西安四医大,即中国人民解放军空军军医大学口腔医院,是国内口腔医学领域的顶尖机构,其正畸科依托强大的学科实力和专家团队,在牙齿矫正方面积累了丰富的临床经验,尤其在复杂错颌畸形矫正、成人矫形治疗等领域具有显著优势,医院拥有国际先进的诊疗设备,如数字化口内扫描仪、CBCT、3D打印技术等,能为患者提供精准、个性化的矫正方案,兼顾功能与美观,是西北地区乃至全国患者进行牙齿矫正的重要选择。
西安四医大牙齿矫正核心优势
- 权威专家团队:科室由资深正畸专家领衔,医生团队均拥有硕士及以上学历,部分成员曾在海外知名院校进修临床经验丰富,尤其擅长处理骨性错颌、埋伏牙阻生、疑难病例等复杂情况。
- 前沿技术设备:全面采用数字化矫正流程,通过口扫替代传统取模,实现精准数据采集;结合3D打印技术制作个性化矫治器(如隐形牙套、托槽),提升矫正效率与舒适度;CBCT辅助分析颌骨与牙齿关系,为方案设计提供客观依据。
- 个性化方案设计:注重患者面部美学与咬合功能的平衡,结合年龄、错颌类型、美观需求等因素,制定“一人一策”的治疗方案,涵盖青少年早期干预、成人综合矫正等不同场景。
- 多学科联合诊疗:与口腔颌面外科、修复科、牙周科等紧密协作,对伴有牙周病、颞下颌关节紊乱、牙齿缺损等问题的患者,提供联合治疗,确保矫正安全与效果稳定。
西安四医大牙齿矫正详细流程
牙齿矫正是一个系统的治疗过程,四医大严格遵循标准化流程,确保每个环节精准可控,具体如下:

| 阶段 | 时间周期 | |
|---|---|---|
| 初诊咨询 | 挂号后由医生进行面诊,了解主诉、病史及矫正需求,初步判断错颌类型。 | 30-60分钟 |
| 全面检查 | 包括口内检查(牙齿排列、咬合关系、牙周状况)、模型制取(或数字化口扫)、X光片(曲面断层片、头影测量片)、CBCT(复杂病例必做),收集数据。 | 1-2小时(分次完成) |
| 方案设计 | 医生综合分析数据,制定矫正方案(是否拔牙、矫正方式、治疗周期等),与患者沟通并确定最终方案。 | 1周左右 |
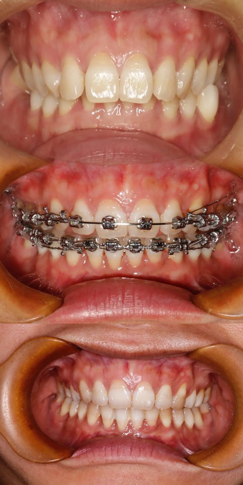
| 治疗实施 | 根据方案选择矫正器:传统金属托槽、陶瓷托槽、自锁托槽或隐形牙套,完成粘接或佩戴,交代注意事项。 | 1-2小时 |
| 定期复诊 | 每隔4-8周复诊一次,调整弓丝、更换托槽或隐形牙套,监控牙齿移动进度。 | 1-3年(视情况而定) |
| 保持阶段 | 矫正结束后拆除矫治器,佩戴保持器(透明压模保持器或 Hawley 保持器),定期复查,防止复发。 | 至少2年(终身维护) |
主流矫正方式对比及适用人群
四医大提供多种矫正方式,患者可根据自身需求和经济条件选择,具体优缺点如下:
| 矫正方式 | 优点 | 缺点 | 适合人群 |
|---|---|---|---|
| 传统金属托槽 | 性价比高,适用范围广,矫正力度强,价格较低。 | 美观性差,易刮嘴,口腔清洁难度较大,复诊频率较高。 | 预算有限、对美观要求不高的青少年及成人。 |
| 陶瓷托槽 | 半隐形设计,美观性较好,强度高于金属托槽。 | 脆性较大,易染色(需避免咖啡、茶等),价格略高于金属托槽。 | 对美观有一定要求,预算适中的患者。 |
| 自锁托槽 | 摩擦力小,牙齿移动效率高,复诊间隔延长(6-8周),疼痛感较轻。 | 价格较高,体积较大,部分患者可能不适应托槽厚度。 | 时间紧张、对疼痛敏感、追求高效矫正的患者。 |
| 隐形矫正 | 完全隐形,美观度高,可自行摘戴,便于清洁,不影响饮食。 | 价格较高,对患者配合度要求高(需每天佩戴20小时以上),复杂病例效果受限。 | 对美观要求高、自律性强、预算充足的成人及青少年。 |
矫正费用与周期参考
-
费用影响因素:
- 矫正方式:传统金属托槽约1.5万-3万元,陶瓷托槽约2万-4万元,自锁托槽约3万-5万元,隐形矫正(如隐适美、时代天使)约4万-8万元。
- 病情复杂度:简单牙列不齐费用较低,骨性错颌、埋伏牙等复杂病例可能需要联合手术,费用上浮20%-50%。
- 辅助治疗:如拔牙、骨钉植入、牙周治疗等,会产生额外费用。
-
周期参考:
- 青少年简单病例:1.5-2年;复杂病例(如骨性畸形):2-3年。
- 成人简单病例:1-2年;复杂病例:2-3年(成人骨改建速度较慢,周期可能略长)。
术后护理与注意事项
- 口腔卫生:矫正期间需使用正畸牙刷、牙线、冲牙器,每天至少刷牙3次,避免食物残渣堆积引发龋齿或牙周炎。
- 饮食调整:避免过硬(坚果、骨头)、黏性(口香糖、年糕)食物,防止托槽脱落;隐形矫正需摘下牙套进食,避免染色。
- 疼痛管理:初戴矫治器或复诊后3-5天可能出现轻微疼痛,可遵医嘱服用止痛药,或食用温软食物。
- 复诊依从性:严格按照医生约定时间复诊,间隔过长可能导致牙齿移动异常,延长治疗周期。
- 保持器佩戴:矫正结束后必须佩戴保持器,前6个月需全天佩戴(进食除外),之后逐渐过渡到夜间佩戴,终身维护效果。
相关问答FAQs
问题1:西安四医大矫正牙齿需要提前预约吗?怎么预约?
解答:需要提前预约,四医大口腔医院患者较多,尤其是知名专家号源紧张,建议通过以下方式预约:

- 微信公众号:关注“空军军医大学口腔医院”官方公众号,点击“预约挂号”选择“正畸科”及相应医生。
- 官网预约:登录医院官网(http://www.kqyy.com/)进行挂号。
- 电话预约:拨打医院预约电话(029-84776114),提供身份证信息进行挂号。
- 现场预约:可通过医院自助机或人工窗口挂号,但热门专家号源紧张,建议优先选择线上预约。
问题2:矫正过程中如果托槽脱落了怎么办?
解答:托槽脱落是矫正中常见情况,无需过度紧张,但需及时处理:
- 保存托槽:将脱落的托槽用纸巾包好,避免丢失,复诊时带给医生。
- 联系医生:尽快联系主治医生,说明脱落位置和时间,一般需在1周内复诊处理(避免牙齿移动异常)。
- 临时处理:若托槽划伤口腔,可用正畸蜡覆盖尖锐部分;若影响进食,可暂时调整饮食为软食。
- 预防措施:避免咬硬物、啃苹果时用小口切食,减少托槽脱落风险;若频繁脱落,可能与口腔习惯或咬合有关,需与医生沟通调整方案。

