正畸治疗中,部分患者因牙齿埋伏、阻生或需要精准移动,常需通过“开窗术”暴露牙冠并粘贴托槽进行牵引,开窗操作可能破坏牙龈组织的完整性,导致术后牙龈退缩、牙根暴露、龈缘形态异常等问题,影响治疗效果与美观,为解决此类并发症,“正畸闭合开窗术”应运而生,其通过外科手术方法修复开窗造成的牙龈缺损,重建健康的牙龈形态与生物学宽度,为牙齿的稳定移动和最终美观奠定基础。
正畸闭合开窗术的适应症
并非所有开窗术后都需要闭合,需严格评估指征,常见适应症包括:

- 牙龈退缩与牙根暴露:开窗术后因创伤或感染导致牙龈退缩,牙根暴露超过2mm,或存在敏感、美观问题;
- 龈缘形态异常:牙龈增生、萎缩导致龈缘高低不齐、过厚或过薄,影响牙齿排列的美观协调性;
- 生物学宽度破坏:开窗时牙龈组织去除过多,导致牙槽骨与牙龈附着关系紊乱,引发牙龈反复炎症;
- 牙冠暴露不足或过度:牵引过程中牙冠暴露过多(超过牙冠1/2)导致牙根敏感,或暴露不足影响托槽粘贴与移动效率;
- 局部牙龈健康异常:开窗区域存在牙龈纤维化、瘢痕增生或牙周袋形成,需通过手术重建健康牙龈组织。
正畸闭合开窗术的操作流程
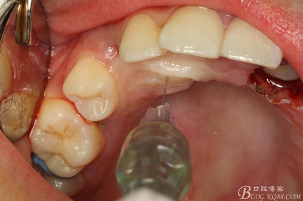
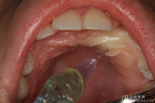
闭合开窗术是精细的牙周-正畸联合手术,需严格遵循无菌原则,操作流程可分为以下步骤(具体见下表):
| 步骤 | 操作要点 |
|---|---|
| 术前评估 | 临床检查牙龈形态、厚度、牙周袋深度;拍摄CBCT评估牙槽骨高度、牙根位置及开窗区域骨缺损情况;明确牙齿移动方向与闭合目标。 |
| 麻醉与消毒 | 局部浸润麻醉(含肾上腺素,减少出血);术区严格消毒,铺无菌巾。 |
| 切口设计 | 根据缺损类型选择切口:小缺损采用“角形切口”或“龈沟内切口”;较大缺损设计“梯形瓣”或“矩形瓣”,确保瓣有足够血供。 |
| 瓣的制备与翻开 | 沿切口线切开牙龈,钝性分离黏骨膜瓣,暴露牙槽骨及牙根表面,避免损伤牙根表面牙周膜。 |
| 根面处理 | 用刮匙彻底清除牙根表面的肉芽组织、牙石及病变上皮,用生理盐水冲洗,必要时用表面平整剂(如枸橼酸)处理根面,促进附着。 |
| 骨修整与引导 | 若存在骨开裂或骨缺损,用骨锉修整锐利骨缘;对中度骨缺损可植入骨移植材料(如Bio-Oss),引导骨再生。 |
| 瓣的复位与缝合 | 将黏骨膜瓣轻柔复位至牙根表面,覆盖开窗区域,确保无张力;用可吸收缝线(如5-0PGA)行间断缝合或悬吊缝合,固定龈缘。 |
| 术后处理 | 术区压迫止血,放置牙周塞治剂保护;口服抗生素预防感染,指导术后口腔卫生(如术后24h用漱口水,1周内避免刷牙术区)。 |
正畸闭合开窗术的核心优势
相较于传统开窗后“自然愈合”或简单牙龈修整,闭合开窗术具有显著优势:
- 重建健康牙龈形态:通过瓣的转移与复位,可恢复牙龈原有的扇形轮廓、龈乳头高度,使牙齿排列更自然美观;
- 保护牙根与牙周组织:清除病变组织后覆盖牙根,减少牙根敏感,降低牙根吸收风险,同时重建生物学宽度,避免牙龈再次退缩;
- 优化正畸移动效率:健康的牙龈组织能为牙齿移动提供稳定支持,避免因牙龈异常导致牙齿移动停滞或方向偏移;
- 预防远期并发症:通过骨移植与组织再生技术,可修复骨缺损,降低术后牙龈萎缩、牙槽骨吸收的发生率,保障长期疗效。
风险与并发症及应对
尽管闭合开窗术技术成熟,但仍存在一定风险,需提前预防并及时处理:
- 术后出血:多因缝合不牢固或患者术后剧烈活动引起,需重新加压缝合或止血;
- 感染:严格无菌操作及术后抗生素使用可降低风险,若发生感染需拆除缝条、引流并调整抗生素方案;
- 牙龈愈合不良:可能与瓣张力过大、血供不足有关,术前需评估牙龈厚度,设计合理瓣的设计;
- 再次退缩:对于骨缺损严重患者,可能需二次手术或联合引导骨再生技术,确保骨量充足后再行闭合。
术后护理要点
术后护理是保证手术效果的关键,患者需注意:

- 饮食管理:术后1周进食温凉、软食,避免过硬、过热食物刺激术区;
- 口腔卫生:术后24h用含氯己定的漱口水漱口,1周内避免刷牙术区,1周后使用软毛牙刷轻柔清洁;
- 复诊随访:术后1周拆线,术后1、3、6个月复查,评估牙龈愈合情况及正畸牵引进展;
- 症状观察:若出现术区剧烈疼痛、肿胀加剧、渗血不止等,需及时就医。
相关问答FAQs
Q1:正畸闭合开窗术和传统的牙龈成形术有什么区别?
A2:两者目的不同,传统牙龈成形术主要针对牙龈形态异常(如牙龈增生、过厚),通过切除多余牙龈改善美观,不涉及骨处理或生物学宽度重建;而正畸闭合开窗术的核心是修复开窗术造成的牙龈及牙槽骨缺损,需通过瓣转移、根面处理、骨移植等技术重建健康牙周组织,同时为正畸牙齿移动创造条件,技术要求更高,兼顾功能与美观。
Q2:闭合开窗术后牙龈能完全恢复正常形态吗?
A2:多数情况下,通过规范的手术操作与术后护理,牙龈可恢复接近自然的形态,但具体效果取决于术前牙龈条件、牙槽骨缺损程度及患者自身愈合能力,对于轻度退缩或形态异常者,术后牙龈形态可基本正常;若存在严重骨缺损,可能需联合骨再生技术,且愈合时间较长(3-6个月),术后定期正畸医生与牙周医生联合评估,可及时调整治疗方案,确保最终效果。
