牙齿矫正要拔掉牙齿吗?这是许多考虑矫正的人最关心的问题之一,是否需要拔牙并非绝对,而是基于牙齿、颌骨、咬合关系等多因素的综合评估结果,拔牙只是矫正手段之一,目的是在保证口腔健康和功能的前提下,实现牙齿排列整齐、咬合协调、面型美观的目标,本文将从牙齿矫正的核心原理、拔牙的必要性、适用情况、替代方案及风险等方面,详细解析这一问题。
牙齿矫正的核心目标:不只是“排齐”那么简单
牙齿矫正(正畸治疗)的本质,是通过施加持续、轻柔的力,引导牙齿在牙槽骨中缓慢移动,最终达到理想的排列和咬合状态,但“理想状态”并非单纯追求牙齿整齐,而是需要兼顾多个维度:
- 牙齿排列:消除拥挤、稀疏,牙齿大小与颌骨空间匹配;
- 咬合功能:上下牙弓的咬合关系稳定,前牙覆合覆盖正常,后牙咀嚼效率高;
- 面部美学:唇部形态自然,侧面轮廓协调(如避免“凸嘴”或“凹面型”);
- 长期稳定性:矫正后效果稳定,减少复发风险。
这些目标的实现,往往需要“空间管理”——即通过扩大牙弓、减少牙齿数量或邻面去釉等方式,为牙齿移动创造足够空间,当现有空间无法满足所有需求时,拔牙便成为备选方案之一。
为什么需要拔牙?——“空间不足”的矛盾与拔牙的必要性
人类在进化过程中,颌骨逐渐缩小,而牙齿数量(恒牙32颗)未变,导致“骨量不足”成为现代人的普遍问题,拔牙的必要性主要体现在以下几方面:
解决牙齿拥挤:为“挤不下”的牙齿腾空间
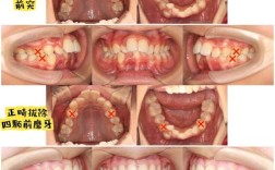
牙齿拥挤是最常见的错颌畸形之一,表现为牙齿排列不齐、扭转、重叠,轻度拥挤可通过扩大牙弓或邻面去釉解决,但中重度拥挤(拥挤度超过5mm)时,若不拔牙强行排齐,会导致:
- 牙齿过度倾斜,唇部前突(“龅牙”加重);
- 牙齿颈部可能出现“黑三角”,影响美观且易嵌塞食物;
- 牙齿根尖可能超出牙槽骨范围,增加牙根吸收风险。
拔除1-4颗牙齿(通常为前磨牙,因其位置居中、对咀嚼功能影响较小),可为其他牙齿移动提供充足空间,实现“整齐排列+正常唇形”的双重目标。
改善牙齿前突:纠正“凸嘴”面型
许多患者因上颌前牙或双颌前突(上下牙都前突),导致侧面轮廓凸、嘴唇无法自然闭合,这类问题的核心是“牙齿总量大于骨量”,单纯靠内收牙齿空间不足,拔牙后,通过“滑动法”或“关闭曲”等正畸技术,可将前牙向后移动,不仅改善牙齿排列,还能使唇部回收,侧面轮廓更柔和(尤其适合“突面型”患者追求自然侧貌的需求)。
调整咬合关系:建立稳定的“牙尖交错位”
咬合异常(如深覆合、深覆盖、反颌等)常伴随牙齿与颌骨的不协调,某些深覆合患者因后牙牙冠过短、前牙过长,导致“上牙包住下牙过多”,若不拔牙,单纯压低前牙或伸长后牙可能效果有限;而拔除部分牙齿后,可通过“前牙压低+后牙伸长”的组合调整,改善垂直向咬合,避免咬合创伤或颞下颌关节紊乱。
为修复治疗创造条件:多学科联合的必要选择
部分患者因牙齿缺失、过大或过小,需结合修复治疗(如种植牙、烤瓷牙)和正畸,一颗牙齿缺失后,邻牙可能倾斜占据间隙,导致修复空间不足,正畸需先通过拔牙(如拔除倾斜的邻牙)或移动牙齿,为后续修复创造“足够且规整”的间隙,确保修复体的功能和美观。
哪些情况需要拔牙?——适用情况一览表
是否拔牙需由正畸医生通过临床检查(模型测量、X光片、口内扫描等)和头影分析综合判断,以下是常见的拔牙适应症及拔牙策略:
| 适用情况 | 具体表现 | 拔牙目的 | 常拔牙位 |
|---|---|---|---|
| 中重度牙齿拥挤 | 拥挤度≥5mm,牙齿扭转、重叠,无法单纯通过扩大牙弓解决 | 腾出空间,排齐牙齿,避免唇前突或黑三角 | 上下颌第一或第二前磨牙(通常各拔1-2颗) |
| 双颌前突/凸嘴 | 上下前牙唇倾,侧面凸,嘴唇闭合困难,鼻唇角过小 | 内收前牙,改善唇部形态和侧面轮廓 | 同上 |
| 牙弓大小不调 | 上牙弓宽于下牙弓(反颌倾向),或下牙弓窄于上牙弓(深覆盖倾向), Bolton指数异常 | 调整上下牙弓宽度或长度,建立正常咬合关系 | 根据反颌/覆盖类型选择拔上颌或下颌前磨牙 |
| 正畸-修复联合治疗 | 牙齿缺失导致邻牙倾斜,或需为种植牙/修复体创造间隙 | 移动牙齿,建立规整的修复间隙 | 拔除无保留价值或过度倾斜的牙齿 |
哪些情况可以不拔牙?——非拔牙矫正的适用条件
并非所有矫正都需要拔牙,以下情况通常可优先选择非拔牙方案:
- 轻度拥挤或间隙:拥挤度≤4mm,可通过扩大牙弓(如使用螺旋弹簧、扩弓器)或邻面去釉(磨除少量牙釉质,每颗牙可提供0.25-0.5mm空间)解决;
- 颌骨发育良好:上下颌骨大小、形态正常,牙齿数量与骨量基本匹配,仅需少量调整;
- 患者意愿强烈:部分患者因恐惧拔牙或职业需求(如演员、主播)拒绝拔牙,医生可通过“代偿性矫正”(如轻微前突牙齿内收、后牙前移)实现部分改善,但需告知患者效果的局限性;
- 生长发育期儿童:对于混合牙列期的儿童,可通过生长改良(如功能性矫治器、前方牵引)引导颌骨发育,为牙齿创造空间,避免成年后拔牙。
拔牙矫正的流程与风险:从术前到术后,你需要知道的
拔牙矫正的基本流程
- 术前评估:医生通过口腔检查、X光片(全景片、头颅侧位片)、模型测量等,分析牙齿拥挤度、骨量、咬合关系,制定拔牙方案(拔哪些牙、何时拔);
- 拔牙时机:通常在矫正初期(戴入矫正器后1-3个月),先排齐牙齿再拔牙,或同步进行;拔牙后需等待1-2周,待伤口愈合后继续加力;
- 关闭拔牙间隙:通过正畸技术(如滑动法、关闭曲)将牙齿向拔牙隙移动,一般需要6-12个月;
- 保持阶段:矫正结束后,戴保持器2年以上,防止牙齿复发(拔牙间隙稳定后,牙齿不会“反弹”回原位)。
拔牙矫正的风险与应对
- 短期不适:拔牙后1-3天可能出现肿胀、疼痛,可通过冰敷、止痛药缓解;
- 邻牙松动:牙齿移动过程中可能出现暂时性松动,属于正常现象,移动到位后会稳定;
- 牙根吸收:少数情况下牙齿移动可能导致牙根尖端变短,但发生率低(约1%-3%),定期拍片可监测;
- 效果不理想:若方案设计不当,可能出现咬合干扰、面型改善不佳等,需在矫正中期及时调整方案。
纠正误区:关于拔牙的“谣言”与真相
误区1:“拔牙矫正会让牙齿松动,老了容易掉牙”
真相:牙齿松动与矫正无关,而是牙周炎的结果,矫正过程中牙齿移动是受控的,移动到位后牙周组织会重建,牙齿不会“松动”,若口腔卫生不佳,戴矫正器期间易堆积牙菌斑,导致牙周炎,才会影响牙齿寿命,拔牙后只要保持良好口腔卫生,老了不会因此掉牙。
误区2:“拔牙矫正一定会改变脸型,让人显老”
真相:拔牙对脸型的影响取决于矫正前的基础,对于凸嘴患者,拔牙内收前牙可使侧面轮廓更柔和,显“年轻”;对于面部饱满的患者,拔牙后脸颊可能会轻微内收,但变化通常在可接受范围内,且整体美观度提升,医生会在方案设计时结合患者面型,避免过度改变。
拔牙与否,科学评估是关键
牙齿矫正是否需要拔牙,本质是“空间需求”与“空间供给”的平衡问题,医生会通过全面检查,权衡拔牙的利弊(如改善效果与潜在风险),最终选择最适合患者的方案,对于患者而言,无需对拔牙过度恐惧——随着正畸技术的发展,拔牙已成为一种安全、可控的矫正手段,其核心目标是实现口腔健康、功能与美学的长期统一,若对拔牙有顾虑,可与医生充分沟通,了解替代方案及预期效果,共同做出最合理的选择。
相关问答FAQs
Q1:拔牙矫正后脸型会变吗?怎么判断自己是否适合拔牙?
A:拔牙后脸型是否变化取决于矫正前的面型基础,若本身存在“凸嘴”(上颌前突或双颌前突),拔牙内收前牙可使嘴唇回收,侧面轮廓更柔和,可能显“年轻”;若面部饱满,拔牙后脸颊可能轻微内缩,但变化通常自然,是否适合拔牙需通过专业检查(如头影测量分析拥挤度、骨量、突度等),医生会结合你的需求(如改善凸嘴、排齐牙齿)给出建议。
Q2:拔牙矫正的疼痛感大吗?拔牙后怎么护理?
A:拔牙矫正的疼痛分两部分:一是拔牙本身(类似普通拔牙,打麻药后无痛,术后1-3天可能有肿胀、轻微疼痛,可吃止痛药缓解);二是牙齿移动(每次加力后3-5天酸胀感,属正常现象,逐渐适应),拔牙后需注意:24小时内不刷牙、不漱口,避免触碰伤口;饮食温凉、忌硬食;保持口腔卫生(可用正畸牙刷、冲牙器清洁),防止感染,一般1周左右伤口完全愈合,可继续正常矫正。
