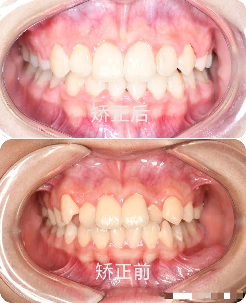
矫正牙齿时是否需要拔除大牙(通常指磨牙,包括第一磨牙、第二磨牙或智齿),是很多患者关心的问题,正畸治疗中拔牙并非罕见操作,是否拔除大牙需根据患者的牙齿拥挤程度、咬合关系、面部骨骼条件等综合判断,而非“必须拔”或“绝对不拔”的绝对化结论。
为什么矫正可能需要拔大牙?
牙齿矫正的核心目标是排齐牙齿、调整咬合、改善面部美观及功能,而“空间不足”是导致拔牙的主要原因,当存在以下情况时,医生可能会建议拔除大牙:

- 牙列严重拥挤:牙齿过多、颌骨空间不足,单纯通过磨牙或扩弓无法排齐时,需通过拔牙为牙齿移动创造空间。
- 前牙前突(龅牙):为内收前牙、改善嘴凸,需通过拔牙(如第二磨牙或前磨牙)提供“支抗”,避免后牙过度前移导致咬合紊乱。
- 后牙咬合关系异常:如锁颌、深覆颌等,拔除部分大牙可调整咬合平面,改善咀嚼功能。
- 智齿问题:若智齿(第三磨牙)阻生、龋坏或导致邻牙移位,常在矫正前或矫正中拔除,避免影响治疗效果。
哪些大牙可能被拔除?是否“大牙”都会拔?
并非所有大牙都会被拔除,医生会优先保留功能关键的第一磨牙(俗称“六龄齿”),它是口腔中最早萌出的恒磨牙,承担主要咀嚼功能,除非严重龋坏、牙根吸收或无法保留,否则一般不轻易拔除,可能被拔除的大牙主要包括:
- 第二磨牙(七龄齿):若位置异常(如近中倾斜)、龋坏或作为支抗需要,拔除后可通过移动后牙替代其功能,避免影响第一磨牙。
- 智齿(第三磨牙):若存在阻生、反复发炎、或与矫正方案冲突(如推磨牙向后时智齿阻碍),通常建议拔除。
以下是常见拔牙情况的总结(表格形式):
| 拔牙原因 | 可能拔除的大牙 | 治疗目的 |
|---|---|---|
| 牙列严重拥挤 | 第二磨牙、智齿 | 为排齐牙齿提供空间 |
| 前牙前突(龅牙) | 第二磨牙(或前磨牙) | 内收前牙,改善嘴凸 |
| 后牙咬合紊乱 | 阻生智齿、严重损坏的第二磨牙 | 调整咬合平面,恢复咀嚼功能 |
| 智齿相关问题 | 智齿 | 避免邻牙移位、感染,简化矫正难度 |
拔大牙会影响牙齿功能或美观吗?
这是患者最担忧的问题,但专业正畸治疗会严格评估拔牙的必要性和替代方案,确保治疗效果:
- 功能影响:拔除第二磨牙后,医生会通过移动后牙(如第三磨牙)或修复体填补空缺,维持咀嚼功能;第一磨牙优先保留,基本不影响核心功能。
- 美观影响:拔牙后牙齿会向拔牙隙移动,通过精细调整可实现面部轮廓协调,反而可能因改善龅牙或咬合问题提升美观度。
- 替代方案:对于轻度拥挤,可通过“邻面去釉”(磨除少量牙釉质)或“扩弓”(扩大牙弓)避免拔牙,但这些方法对牙量骨量不匹配严重者效果有限。
拔大牙后矫正流程会变化吗?
拔牙后,矫正时间可能因牙齿移动距离增加而延长1-3个月,但具体需看病例复杂度,医生会通过“支抗控制”(如种植钉、弓丝等)确保牙齿按计划移动,避免后牙前移过多或前牙内收不足。

相关问答FAQs
Q1:矫正拔大牙会让牙齿变松吗?
A:不会,正畸拔牙后,牙齿会在牙槽骨内缓慢移动,移动过程中牙齿会有轻微松动(属于正常生理反应),但矫正结束后,牙槽骨会重建稳定,牙齿会恢复稳固,若选择正规机构和专业医生,严格遵循治疗原则,不会导致牙齿永久性松动。
Q2:拔大牙后矫正,老了更容易掉牙吗?
A:不会,牙齿脱落的主要原因是牙周病、龋齿或牙齿外伤,与矫正拔牙无直接关系,只要矫正后保持良好的口腔卫生(正确刷牙、使用牙线、定期洗牙),并定期复查维护牙周健康,牙齿可以正常使用至老年。

