估:精准诊断的基础
矫正前需进行全面系统的检查,这是制定个性化方案的前提,临床检查中,医生会通过视诊观察牙齿排列、咬合关系、面部对称性及唇部闭合情况,用探针检查牙周健康状况,通过咬合纸记录早接触点,初步判断深覆合的类型(前牙深覆合可能伴随深覆盖或中性关系),影像学检查是核心环节,包括全景片观察全口牙根形态、牙槽骨情况及发育状况,头颅侧位片进行X线头影测量,分析骨骼型(如骨性深覆合常伴有上颌前突或下颌后缩)、牙齿倾斜度、 Spee曲线深度(深覆合患者Spee曲线通常过深,可达7-10mm,正常应≤2mm)及面部软组织轮廓,还需取研究模型,利用模型测量牙齿拥挤度、 Bolton指数等,辅助判断是否需要邻面去釉或拔牙矫正。

以下为深覆合术前主要检查项目及意义:
| 检查类型 | 具体项目 | 临床意义 |
|---|---|---|
| 临床检查 | 视诊、触诊、咬合分析 | 初步判断错颌类型、牙周状态、咬合异常点 |
| 影像学检查 | 全景片、头颅侧位片、CBCT | 评估骨骼关系、牙根位置、牙槽骨密度、发育潜力 |
| 模型分析 | 研究模型、Spee曲线测量 | 精确计算牙齿移动量、制定排齐压低方案 |
| 口腔功能检查 | 颞下颌关节检查、咀嚼功能 | 排除关节病变,明确功能需求 |
矫正方案设计:个性化治疗的核心
根据检查结果,医生会综合评估患者的骨骼型、牙型、年龄及美观需求,确定矫正目标(如解除深覆合、排齐牙齿、建立正常咬合关系、改善面部侧貌),并选择合适的矫正方法,青少年患者(生长发育期)若为骨性深覆合,可能配合前方牵引、头帽颏兜等生长改良治疗,引导下颌向前或抑制上颌发育;成人骨性深覆合则常需正畸-正颌联合治疗,针对牙性深覆合,方案设计需重点解决Spee曲线过深问题,常用方法包括:
矫治器选择
- 传统金属托槽:性价比高,力度控制精准,通过方丝弓技术配合摇椅弓(将弓丝后段抬高、前段压低,直接压低上前牙、伸长下前牙)可有效改善深覆合,适用于各类错颌畸形。
- 陶瓷托槽:托槽颜色接近牙齿,美观性较好,但强度略低于金属托槽,适用于对美观有要求的成人患者。
- 隐形矫正:通过一系列透明牙套施加持续轻力,每副牙套设计特定的牙齿移动目标,如上颌牙套设计上前牙压低、下颌牙套设计下前牙伸长,需患者严格佩戴(每天20小时以上),适用于轻度至中度牙性深覆合。
- 舌侧矫正:将托槽粘接在牙齿舌侧面,完全隐形,但对医生技术要求高,费用昂贵,适用于追求极致美观的患者。
拔牙与非拔牙选择
若患者存在严重牙齿拥挤(拥挤度>10mm)或 Spee曲线过深(>8mm),通常需拔除4颗前磨牙(如第一前磨牙),为牙齿移动提供空间,通过关闭拔牙间隙的同时压低上前牙、伸长下前牙,解除深覆合;若拥挤较轻,可通过邻面去釉(磨除少量牙釉质,每颗牙约0.25mm)获取间隙,避免拔牙。
主动矫正阶段:循序渐进的牙齿移动
主动矫正周期通常为1.5-3年,需定期复诊(4-6周/次),医生根据牙齿移动情况调整矫治器,具体分为以下几个阶段:

初始排齐与整平(0-6个月)
粘接托槽后,首先使用细圆丝(0.012-0.014英寸镍钛丝)排齐牙齿,解除拥挤,整平Spee曲线,此阶段患者可能感到牙齿酸痛,通常持续3-5天,需避免咀嚼过硬食物,对于深覆合患者,若下前牙伸长不足,可在下颌弓丝上加垂直曲或使用摇椅弓,初步伸长下前牙,为压低上前牙创造空间。
深覆合特异性调整(6-18个月)
这是矫正深覆合的核心阶段,重点通过“压低上前牙、伸长下前牙、调整颌平面”三方面改善垂直距离。
- 压低上前牙:常用方法包括摇椅弓技术(上颌使用反Spee曲线弓丝,如0.018×0.025英寸不锈钢丝,利用弓丝的弹性压低上前牙牙冠)、种植支抗(在上下颌骨内植入微种植钉,作为支抗源,通过牵引装置直接压低上前牙,避免支抗牙移动,尤其适用于上颌前突患者)、多用途弓(利用前牙区的“Ω”曲压低上前牙)。
- 伸长下前牙:通过下颌摇椅弓、垂直牵引(在上颌前牙区牵引钩与下颌前牙区牵引钩之间挂橡皮筋,产生垂直向上的力)或在下颌使用片段弓(仅针对下前牙施加伸长力),增加下前牙牙冠高度,减少深覆合。
- 调整颌平面:若深覆合伴有颌平面倾斜,可通过多用弓(在上颌弓丝弯制多个“∞”形曲)交互牵引(上下颌间使用III类或II类牵引,调整颌平面倾斜度),使颌平面趋于水平。
关系稳定与精细调整(18-30个月)
当深覆合解除、牙齿排齐后,需调整尖牙关系、磨牙关系及咬合接触点,确保咬合稳定,使用方丝(0.019×0.025英寸不锈钢丝)进行“三明治”技术(在弓丝上弯制停止曲、摇椅曲等),精细调整每颗牙齿的位置,通过颌板咬合记录,确定正中咬合位,避免早接触,此阶段可能需要配合颌间牵引(如垂直牵引、斜牵引),进一步优化咬合功能。
以下为深覆合矫正各阶段操作重点及时间:

| 阶段 | 时间跨度 | 操作重点 | 目标 |
|---|---|---|---|
| 初始排齐与整平 | 0-6个月 | 细镍钛丝排齐,整平Spee曲线 | 解除拥挤,为后续移动创造条件 |
| 深覆合特异性调整 | 6-18个月 | 摇椅弓、种植支抗压低上前牙;垂直牵引伸长下前牙 | 解除深覆合,建立正常垂直距离 |
| 关系稳定与精细调整 | 18-30个月 | 方丝精细调整,颌间牵引优化咬合 | 建立稳定的尖牙、磨牙关系,功能咬合 |
保持阶段:防止复发的关键
矫正结束后,牙齿需在新的位置稳定,避免复发,拆除矫治器后需立即佩戴保持器,常用保持器包括:
- Hawley保持器:由基托和钢丝组成,可同时保持牙齿位置,调节咬合,需全天佩戴(除进食、刷牙外)6个月,之后夜间长期佩戴。
- 透明保持器:由透明塑料制成,贴合牙齿表面,美观性好,但强度较低,需避免高温,佩戴方式同Hawley保持器。
- 固定保持器:用粘接剂将钢丝粘接在下颌前牙舌侧,防止下前牙移位,适用于下前牙伸长后稳定性较差的患者,通常需佩戴1-2年,期间需加强口腔卫生,避免邻面龋坏。
保持期间需定期复诊(第1年每3个月1次,之后每6个月1次),医生检查保持器贴合度及牙齿稳定性,若发现牙齿移位,需及时调整或重新制作保持器,深覆合复发风险较高,尤其Spee曲线易反弹,因此需坚持长期佩戴,并避免咬硬物、吐舌等不良习惯。
矫正注意事项
矫正期间,口腔卫生维护至关重要,因托槽周围易堆积食物残渣,需使用正畸专用牙刷(如V型刷、正畸牙刷)、牙线、冲牙器每日清洁,预防牙龈炎、龋坏,饮食上需避免过硬(坚果、骨头)、过粘(口香糖、奶糖)食物,防止托槽脱落,若托槽脱落或弓丝刺嘴,需及时联系医生处理,避免影响矫正进程,青少年患者需定期检查生长发育情况,骨性深覆合患者若生长潜力充足,可及时调整方案,利用生长改良治疗简化后续矫正。
相关问答FAQs
Q1:深覆合矫正需要多长时间?影响矫正周期的因素有哪些?
A:深覆合矫正时间通常为1.5-3年,具体取决于错颌程度、患者年龄、矫正方法及配合度,青少年患者处于生长发育期,骨骼改建能力强,矫正速度较快(约1.5-2年);成人患者骨骼改建慢,矫正周期可能延长至2-3年,骨性深覆合患者若需正畸-正颌联合治疗,周期可能延长至3-5年,患者是否严格佩戴橡皮筋、保持口腔卫生、定期复诊也会影响矫正时间,若托槽频繁脱落或配合不佳,可能导致周期延长。
Q2:成年人深覆合矫正和青少年有什么区别?成年人矫正难度更大吗?
A:成年人深覆合矫正与青少年主要区别在于:① 骨骼条件:青少年骨骼仍具有生长潜力,可通过生长改良治疗(如前方牵引、头帽颏兜)调整骨骼关系;成年人骨骼已定型,骨性深覆合常需正畸-正颌联合治疗才能改善。② 口腔状况:成年人可能存在牙周炎、牙槽骨吸收、牙齿磨耗等问题,矫正前需先治疗牙周疾病,控制炎症,避免牙齿移动导致牙槽骨进一步吸收。③ 矫正目标:青少年更注重功能与生长发育引导,成年人更关注美观与咬合功能平衡,对矫正周期、美观性要求更高,难度方面,成年人矫正因骨骼改建慢、口腔问题复杂,技术难度更高,但配合度好,只要方案设计合理,同样可达到理想效果。
