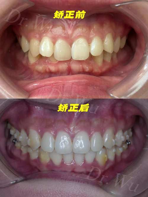
irok隐形正畸作为一种融合了数字化技术与个性化设计的牙齿矫正方案,近年来凭借其美观、舒适、便捷等优势,成为越来越多牙齿不齐人群的选择,它通过一系列透明、可摘戴的定制化矫治器,在不知不觉中完成牙齿的移动与排列,既满足了人们对美观的需求,又兼顾了矫正过程中的舒适度与便利性。
irok隐形正畸的技术原理与核心优势
irok隐形正畸的核心在于“数字化精准矫正”,治疗前,通过口腔扫描仪获取患者牙齿、牙根、牙槽骨及颌面部的三维数据,构建出高精度的数字模型,随后,借助专业正畸软件与AI算法,医生可在虚拟环境中模拟牙齿移动的全过程,根据患者的牙齿畸形类型(如牙列拥挤、龅牙、地包天、牙缝过大等)、面部美学需求及咬合功能,设计出个性化的矫正方案,并生成一系列渐进式的矫治器模型,每一副矫治器都针对牙齿的特定位置进行微调,通过持续、轻柔的力引导牙齿向目标位置移动,最终实现排列整齐、咬合协调的理想效果。

与传统金属托槽矫正相比,irok隐形正畸的优势显著:
- 美观隐形:矫治器采用医用级透明高分子材料,厚度不足1mm,佩戴后几乎肉眼不可见,彻底摆脱“钢牙”困扰,尤其适合对美观要求高的成年人及青少年。
- 舒适便捷:表面光滑无棱角,不会刮伤口腔黏膜;可自行摘戴,不影响正常饮食(避免过硬、过黏食物),口腔清洁也更便捷,降低了蛀牙、牙周炎等并发症风险。
- 精准可控:数字化方案可提前预见矫正结果,医生全程监控牙齿移动轨迹,必要时可通过附件(小树脂凸点)增强矫治器的固位与施力精度,确保矫正效果符合预期。
- 高效省时:针对部分简单病例,矫正周期可缩短至6-12个月,复杂病例也可通过阶段性方案优化缩短治疗时间,同时减少复诊次数(通常6-8周复诊一次)。
irok隐形正畸的适用人群与禁忌症
适用人群:
- 轻中度牙齿畸形:如牙列拥挤、牙齿稀疏、前牙反颌(地包天)、前牙深覆盖(龅牙)、深覆颌、深覆盖等。
- 对美观有需求者:如演员、教师、销售人员等需频繁与人交流的职场人群,及担心“钢牙”影响形象的青少年。
- 口腔卫生维护困难者:传统矫正中托槽周围易藏污纳垢,隐形矫治器可自由摘戴,便于彻底清洁,适合牙周状况不佳或易患龋齿的人群。
- 矫正依从性较好者:需每日佩戴20-22小时,部分患者可能因忘记佩戴或佩戴时间不足影响效果,因此需具备良好的自律性。
禁忌症:
- 严重骨性畸形:如下颌后缩过度、上颌前突等需通过正颌手术解决的问题,单纯隐形正畸效果有限。
- 牙周病未控制者:患有活动性牙周炎、牙槽骨吸收严重等情况时,需先治疗牙周病,待病情稳定后再考虑矫正。
- 口腔卫生极差者:若矫正前存在大量牙结石、龋齿未处理,可能增加矫正期间口腔疾病风险。
- 牙齿过大或过小者:极端情况下,牙齿体积异常可能导致矫治器难以精准适配。
irok隐形正畸的治疗流程
完整的矫正过程通常分为以下几个阶段,全程需医患密切配合:
| 阶段 | 核心步骤 | 注意事项 |
|---|---|---|
| 初诊评估 | 口腔检查(牙齿、牙周、咬合关系)、拍X光片(全景片、头颅侧位片)、取模(或口扫) | 提供既往病史(如糖尿病、凝血功能障碍),告知正畸需求与期望。 |
| 方案设计 | 医生基于数据制定方案,模拟牙齿移动过程,确定矫正周期与费用 | 充分沟通方案细节,包括预期效果、可能风险、复诊计划,签署知情同意书。 |
| 矫治器制作 | 将数字模型发送至加工中心,采用3D打印技术制作系列矫治器(通常1-2副/月) | 等待期间保持口腔卫生,避免牙齿移动影响后续适配。 |
| 佩戴与调整 | 首次佩戴时医生指导摘戴方法、佩戴时间,检查附件粘接情况;之后按复诊计划调整方案 | 初期1-3天可能有轻微酸胀感,属正常现象;若疼痛加剧或附件脱落,需及时复诊。 |
| 保持阶段 | 矫正结束后佩戴保持器(透明保持器或传统保持器),防止牙齿复发 | 保持器佩戴时间需遵医嘱(通常夜间佩戴至少1年,之后逐渐减少频率),定期复查。 |
注意事项与常见问题
- 佩戴时间管理:每日佩戴需达20-22小时,仅在进食、刷牙、使用牙线时摘下,否则会延长矫正周期或影响效果。
- 口腔清洁:佩戴矫治器前需刷牙、漱口,避免食物残渣滞留;摘下后用清水冲洗矫治器,用软毛刷轻刷,勿用热水(高温易变形)。
- 饮食禁忌:佩戴期间避免饮用含糖饮料(易滋生细菌)、咖啡、茶(可能染色);摘下后避免啃硬物(如坚果、螃蟹腿)、嚼口香糖(防止附件脱落)。
- 复诊重要性:即使无不适也需按复诊时间到院,医生会检查牙齿移动进度,必要时调整方案或更换新矫治器。
相关问答FAQs
Q1:irok隐形正畸的价格是多少?与传统矫正相比更贵吗?
A:irok隐形正畸的价格因牙齿畸形程度、矫正周期、地区消费水平等因素差异较大,通常在3万-8万元不等,相比传统金属托槽矫正(1.5万-4万元),隐形正畸的材料成本、技术成本及个性化设计成本更高,但考虑到其美观性、舒适度及便捷性,许多患者认为物有所值,部分医院提供分期付款服务,可减轻经济压力。
Q2:矫正期间出现附件脱落或矫治器破损怎么办?
A:附件脱落或矫治器破损会影响矫正进度,需尽快联系医生处理,若附件仅部分脱落,可暂时佩戴下一副矫治器,但需在复诊时重新粘接;若矫治器出现裂纹或断裂,需停止佩戴并携带破损部件复诊,医生会评估是否需要重新制作,日常避免用力咬硬物,可有效降低附件脱落与矫治器破损风险。


