矫正牙齿过程中,拍片子是不可或缺的关键环节,并非“可选项”,牙齿矫正的核心目标是通过移动牙齿改善咬合功能与面部美观,但牙齿并非孤立存在,其与牙槽骨、颌骨、关节及周边组织密切相关,需通过影像学检查全面评估口腔状况,才能制定科学、安全且个性化的矫正方案。
拍片子的核心作用:全面评估口腔“地基”与“结构”
牙齿矫正的原理是利用外力(如托槽、隐形牙套)施加轻柔、持续的力,引导牙齿在牙槽骨中缓慢移动,这一过程涉及牙齿、牙根、牙槽骨、颌骨关系等多重因素,仅通过肉眼观察或口腔检查无法全面掌握潜在风险,拍片子则能提供“透视级”的详细信息。

明确牙齿本身情况:数量、形态与位置
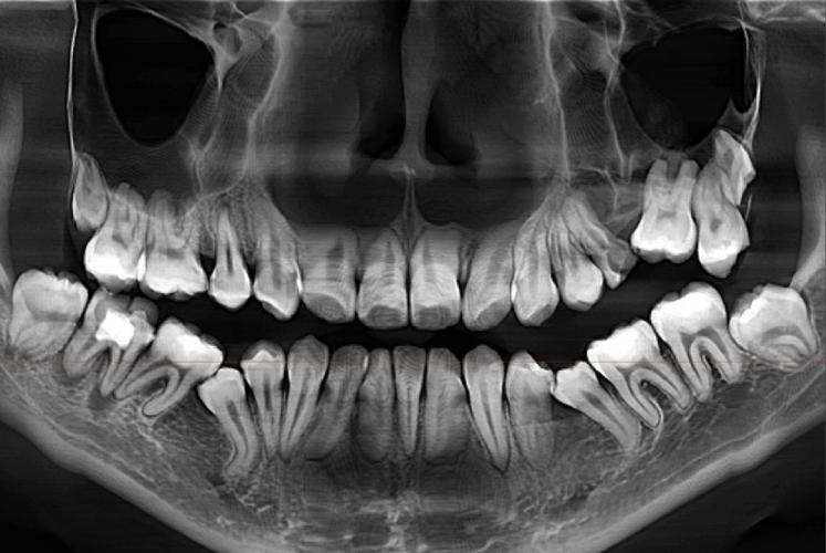
通过全景片(曲面断层片),可清晰观察全口牙齿的数量、形态及位置,包括是否存在“多生牙”(额外牙齿)、“缺失牙”(先天性或后天性缺失)、“埋伏牙”(未萌出的牙齿,如阻生智齿)等异常,若存在埋伏牙,需判断其位置、方向是否会影响矫正中牙齿的正常移动,或是否需要提前手术拔除;若存在多生牙,可能占据正常牙齿的生长空间,导致牙列拥挤,需在矫正前处理,还能观察牙根形态是否正常(如弯曲、短根),牙根周围是否有吸收或病变,这些因素直接影响牙齿移动的稳定性和安全性。
评估牙槽骨健康状况:牙齿移动的“土壤”
牙齿能否在牙槽骨中稳定移动,取决于牙槽骨的厚度、高度及密度,通过全景片和CBCT(锥形束CT),可测量牙槽骨的骨量是否充足,若牙槽骨过薄或存在吸收(如牙周病患者),牙齿移动过程中可能发生骨裂或松动,需先进行牙周治疗,调整移动力度和速度;若牙槽骨条件不佳,甚至可能需要植骨来为牙齿移动创造“安全土壤”。
分析颌骨关系与咬合功能:矫正的“方向标”
牙齿的排列需与上下颌骨的协调关系匹配,否则即使牙齿排齐,也可能存在“深覆合”(上牙盖下牙过多)、“深覆盖”(龅牙)、“反合”(地包天)等咬合问题,影响面部美观和咀嚼功能,头颅侧位片是评估颌骨关系的“金标准”,可测量上下颌骨的长度、角度,以及牙齿与颌骨的相对位置(如ANB角、SN角等),判断是否存在骨性畸形(如下颌后缩、上颌前突),若存在严重的骨性问题,单纯矫正牙齿无法达到理想效果,需配合正颌手术,而手术方案的设计完全依赖头颅侧位片的精确数据。
排查潜在风险:避免矫正中的“意外”
颞下颌关节(TMJ)是连接下颌骨与颅骨的关节,负责张口、闭口等动作,若关节存在结构异常(如关节盘移位、骨赘),可能引发疼痛、弹响甚至张口受限,通过关节片或CBCT可观察关节形态,判断是否需要在矫正中调整咬合关系,避免加重关节负担,全景片还能发现颌骨内的囊肿、肿瘤等病变,防止在矫正过程中刺激病变进展。

常见矫正拍片类型及适用场景
为满足不同评估需求,医生会根据口腔复杂程度选择合适的影像检查,以下是常见片种及其作用:
| 片种名称 | 检查重点 | 作用 | 是否必须 |
|---|---|---|---|
| 全景片(曲面断层片) | 全口牙齿、牙槽骨、颌骨、上颌窦 | 观察牙齿数量、位置、牙根形态,排除埋伏牙、囊肿 | 基础必拍 |
| 头颅侧位片 | 颅骨、颌骨、软组织轮廓及咬合关系 | 分析骨性畸形,设计矫正方向与面型改善目标 | 非骨性畸形者必拍 |
| CBCT(锥形束CT) | 三维重建牙齿、牙槽骨、神经血管、关节 | 精确定位埋伏牙、评估骨量、显示神经管位置 | 复杂病例(如骨性畸形、埋伏牙)必拍 |
| 根尖片 | 单颗牙齿及根尖周组织 | 辅助诊断牙根病变、根管治疗情况 | 特定牙齿问题需补充 |
| 关节片 | 颞下颌关节结构 | 判断关节是否异常,有关节症状者需拍 | 有关节疼痛/弹响者 |
不拍片子的风险:矫正安全的“隐形隐患”
若跳过拍片环节直接矫正,可能因信息不足导致方案偏差,引发严重后果:
- 漏诊埋伏牙/多生牙:未处理的异常牙齿可能阻碍正常牙齿移动,导致矫正失败或牙齿排列不齐复发。
- 忽视骨量不足:在牙槽骨薄弱处强行移动牙齿,可能造成牙根吸收、牙齿松动,甚至脱落。
- 误判骨性问题:将骨性错合(如严重地包天)当作牙性问题矫正,不仅无法改善面型,还可能加重骨骼畸形。
- 损伤神经血管:CBCT可清晰显示下颌神经管位置,若未拍片盲目移动牙齿,可能损伤神经导致下唇麻木。
关于辐射的常见疑问:安全剂量远低于风险阈值
部分患者担心拍片辐射问题,其实不同片种的辐射剂量均在安全范围内:全景片辐射剂量约0.05mSv,相当于坐飞机2小时所受的宇宙射线辐射;CBCT辐射剂量根据扫描范围不同约为0.1-0.3mSv,相当于1-2次胸片检查,医生会严格遵循“最小辐射原则”,根据实际需要选择片种,避免不必要的辐射,而矫正中因未拍片导致的医疗风险,远高于辐射带来的潜在影响。
相关问答FAQs
Q1:矫正牙齿拍片子后多久能拿结果?需要额外预约吗?
A:一般情况下,全景片、根尖片等常规片子可当场获取结果;头颅侧位片因需医生测量分析,通常1-3天内出结果;CBCT数据需三维重建,结果时间稍长,约3-5天,拍片环节通常可在初诊当天完成,无需额外预约,但复杂病例(如需CBCT)可能需单独安排时间。

Q2:矫正过程中还需要重复拍片子吗?
A:是的,矫正过程中可能需多次拍片,矫正前(全面评估)、矫正中(每6-12个月复查,观察牙齿移动进度及牙槽骨变化)、矫正后(保持前评估牙根及牙槽骨稳定),以确保矫正效果和安全,若出现特殊情况(如牙齿移动异常、疼痛),医生也会随时安排针对性拍片检查。
